症例・治療例紹介
Cases
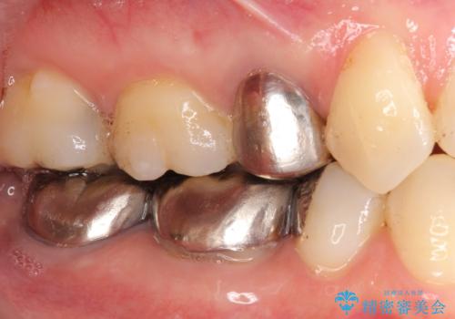
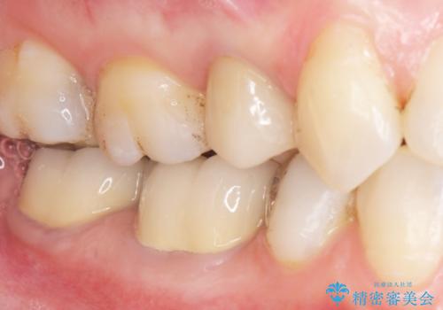
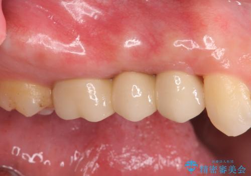
セラミック治療 → メタルボンド
1ページ目 / 2
親知らずの移植 4年半経過症例 70代女性


歯がぐらぐら 再生療法で抜かずに残す 50代男性


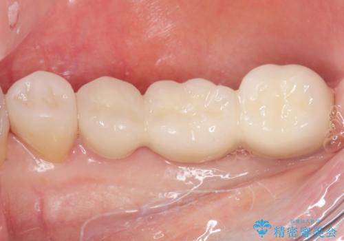
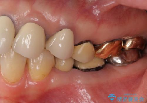
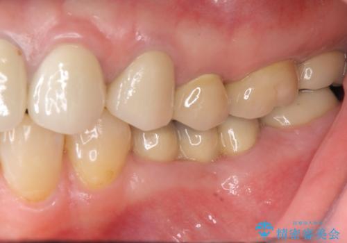
低予算で銀歯を白くしたい 50代女性


奥歯がわれている ソケットリフトを併用した奥歯のインプラント 60代男性


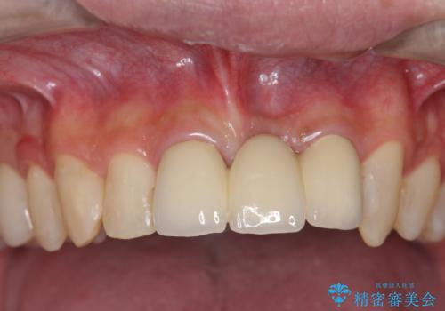
奥歯がないまま過ごしていたら前歯もぐらぐらしてきた 60代女性


歯が割れた 親知らずの移植 30代女性


セラミック治療の注意事項(リスク・副作用など)
- 天然歯を削ります
- 硬い素材は天然歯を傷つけてしまう場合があります
- かみ合わせや歯ぎしりが強すぎる方はセラミックが割れてしまう可能性があります
- 自費診療(保険適用外治療)となります


















