症例・治療例紹介
Cases
最新の症例
コーヒーの着色を綺麗に
担当医 歯科衛生士


「サ行」が発音しづらい 舌小帯形成術で改善
担当医 大元洋佑


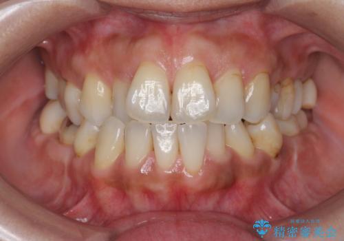
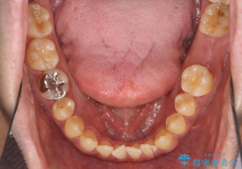
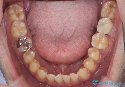
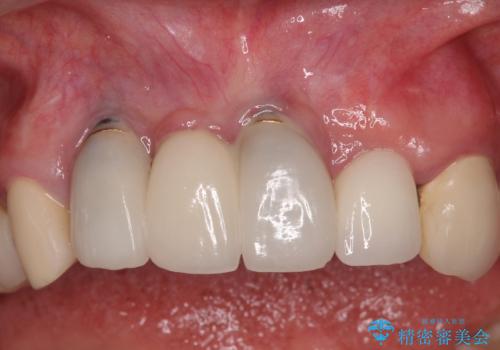
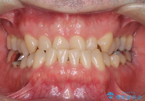
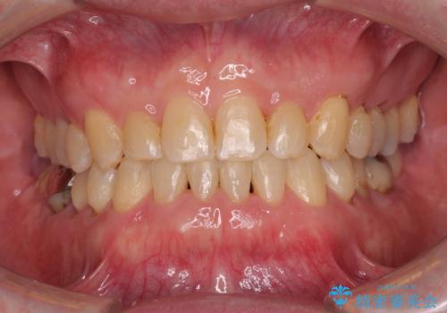
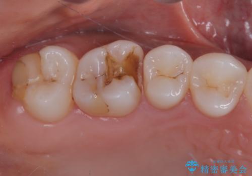
あきらめないで!!虫歯でボロボロでも大丈夫! 非抜歯矯正と虫歯、インプラント治療で見違える歯並びに。


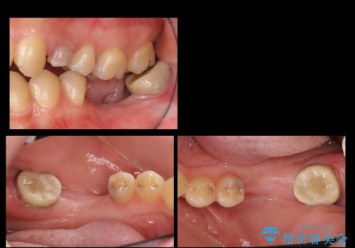
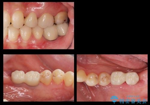
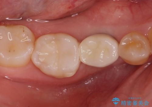
奥歯のインプラント


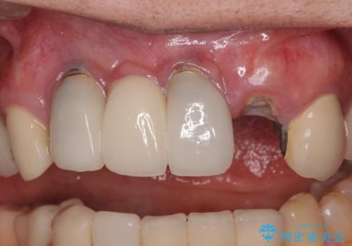
1DAYインプラント 土台から外れてしまった前歯を短期間で治療


全く目立たないワイヤー矯正 上下裏側矯正


気になる八重歯と変色した前歯 抜歯矯正とセラミッククラウン治療


受け口を治す ワイヤー装置での矯正治療


飛び出ている出っ歯を治したい 目立たない装置での抜歯矯正治療


前に飛び出して目立っている前歯を整える インビザライン矯正治療
担当医 藤巻太一朗


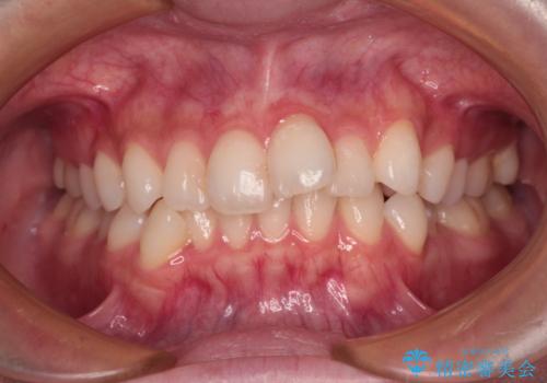
デコボコと銀歯 矯正治療とセラミック治療で綺麗な口元に










