症例・治療例紹介
Cases
最新の症例
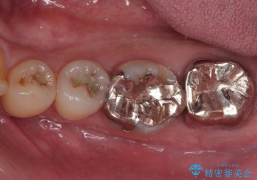
70代女性 段差のある被せ物のやり替え


前歯を綺麗にしたい。
担当医 青山卓弘


乳歯に虫歯ができた オールセラミッククラウン
担当医 有澤哲郎


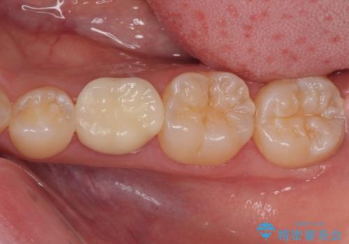
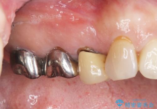
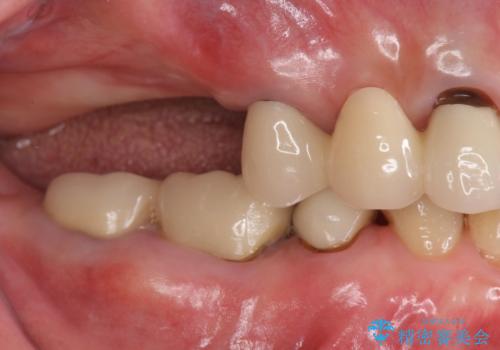
[セラミッククラウン] 根面にできた虫歯治療
担当医 大元洋佑
![[セラミッククラウン] 根面にできた虫歯治療の症例 治療前](https://seimitsushinbi.jp/wp/wp-content/uploads/2025/01/219de76588e33a785e27972e74b82287-500x350.jpg?v=1737355652)
![[セラミッククラウン] 根面にできた虫歯治療の症例 治療後](https://seimitsushinbi.jp/wp/wp-content/uploads/2025/01/b5dd3c419634e991792bcd87dc34d835-500x350.jpg?v=1737355681)
[マウスピース矯正] 海外留学中でも可能な矯正治療
担当医 大元洋佑
![[マウスピース矯正] 海外留学中でも可能な矯正治療の症例 治療前](https://seimitsushinbi.jp/wp/wp-content/uploads/2025/01/C4-1-500x350.jpg?v=1737343006)
![[マウスピース矯正] 海外留学中でも可能な矯正治療の症例 治療後](https://seimitsushinbi.jp/wp/wp-content/uploads/2025/01/IMG_0074-500x350.jpg?v=1737343049)
放置していたむし歯 抜歯即時埋入インプラントで負担を軽減


前歯のデコボコを改善 インビザラインの矯正治療


外れてしまった奥の銀歯 オールセラミッククラウンによる補綴治療


むし歯と前歯のデコボコを治したい インビザラインを使用した総合歯科治療


50代女性 八重歯を矯正治療 歯並びの中等度のがたつき


前歯のフチが黒いのが気になる 前歯のセラミック治療
担当医 大元洋佑


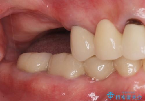
歯槽堤保存を併用し清掃性を高めたブリッジ治療
担当医 大元洋佑








