症例・治療例紹介
Cases
最新の症例
人生が変わる 困難を極める咬合状態に歯列矯正単独で挑戦する


虫歯だらけ、歯周病 崩壊した口腔の再建 フルマウスリコンストラクション


ハーフリンガル抜歯矯正 八重歯を改善する


奥歯がない インプラント治療でかみあわせを回復


抜歯矯正で口元に変化を ラビアル・ワイヤー矯正でEライン


ハーフリンガル ワイヤー矯正による非抜歯・過蓋咬合の治療


シビアな前突症・過蓋咬合 インビザラインで改善する invisalign


抜歯をして前歯を下げ、ガタつきを取り除く ワイヤー矯正


前歯のブリッジの見栄えが悪い→見えないところからしっかりとやり直しを


インビザラインによるガタつきの矯正治療 シンプル・短期間


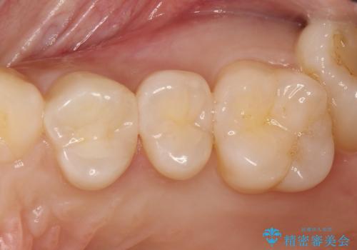
一番奥歯の後ろに虫歯が 処置の難しい虫歯


前歯がぐらぐらする 抜歯→ブリッジへ


気づかないうちに大きな虫歯が 神経を保存し、セラミックで修復


歯茎の黒ずみがきになる 前歯の見た目を改善したい




