症例・治療例紹介
Cases
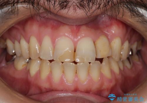
セラミック治療
前歯クラウン(オールセラミック)掲載症例数1093件
最新 前歯クラウン(オールセラミック)症例


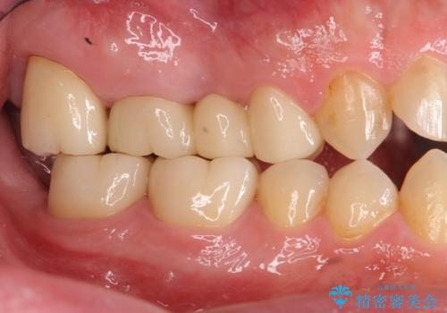
奥歯クラウン(オールセラミック)掲載症例数1312件
最新 奥歯クラウン(オールセラミック)症例


前歯ブリッジ掲載症例数244件
最新 前歯ブリッジ症例


奥歯ブリッジ掲載症例数301件
最新 奥歯ブリッジ症例


セラミックインレー掲載症例数726件
最新 セラミックインレー症例


PGA(ゴールド)掲載症例数162件
最新 PGA(ゴールド)症例


メタルボンド掲載症例数26件
最新 メタルボンド症例


セラミック治療の注意事項(リスク・副作用など)
- 天然歯を削ります
- 硬い素材は天然歯を傷つけてしまう場合があります
- かみ合わせや歯ぎしりが強すぎる方はセラミックが割れてしまう可能性があります
- 自費診療(保険適用外治療)となります
