症例詳細
Case detail
割れてしまった歯が痛む 矯正とインプラントを併用した総合歯科治療
- 患者様
- 40代女性
- 矯正装置
- 審美装置
- 治療期間
- 3年6ヶ月
- 治療回数
- 10-30回
- 治療計画
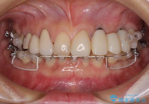
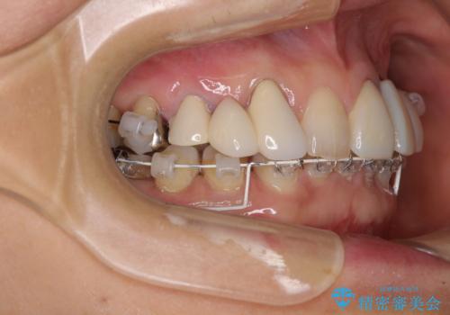
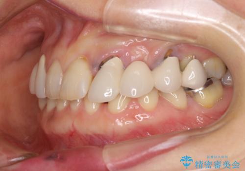
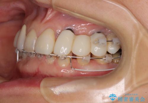
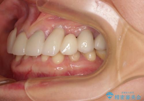
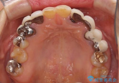
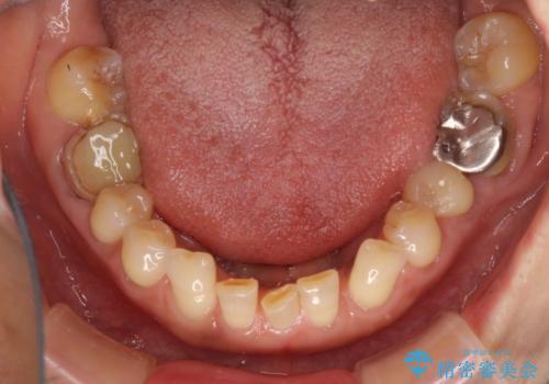
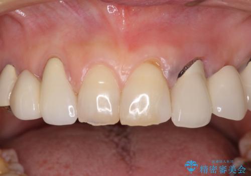
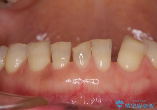
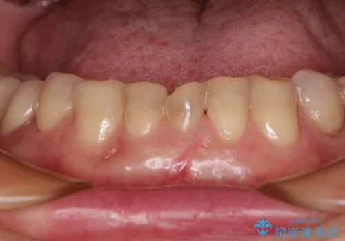
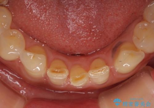
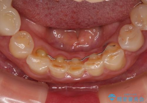
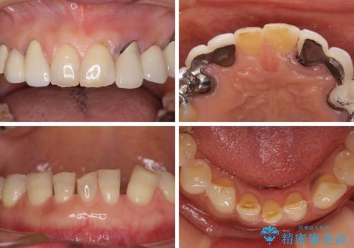
- 割れていると言われて放置してしまった歯や、前歯のデコボコなどが気になるとのことで来院された患者様です。
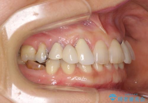
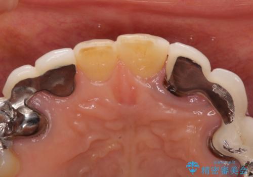
左上の歯は割れてしまっており、抜歯のうえインプラント治療が必要であり、他にも抜歯の必要な歯がある状態でした。
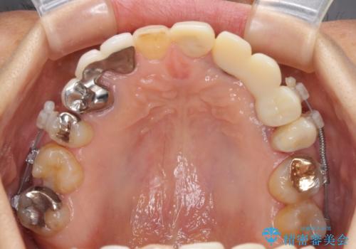
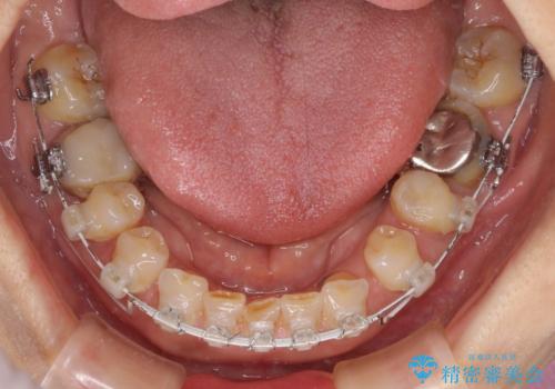
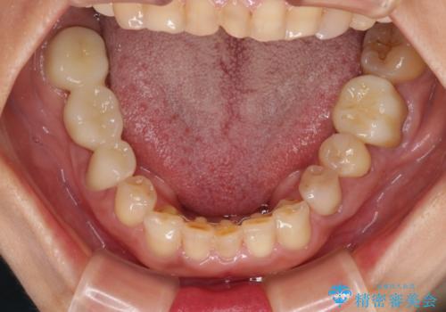
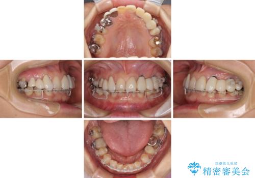
上顎はほぼ全ての歯をセラミッククラウンにて補綴治療を行う必要があるため、気になるデコボコや深い咬み合わせを改善するために下顎と上顎の臼歯部の矯正治療を行うこととしました。
