症例・治療例紹介
Cases
最新の症例
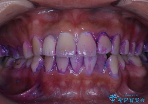
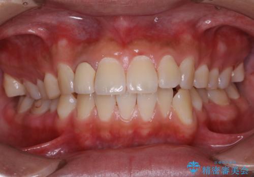
10年ぶりの歯科医院への来院
担当医 歯科衛生士


オールセラミッククラウン 銀歯を白く


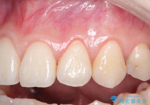
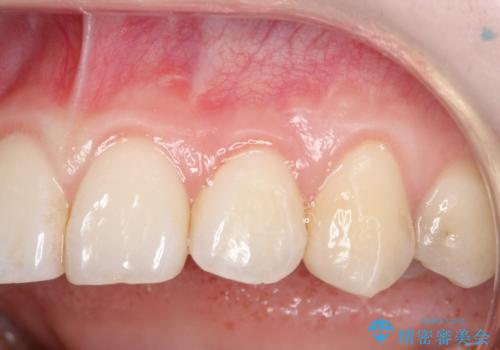
前歯の歯肉退縮 歯周形成外科(歯冠側移動術)
担当医 河口智英


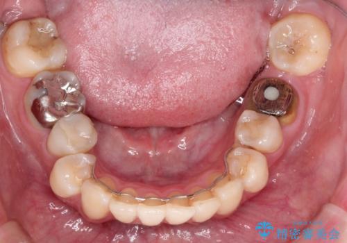
歯周病 インプラントによる咬合機能回復


発見の難しい虫歯。根管治療から被せもの治療


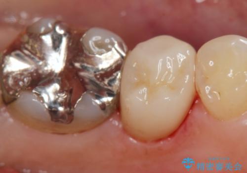
奥歯のゴールドインレーによる虫歯治療


喫煙による歯にこびりついたステインの除去
担当医 歯科衛生士


銀歯が外れ、内部に大きな虫歯の再発
担当医 大元洋佑


放置し崩壊した歯 セラミック治療による咬合機能回復


[ 放置し内部で大きく進行した虫歯 ] 神経を守るセラミック治療
担当医 大元洋佑
![[ 放置し内部で大きく進行した虫歯 ] 神経を守るセラミック治療の症例 治療前](https://seimitsushinbi.jp/wp/wp-content/uploads/2020/06/623c327053e527aaeb881712f91defbe-500x350.jpg?v=1592552165)
![[ 放置し内部で大きく進行した虫歯 ] 神経を守るセラミック治療の症例 治療後](https://seimitsushinbi.jp/wp/wp-content/uploads/2020/06/51cf46a33868bfa966e685ec8a49c91c-500x350.jpg?v=1592552171)
インビザラインにて矯正治療後の前歯のセラミッククラウン治療


目立つ銀歯を白くしたい セラミック治療


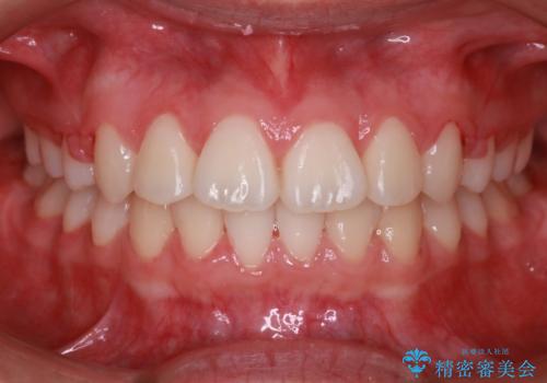
インビザライン 気になるすきっ歯の改善






