症例・治療例紹介
Cases
最新の症例
【セラミッククラウン】【精密根管治療】前歯が痛い


ナイトガードで歯の予防!


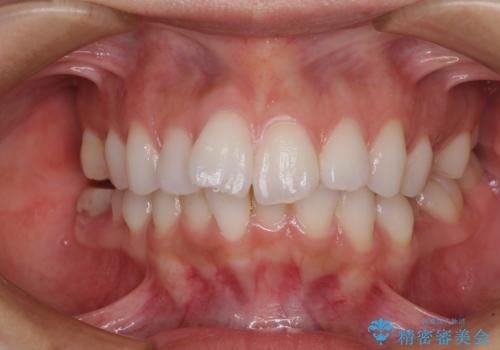
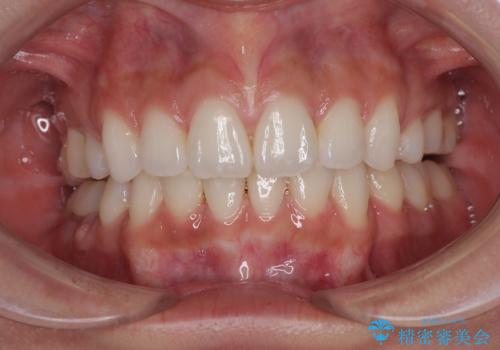
膨らんだ口元を改善する抜歯矯正 インプラント治療も同時に行う総合歯科治療


横顔の印象を改善したい ワイヤー装置での抜歯矯正


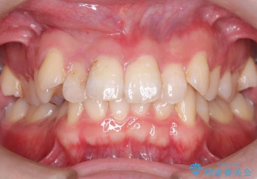
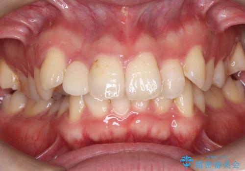
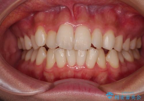
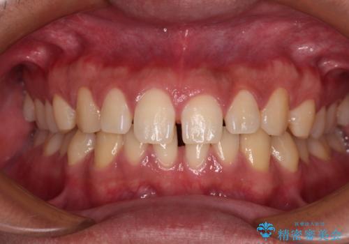
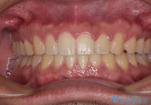
隙間だらけの歯列を治したい ワイヤー矯正での矯正治療


気になる前歯を短期間で治す インビザライン・モデレートでの矯正治療
担当医 藤巻太一朗


【モニター】前歯のデコボコをワイヤーの抜歯矯正で綺麗に整える
担当医 藤巻太一朗


食事が取れないほどの激痛 奥歯のインプラント治療


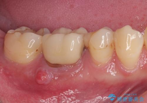
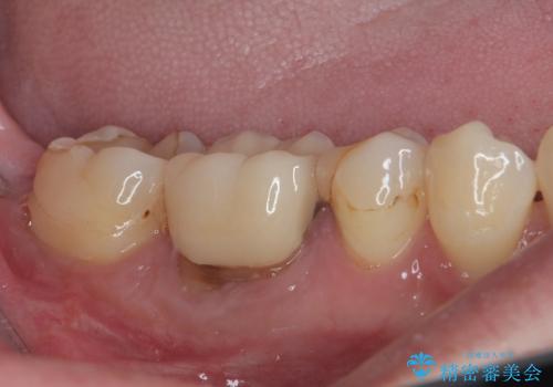
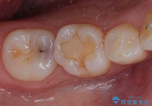
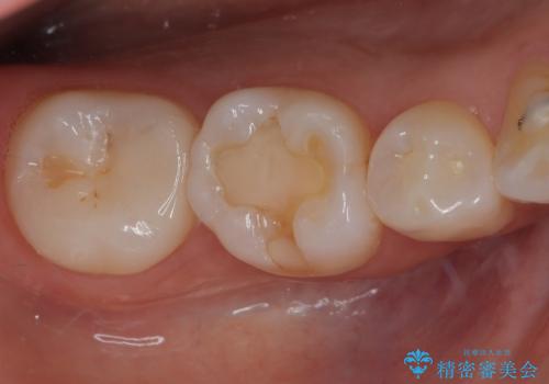
気になる奥歯のむし歯治療


