症例・治療例紹介
Cases
最新の症例
目立つ銀歯と欠けてしまった詰め物 オールセラミッククラウンでの補綴治療


前歯のデコボコを治したい インビザラインによる矯正治療


前歯のデコボコと突出感をマウスピース矯正できれいに


マウスピース矯正とセラミック治療で綺麗な口元に


上顎前突をしっかりと治す 補助装置を使用したワイヤー矯正


楽してデコボコを治したい ワイヤー矯正治療


開咬と前突を改善 ワイヤー装置での抜歯矯正


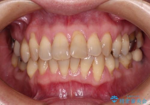
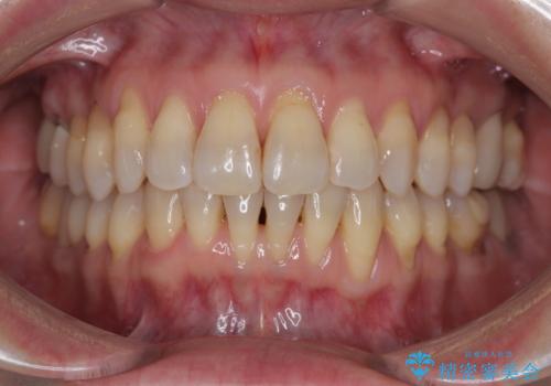
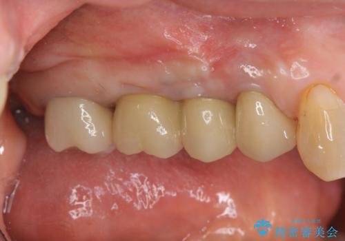
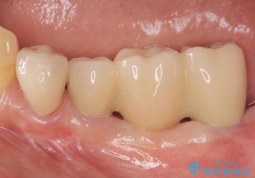
セラミック・インプラント治療を含む包括歯周病治療


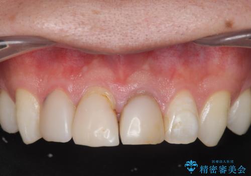
前歯の変色 審美性の改善


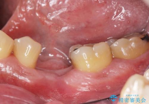
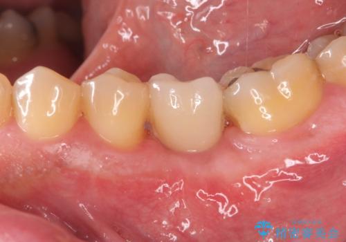
インレー下に再発した虫歯 セラミッククラウンによるやり替え
担当医 大元洋佑


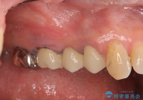
過大な咬合力で破折した奥歯 インプラント治療で咬合機能の回復










