症例・治療例紹介
Cases
最新の症例
前歯のガタつきをきれいに マウスピース矯正治療


[ セラミック治療 ]前歯を審美的に治して欲しい
担当医 大元洋佑
![[ セラミック治療 ]前歯を審美的に治して欲しいの症例 治療前](https://seimitsushinbi.jp/wp/wp-content/uploads/2022/08/f60640b4691f5044bbd4eee75a49676a-500x350.jpg?v=1660530311)
![[ セラミック治療 ]前歯を審美的に治して欲しいの症例 治療後](https://seimitsushinbi.jp/wp/wp-content/uploads/2022/08/cdb6079410c436ac615cce081dfb206f-500x350.jpg?v=1660530325)
歯の着色を除去し、きれいな歯に!
担当医 歯科衛生士


矯正終了し、銀歯が見えるため治してほしい。セラミック治療
担当医 菊地俊介


矯正前の親知らず抜歯(埋伏)
担当医 河野豊嘉


残存乳歯とオープンバイト インビザラインによる矯正治療


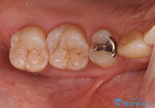
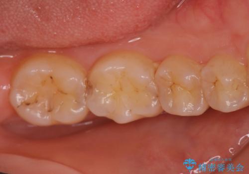
矯正終了後、詰め物を綺麗にしたい。セラミック治療
担当医 菊地俊介


前歯のすき間 以前よりも広がってきた 二度と広がらないようにしたい セラミック治療


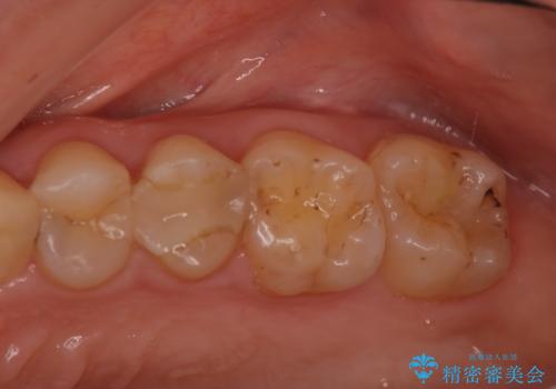
奥歯の着色が気になる セラミック治療
担当医 菊地俊介


口元の印象が変わります。 引っ込んでいる前歯を出す治療


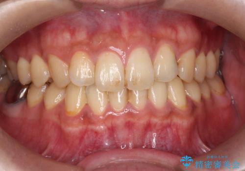
[ ワイヤー矯正 ] ガチャガチャの歯を治したい
![[ ワイヤー矯正 ] ガチャガチャの歯を治したいの症例 治療前](https://seimitsushinbi.jp/wp/wp-content/uploads/2023/09/8bc22ea76e3bfc359da4b9d22936b65d-500x350.jpg?v=1695810755)
![[ ワイヤー矯正 ] ガチャガチャの歯を治したいの症例 治療後](https://seimitsushinbi.jp/wp/wp-content/uploads/2023/09/C102-500x350.jpg?v=1695810775)







![[ 重度歯周病 ] 抜歯後のインプラント治療の症例 治療前](https://seimitsushinbi.jp/wp/wp-content/uploads/2023/09/175b509ec454b727ff977cee78485926-500x350.jpg?v=1695801041)
![[ 重度歯周病 ] 抜歯後のインプラント治療の症例 治療後](https://seimitsushinbi.jp/wp/wp-content/uploads/2023/09/e98e4e9cd9ff38fbf43e5e8e0214fa69-500x350.jpg?v=1695801055)