症例・治療例紹介
Cases
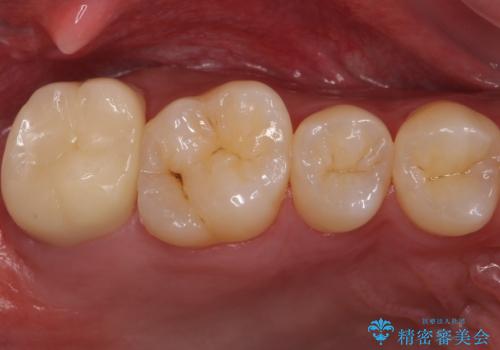
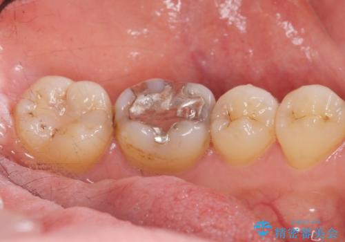
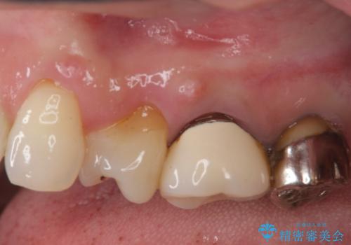
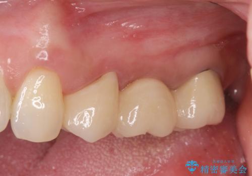
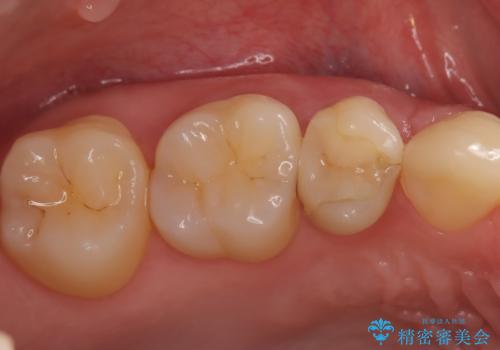
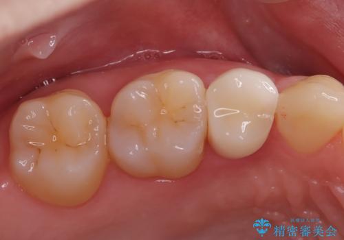
セラミック治療 → 奥歯クラウン(オールセラミック)
22ページ目 / 88
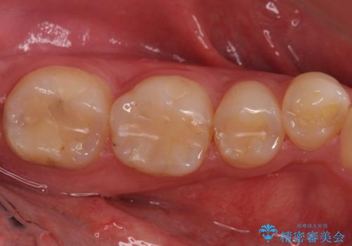
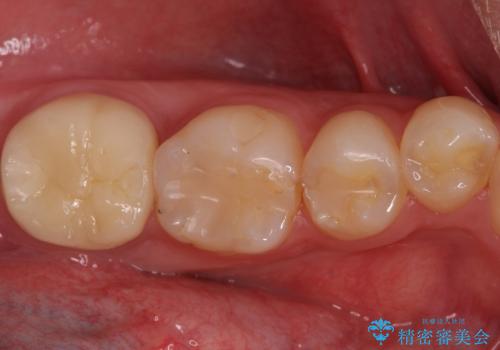
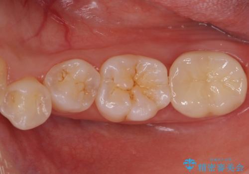
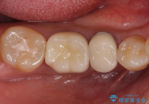
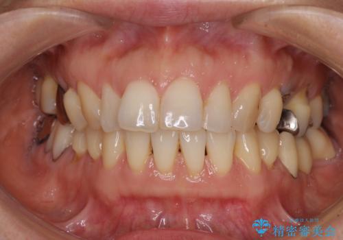
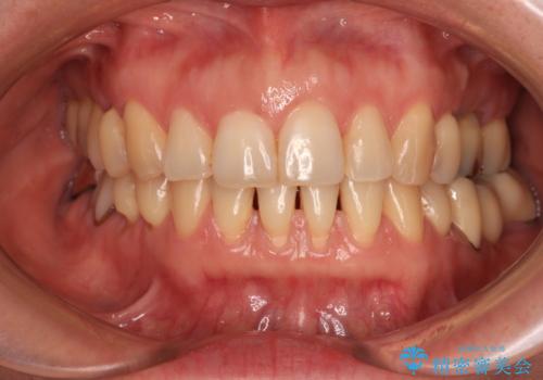
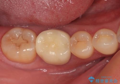
[ 歯周病・矯正・セラミック治療 ] 1つの医院で行う包括的歯科治療
担当医 大元洋佑
![[ 歯周病・矯正・セラミック治療 ] 1つの医院で行う包括的歯科治療の症例 治療前](https://seimitsushinbi.jp/wp/wp-content/uploads/2023/10/IMG_6364-500x350.jpg?v=1697786419)
![[ 歯周病・矯正・セラミック治療 ] 1つの医院で行う包括的歯科治療の症例 治療後](https://seimitsushinbi.jp/wp/wp-content/uploads/2023/10/90d18252b8dbe1975afad5c7598b2fb5-500x350.jpg?v=1697785801)
奥歯がしみる 神経を温存する治療


銀歯を白くしたい
担当医 岡田康成


激しく痛む奥歯を治したい


目立つ銀歯を白くしたい ジルコニアクラウンでの修復
担当医 岡田康成


産後の虫歯治療 セラミッククラウンでの治療
担当医 岡田康成


銀歯をなくしたい ジルコニアクラウンでの修復
担当医 岡田康成


目立つ銀歯をセラミックへ
担当医 大元洋佑


欠けてしまった奥歯のむし歯治療


正中のズレと飛び出した前歯を改善 メタルブラケットでの抜歯矯正


【インプラント】歯が無いので入れて欲しい!


歯槽堤保存を行ったブリッジ治療
担当医 大元洋佑


歯ぐきの形を整え、外れにくい被せ物を装着


【根管治療歯の補綴】インレーからクラウンへ
担当医 河口智英


奥歯のむし歯を治したい セラミッククラウンによる補綴治療


セラミック治療の注意事項(リスク・副作用など)
- 天然歯を削ります
- 硬い素材は天然歯を傷つけてしまう場合があります
- かみ合わせや歯ぎしりが強すぎる方はセラミックが割れてしまう可能性があります
- 自費診療(保険適用外治療)となります
