症例詳細
Case detail
【ゴールドクラウン】セラミックのブリッジが何度も壊れる
治療症例の内容
- 診療科目
- 治療カテゴリ
- 担当医
- 町田睦月(ドクタープロフィール)
- 患者様
- 60代男性
- 治療期間
- 1ヶ月
- 治療回数
- 2-5回
- 治療計画
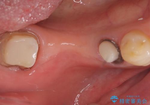
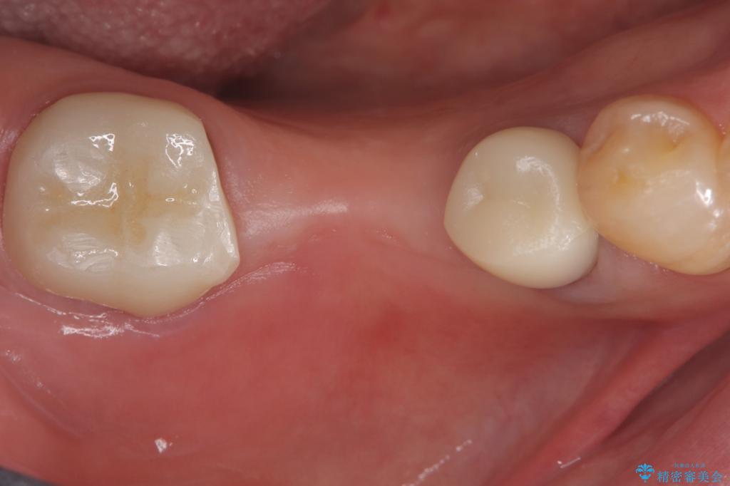
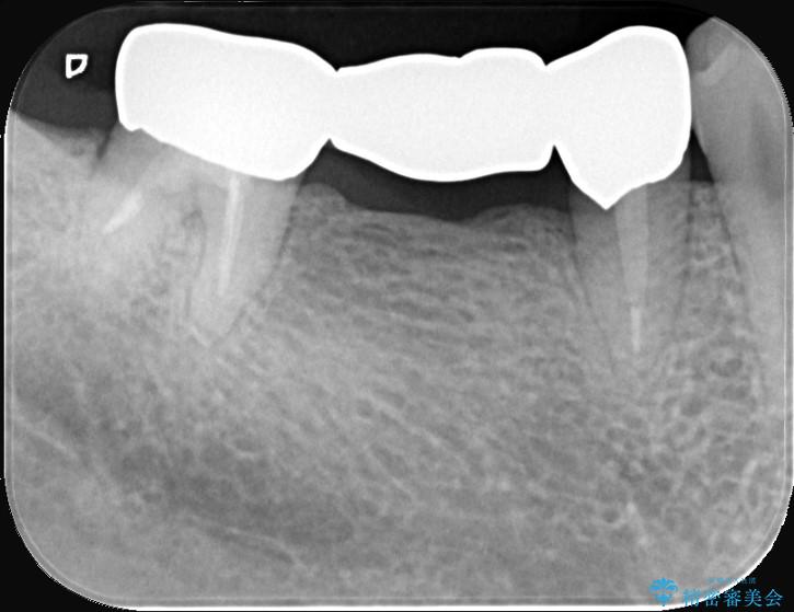
- 主訴:つい先日入れたセラミック(ジルコニア)ブリッジが奥歯部分で割れた。いつも同じ場所で壊れる。これで3度目。
