症例詳細
Case detail
人生が変わる 困難を極める咬合状態に歯列矯正単独で挑戦する
治療症例の内容
- 診療科目
- 担当医
- 患者様
- 20代女性
- 矯正装置
- リンガル装置
- 治療期間
- 4年
- 治療回数
- 30回以上
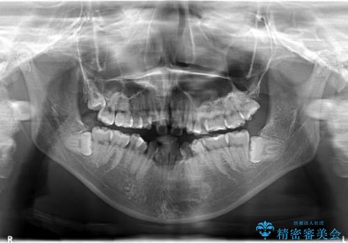
- 治療計画
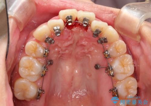
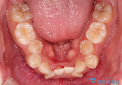
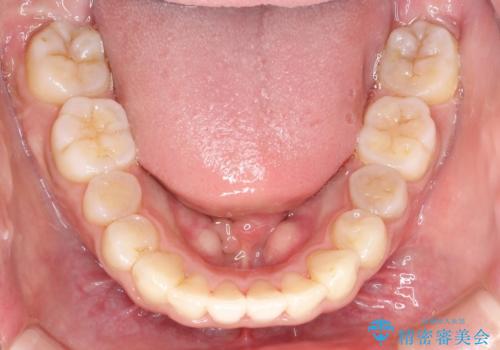
- 上顎の骨格性拡大+両側第1小臼歯抜歯 によりスペースを獲得、フルリンガルによるワイヤー矯正を計画した。
- 費用(概算)
- 約150万円費用は治療当時の料金となります
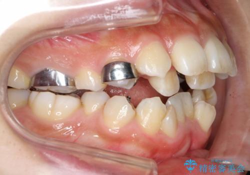
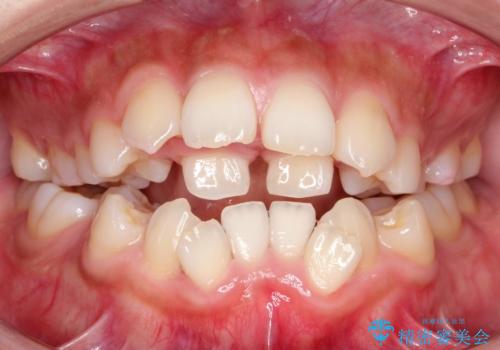
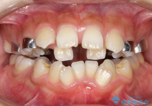
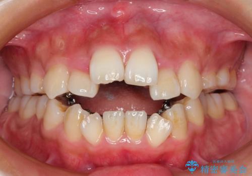
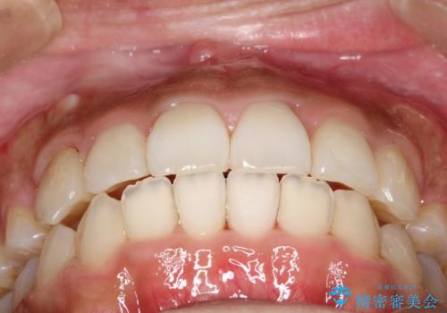
治療について
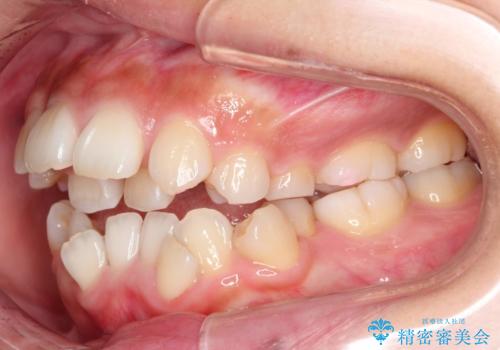
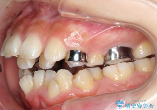
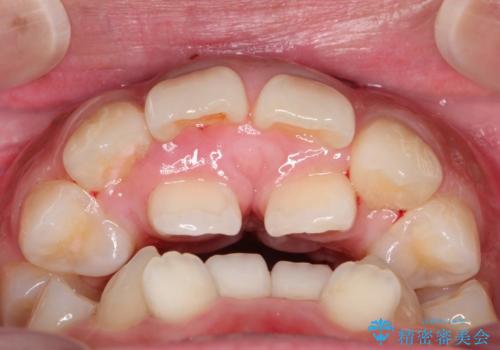
骨格的要因を背景にもつ不正咬合のため、歯列矯正単独での改善は困難と判断しましたが、患者さんとの相談の結果、歯列矯正単独で可能なところまで一緒に頑張りましょうということで、治療をすすめました。
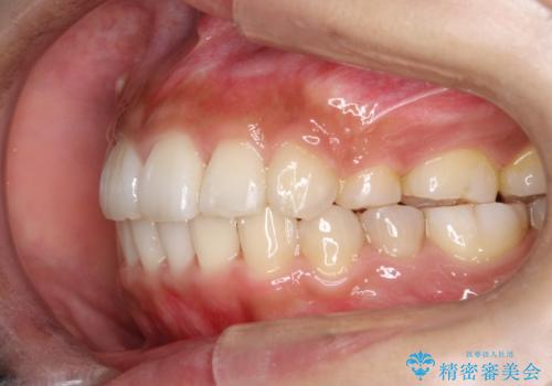
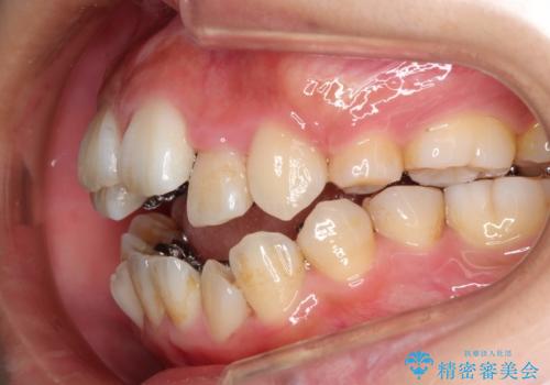
シビアな叢生や開咬も改善することができ、想像以上の改善に時間をかけた甲斐があったと満足していただけました。
ワイヤー矯正の注意事項(リスク・副作用など)
- 治療中は違和感や痛みが起こることがあります
- 症状により、抜歯が必要な場合があります
- 治療中は歯磨きがしにくくなるため、虫歯や歯周病になりやすくなります
- 矯正治療後の保定が不十分だと後戻り(元の位置に戻ろうとする動き)をします
- 自費診療(保険適用外)となります
当サイトの内容、テキスト、画像等の無断転載、複製、複写、盗用を固く禁じます。




























