症例詳細
Case detail
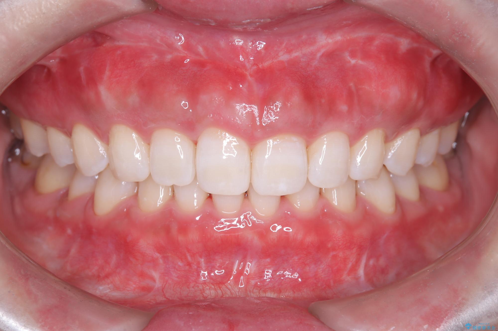
ホワイトニングで素敵ウエディング
治療症例の内容
- 診療科目
- 治療カテゴリ
- 患者様
- 30代女性
- 治療期間
- 1日
- 治療回数
- 1回
- 治療計画
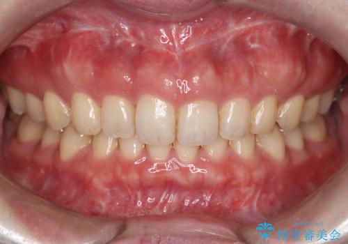
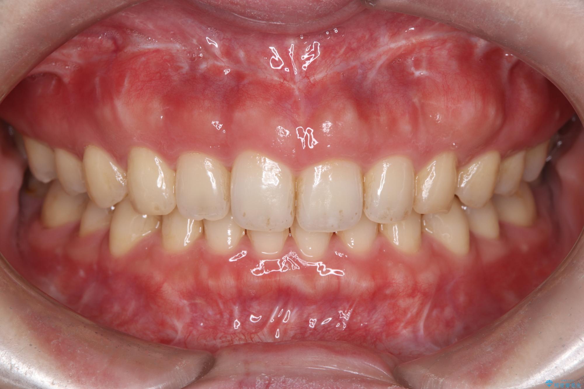
- 結婚式に向けて歯を白くしたいとオフィスホワイトニングを希望された患者様です。
- 費用(概算)
- 29,700円費用は治療当時の料金となります
治療について
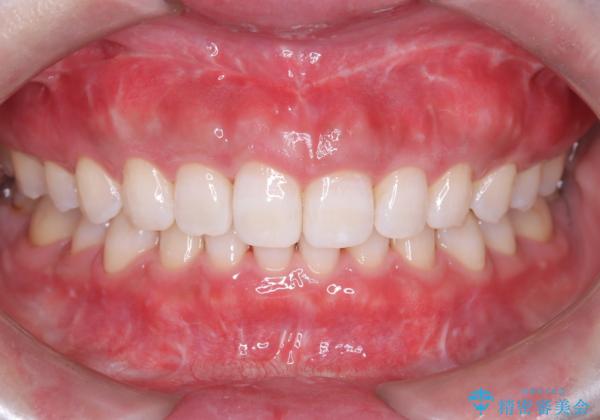
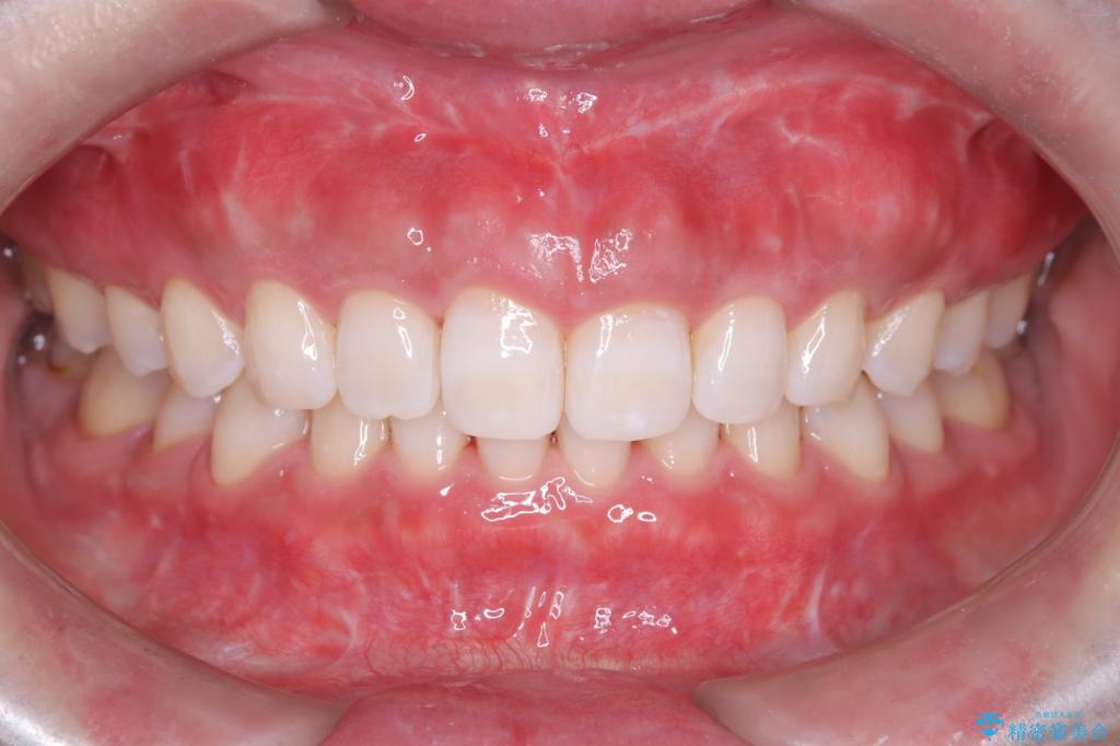
濃いめの歯の黄ばみでしたがかなりトーンアップしたので満足いただけた様子でした。
結婚式まで2か月ほど期間あったので白さをキープする為、ホームホワイトニングを使用して頂くよう説明しました。
初めてのホワイトニングは色戻りしやすいため、オフィスホワイトニング後のホームホワイトニングの使用をお勧めしています。
担当衛生士 宇津宮
ホワイトニングの注意事項(リスク・副作用など)
- 知覚過敏が出ることがあります
- ホワイトバンドや白い斑点が出ることがあります
- クラウンやインレー等の補綴物には効果がありません
- ホワイトニングによる効果や持続期間には個人差があります
- 歯牙の状態によっては適応できないことがあります
- 保険適用外となります
当サイトの内容、テキスト、画像等の無断転載、複製、複写、盗用を固く禁じます。