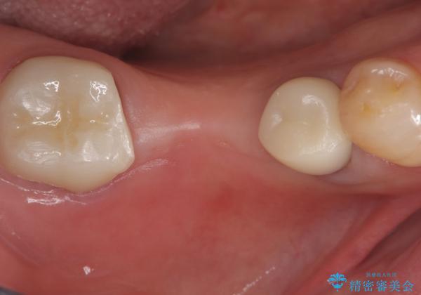
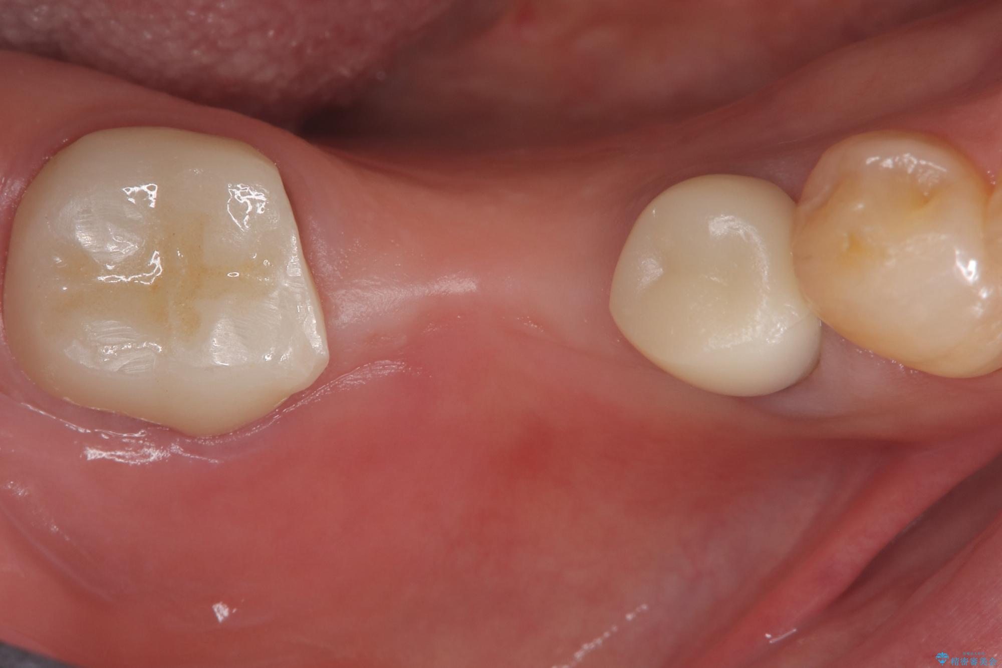
セラミックに比べ、割れづらい金属(ゴールドでのブリッジのやり替えとなりました。
- 費用(概算)
- 561,000円(税込み)費用は治療当時の料金となります
治療について
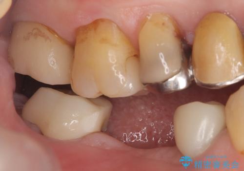
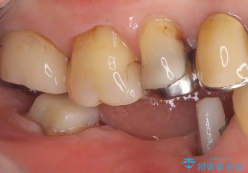
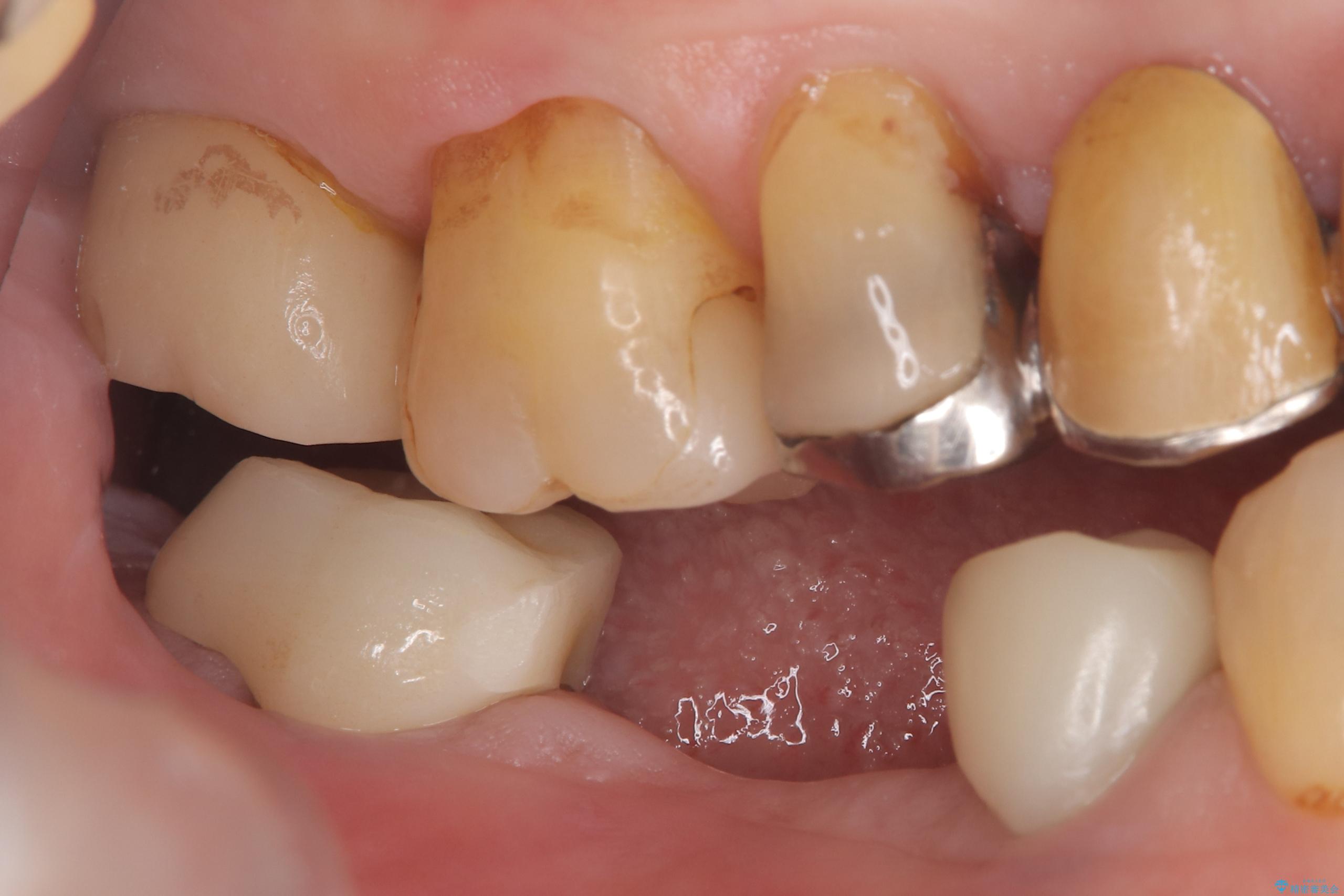
セラミックに比べ、破折リスクの少ない金属を使用したブリッジでのやり替えとなりました。