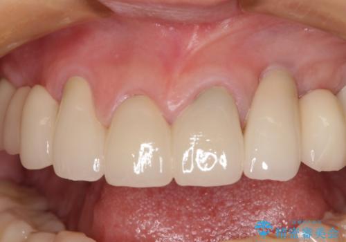
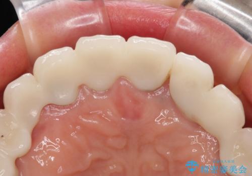
並行して左下にはインプラントを埋入し、矯正治療を終えると同時に補綴治療を行うこととしました。
- 費用(概算)
- 治療費の目安: 300万円(税込)費用は治療当時の料金となります
治療について
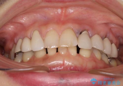
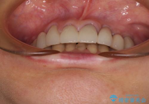
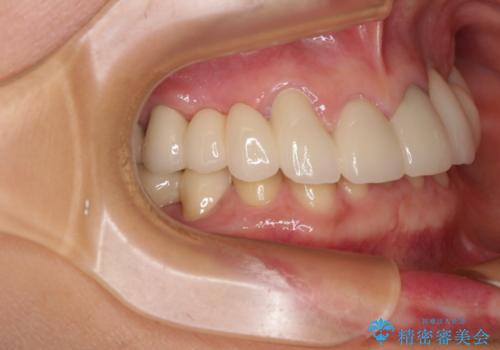
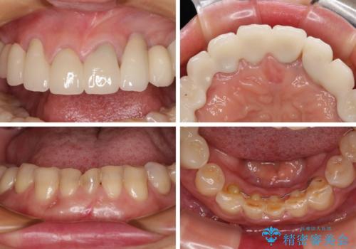
過蓋咬合(下顎前歯が隠れてしまうほどの深い咬み合わせ)のため、スムーズに歯が動かず矯正治療に時間がかかりましたが、無事に仕上げることができました。
セラミック治療の注意事項(リスク・副作用など)
- 天然歯を削ります
- 硬い素材は天然歯を傷つけてしまう場合があります
- かみ合わせや歯ぎしりが強すぎる方はセラミックが割れてしまう可能性があります
- 自費診療(保険適用外治療)となります
インプラント治療の注意事項(リスク・副作用など)
- 外科手術のため、術後に痛みや腫れ、違和感を伴います
- メンテナンスを怠ったり喫煙により、お口の中に大きな悪影響を及ぼすインプラント周囲炎等にかかる可能性があります
- 糖尿病、肝硬変、心臓病等の場合、インプラント治療ができない可能性があります
- 高血圧、貧血・不整脈等の場合、インプラント治療後に治癒不全を招く可能性があります
- 自費診療(保険適用外治療)となります
インプラント治療の注意事項(リスク・副作用など)
- 外科手術のため、術後に痛みや腫れ、違和感を伴います
- メンテナンスを怠ったり喫煙により、お口の中に大きな悪影響を及ぼすインプラント周囲炎等にかかる可能性があります
- 糖尿病、肝硬変、心臓病等の場合、インプラント治療ができない可能性があります
- 高血圧、貧血・不整脈等の場合、インプラント治療後に治癒不全を招く可能性があります
- 自費診療(保険適用外治療)となります
当サイトの内容、テキスト、画像等の無断転載、複製、複写、盗用を固く禁じます。




































