症例・治療例紹介
Cases
最新の症例
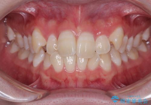
【モニター】前歯のデコボコをスッキリ解消!目立ちにくいワイヤー矯正でスピーディに治療完了
担当医 齋藤佑磨


前歯の色味を治したい オールセラミッククラウン
担当医 有澤哲郎


【セラミッククラウン】知覚過敏をどうにかしてほしい
担当医 町田睦月


前歯の変色を改善し、本来の自然な美しさへ
担当医 河口智英


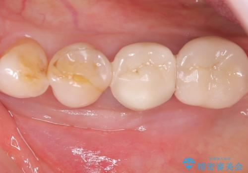
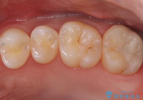
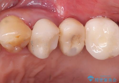
銀歯の除去 長期的な未来を見据えた虫歯治療


矯正と虫歯のセラミック治療 総合歯科治療の実践


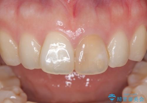
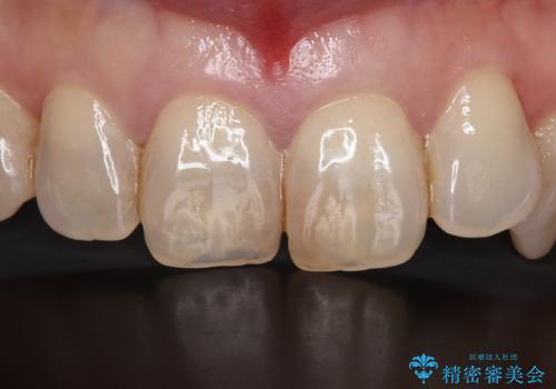
[セラミック治療] 前歯の審美治療に伴う矯正治療
![[セラミック治療] 前歯の審美治療に伴う矯正治療の症例 治療前](https://seimitsushinbi.jp/wp/wp-content/uploads/2025/07/f4514efaf8f4c349983b616a2063fe7c-500x350.jpg?v=1753874062)
![[セラミック治療] 前歯の審美治療に伴う矯正治療の症例 治療後](https://seimitsushinbi.jp/wp/wp-content/uploads/2025/07/IMG_9983-2-500x350.jpg?v=1753874235)
目立たない矯正で中等度の叢生を改善
担当医 河口智英


八重歯と歯のズレを解消し、整った笑顔へ
担当医 河口智英


前歯の色が気になる オールセラミッククラウンで綺麗で健康な歯に
担当医 榊原康平