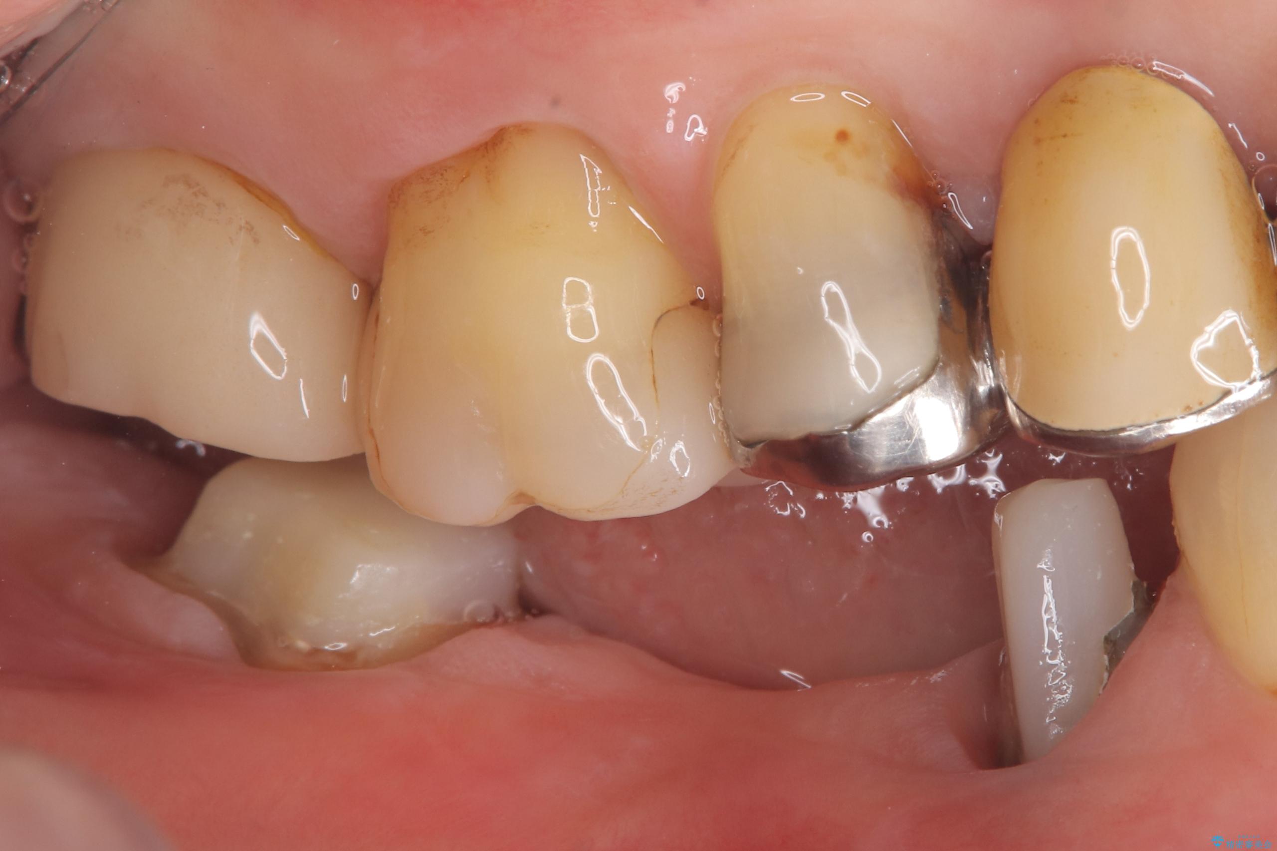
両支台歯が失活歯のため、どちらかもしくは両方の歯が破折した際、再度ブリッジを除去した治療が必要になるリスクとインプラント治療のご提案もさせていただきましたが、ブリッジでの治療を希望されました。
右下5番は支台歯CR築造を行っています。
PGA(ゴールド)クラウン、インレーの注意事項(リスク・副作用など)
- インレーおよびクラウンは脱離するリスクがあります
- 形成量はセラミックより少ないですが、歯の形成、修復後に歯に症状が出ることがあります
- 自費診療(保険適用外治療)となります
当サイトの内容、テキスト、画像等の無断転載、複製、複写、盗用を固く禁じます。











