症例・治療例紹介
Cases
Dr. 藤巻太一朗の症例写真
1ページ目 / 107
破折してしまった奥歯 抜歯即時埋入で短期間インプラント治療


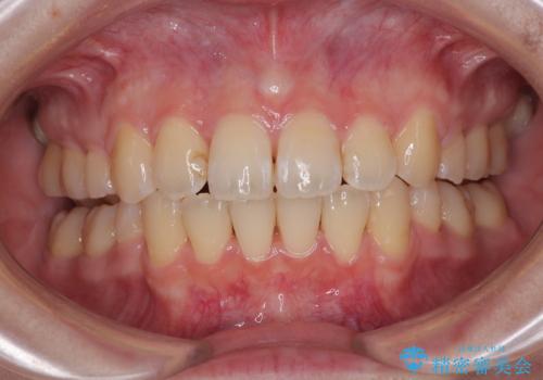
深い咬み合わせと飛び出した前歯 ワイヤー装置での抜歯矯正治療


デコボコだらけの歯列をきれいに ワイヤー装置での抜歯矯正治療
担当医 藤巻太一朗


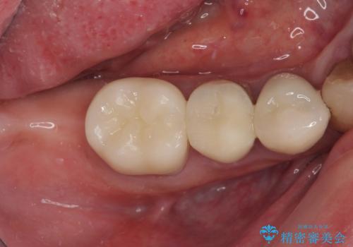
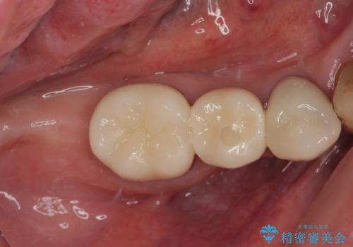
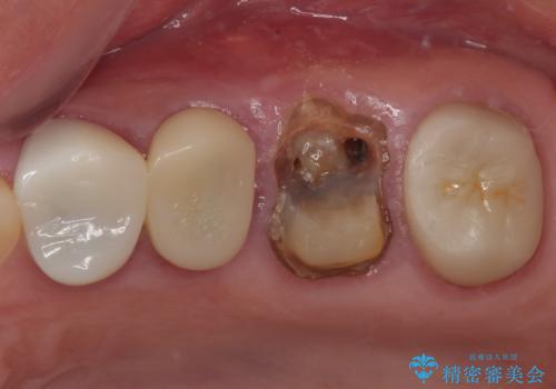
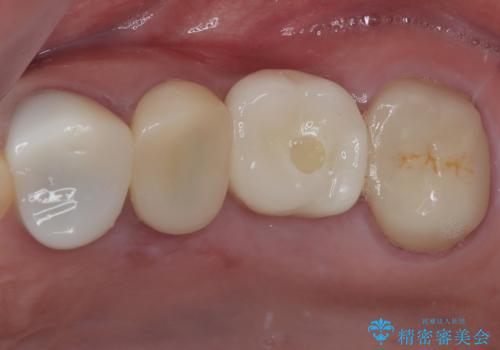
予後不良の奥歯 抜歯即時埋入インプラントによる補綴治療


【モニター】食事が取りづらい 極端な開咬をインビザラインで解決
担当医 藤巻太一朗


前歯が隠れるほどのデコボコをインビザライン矯正できれいに整える


前歯のデコボコをワイヤー矯正で綺麗に 保険診療の前歯クラウンもセラミッククラウンで自然に


【モニター】前歯のデコボコをインビザラインで綺麗に
担当医 藤巻太一朗


全体的なデコボコをスッキリと ワイヤー装置での抜歯矯正


前歯のデコボコと小さい歯を改善 インビザラインとオールセラミッククラウン


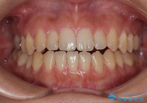
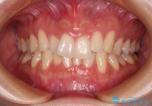
むし歯治療とインビザライン矯正治療 総合歯科治療で整った口腔内に


デコボコと咬み合わせを改善 インビザライン矯正治療
担当医 藤巻太一朗


割れてしまった奥歯 1DAYインプラント治療


捻れて前に出ている前歯 ワイヤー装置での非抜歯矯正


受け口と八重歯を改善 インビザライン矯正治療


