症例・治療例紹介
Cases
最新の症例
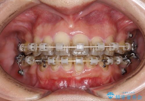
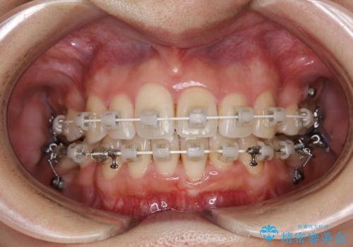
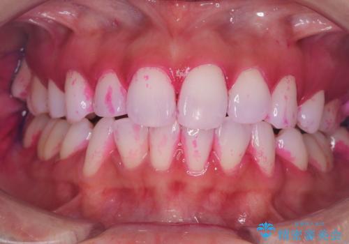
ワイヤー矯正治療中に歯の着色を綺麗に
担当医 歯科衛生士


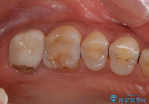
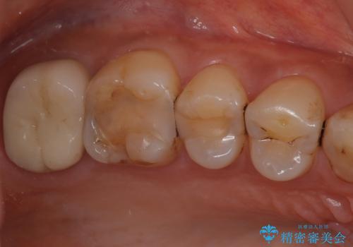
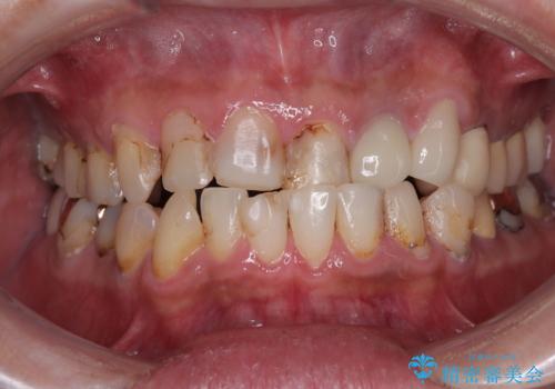
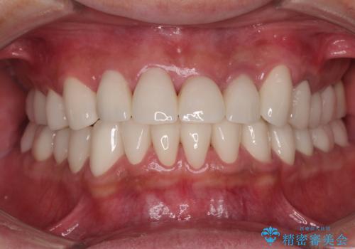
被せものが欠けた オールセラミッククラウン
担当医 有澤哲郎


[抜歯] ワイヤー装置で出っ歯の改善
![[抜歯] ワイヤー装置で出っ歯の改善の症例 治療前](https://seimitsushinbi.jp/wp/wp-content/uploads/2025/05/IMG_1672-500x350.jpg?v=1746632084)
![[抜歯] ワイヤー装置で出っ歯の改善の症例 治療後](https://seimitsushinbi.jp/wp/wp-content/uploads/2025/05/IMG_8070-500x350.jpg?v=1746632252)
出っ歯、ガタつきの改善 ワイヤー矯正治療


前歯のガタつきを改善 抜歯矯正後の後戻り
担当医 草深敏毅


[インビザラインライト] すきっ歯を治したい。
![[インビザラインライト] すきっ歯を治したい。の症例 治療前](https://seimitsushinbi.jp/wp/wp-content/uploads/2025/05/IMG_2278-500x350.jpg?v=1746624784)
![[インビザラインライト] すきっ歯を治したい。の症例 治療後](https://seimitsushinbi.jp/wp/wp-content/uploads/2025/05/IMG_8878-500x350.jpg?v=1746624912)
白い歯、健康な歯は、クリーニングから
担当医 歯科衛生士


受け口傾向の咬み合わせを治したい 全顎セラミック治療


隙間の空いた奥歯 オールセラミッククラウンの補綴治療


奥歯のむし歯が痛い セラミックによるむし歯治療


前歯のデコボコとむし歯治療の跡 インビザライン矯正とオールセラミッククラウン治療


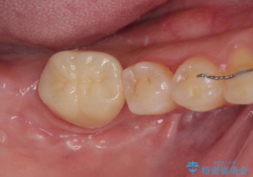
治療途中の奥歯 オールセラミッククラウンでのむし歯治療


【モニター】舌突出癖で隙間が ワイヤー装置での抜歯矯正



![[インビザラインモデレート] 抜歯矯正後の後戻り 出っ歯を治したいの症例 治療前](https://seimitsushinbi.jp/wp/wp-content/uploads/2025/05/IMG_4903-500x350.jpg?v=1746627186)
![[インビザラインモデレート] 抜歯矯正後の後戻り 出っ歯を治したいの症例 治療後](https://seimitsushinbi.jp/wp/wp-content/uploads/2025/05/P1463303-500x350.jpg?v=1746627320)

