症例・治療例紹介
Cases
セラミック治療 → 前歯クラウン(オールセラミック)
22ページ目 / 73
前歯の虫歯 オールセラミック治療
担当医 大元洋佑


【オールセラミッククラウン】他院で入れた被せものがすぐとれる


前歯をきれいにしたい


口腔内をメタルフリーにしたい


反対咬合や欠損を治療したい インビザライン矯正とオールセラミックブリッジ


前歯のインプラント治療 折角なので矯正治療できれいな歯並びに


八重歯と開咬を治したい 目立たないハーフリンガル矯正


デコボコで磨きにくい前歯をスッキリと インビザライン矯正


つぎはぎとグレーに透ける色が気になる 前歯のオールセラミッククラウン治療


前歯をきれいにしたい
担当医 大元洋佑


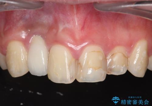
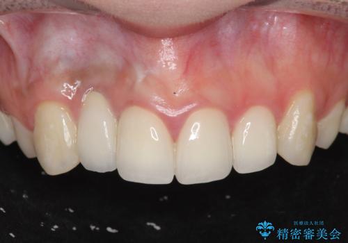
[ オールセラミッククラウン ] 前歯を自然な差し歯にしたい
![[ オールセラミッククラウン ] 前歯を自然な差し歯にしたいの症例 治療前](https://seimitsushinbi.jp/wp/wp-content/uploads/2022/07/3c5a785637ddccbb5d7fcd0b4a151157-500x350.jpg?v=1657095795)
![[ オールセラミッククラウン ] 前歯を自然な差し歯にしたいの症例 治療後](https://seimitsushinbi.jp/wp/wp-content/uploads/2022/07/f908365bae813c6881b43ba51882c130-1-500x350.jpg?v=1657095942)
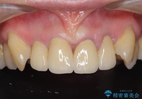
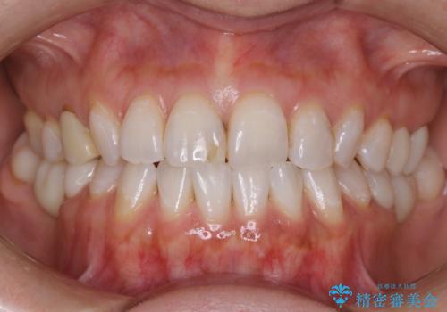
[ 前歯のセラミック治療 ] 短期間で歯並びを治したい
担当医 大元洋佑
![[ 前歯のセラミック治療 ] 短期間で歯並びを治したいの症例 治療前](https://seimitsushinbi.jp/wp/wp-content/uploads/2022/07/68f8dbc76371dd3ce89027a3fa5c08e4-500x350.jpg?v=1657077061)
![[ 前歯のセラミック治療 ] 短期間で歯並びを治したいの症例 治療後](https://seimitsushinbi.jp/wp/wp-content/uploads/2022/07/651788be749c2e6e13f4a14213242ca5-500x350.jpg?v=1657077103)
被せ物で見た目が変わる 前歯のセラミッククラウン


憧れの白い歯に 全顎セラミック治療


セラミック治療の注意事項(リスク・副作用など)
- 天然歯を削ります
- 硬い素材は天然歯を傷つけてしまう場合があります
- かみ合わせや歯ぎしりが強すぎる方はセラミックが割れてしまう可能性があります
- 自費診療(保険適用外治療)となります


