症例・治療例紹介
Cases
最新の症例
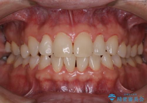
気になる前歯をインビザラインで綺麗に
担当医 藤巻太一朗


短期間での歯列矯正 ワイヤー矯正であっという間に


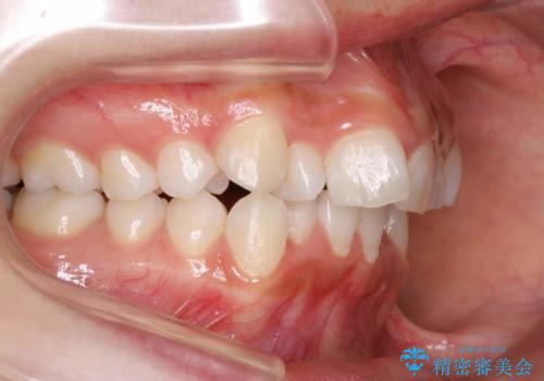
前歯のがたつき・出っ歯 ワイヤーによる抜歯矯正


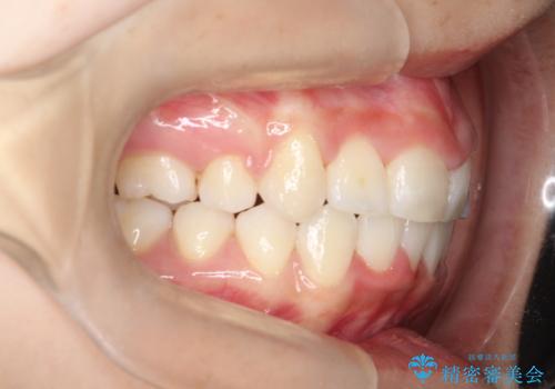
前歯がガタガタ インビザラインによる矯正


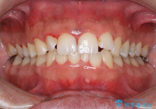
40年ぶりの歯科医院へ来院
担当医 歯科衛生士


出っ歯の抜歯矯正 裏側ワイヤーによる目立たない矯正


結婚式前にクリーニング希望の方
担当医 歯科衛生士


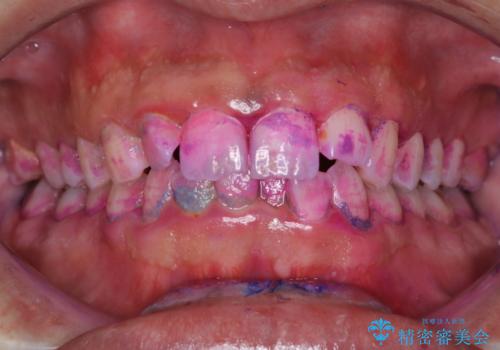
八重歯の抜歯矯正 費用を抑えた矯正装置


折れてしまった歯 インプラントによる補綴治療


前歯のがたつき 乳歯を抜かずに矯正


前歯のねじれ 乳歯を残して矯正治療


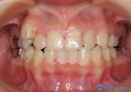
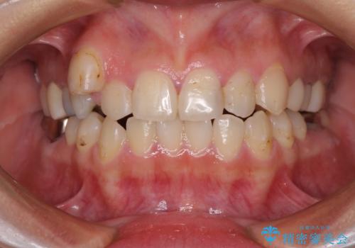
前歯がグラグラする 他院で、もうできることがないと言われた


滑舌の改善 舌小帯の形成
担当医 大元洋佑


結婚式前に目立つ銀歯をセラミックに


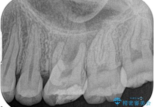
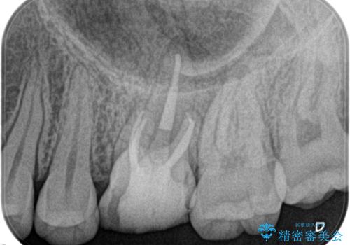
奥歯の根管治療
担当医 河口智英