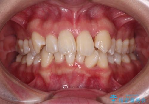
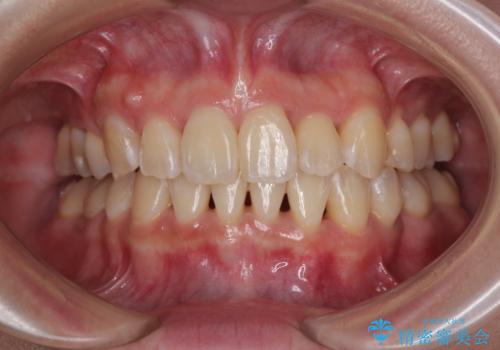
前歯のデコボコと口元の膨らみを治したい ワイヤー装置での非抜歯矯正


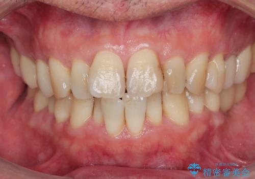
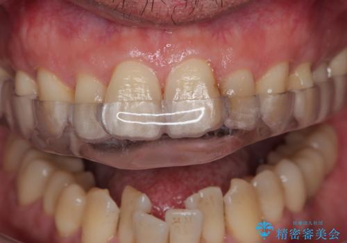
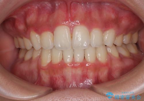
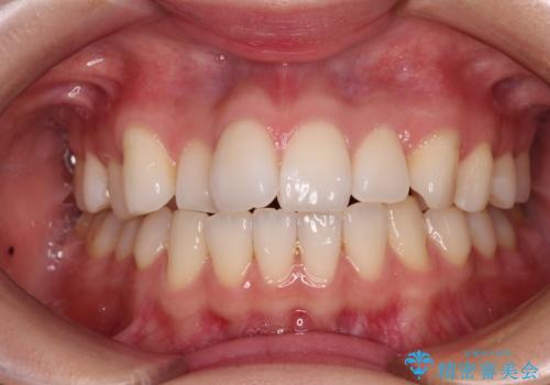
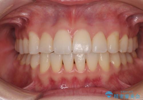
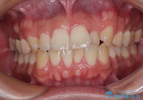
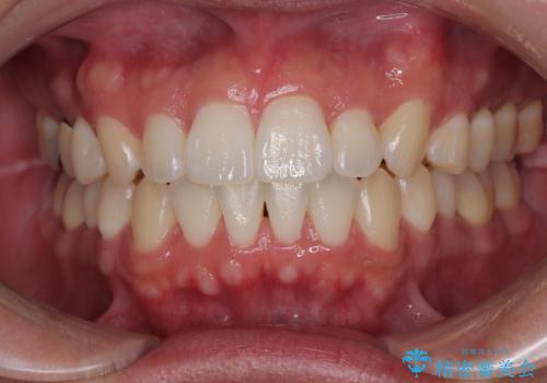
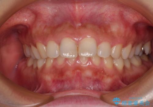
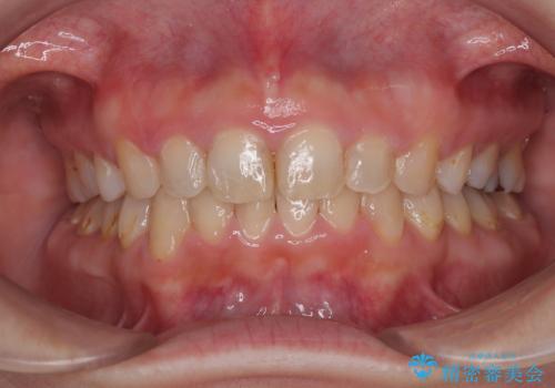
[ ジルコニアクラウン ] 前歯の変色、審美障害をセラミック治療で改善
担当医 大元洋佑
![[ ジルコニアクラウン ] 前歯の変色、審美障害をセラミック治療で改善の症例 治療前](https://seimitsushinbi.jp/wp/wp-content/uploads/2025/09/89a2fa8440f79f61e144a212ff624c3f-500x350.jpg?v=1757994527)
![[ ジルコニアクラウン ] 前歯の変色、審美障害をセラミック治療で改善の症例 治療後](https://seimitsushinbi.jp/wp/wp-content/uploads/2025/09/9d0ac746bb42ce93802c89e0946960e4-500x350.jpg?v=1757994848)








