症例・治療例紹介
Cases
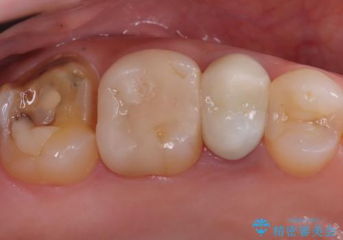
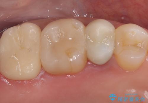
セラミック治療 → 奥歯クラウン(オールセラミック)
1ページ目 / 88
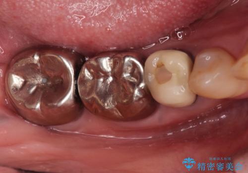
銀歯の除去 長期的な未来を見据えた虫歯治療


矯正と虫歯のセラミック治療 総合歯科治療の実践


難症例の奥歯も3ヶ月で機能回復!抜歯即時インプラントでスピード解決


セラミッククラウンによる奥歯の修復
担当医 河口智英


破折によりクラウンの外れてしまった奥歯 抜歯即時埋入で短期間インプラント治療


神経を取って変色した歯 オールセラミッククラウンで綺麗に仕上げる


抜歯が必要な歯をインプラントに 短期間インプラント治療


欠損の多い奥歯 インプラントによる補綴治療


銀歯からセラミックへ


奥歯の審美治療 セラミッククラウン


歯周病でグラグラの歯 矯正治療と歯周外科を併用した総合歯科治療


外れるブリッジと気になる八重歯 総合歯科治療で美しい口元に


奥歯で噛みたい 破折した歯のインプラント治療


詰め物が欠けた 〈セラミッククラウン〉
担当医 瀧村怜未


目立つ銀歯を白く自然な歯に改善
担当医 河口智英


セラミック治療の注意事項(リスク・副作用など)
- 天然歯を削ります
- 硬い素材は天然歯を傷つけてしまう場合があります
- かみ合わせや歯ぎしりが強すぎる方はセラミックが割れてしまう可能性があります
- 自費診療(保険適用外治療)となります
