症例詳細
Case detail
残存乳歯とオープンバイト インビザラインによる矯正治療
治療症例の内容
- 患者様
- 30代女性
- 矯正装置
- インビザライン・審美装置
- 治療期間
- 2年9ヶ月
- 治療回数
- 10-30回
- 治療計画
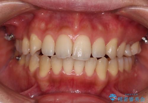
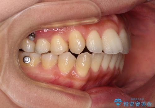
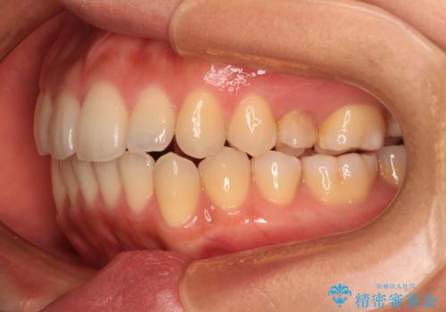
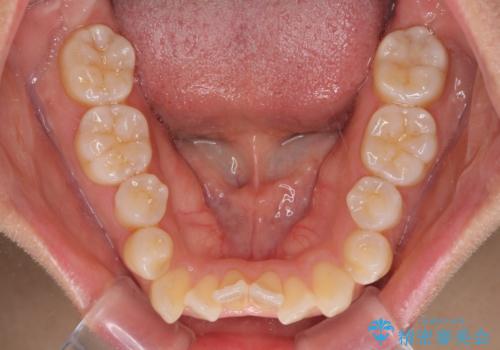
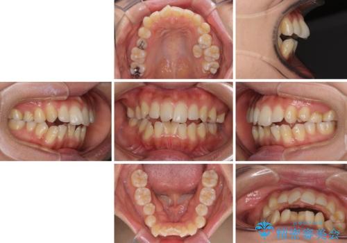
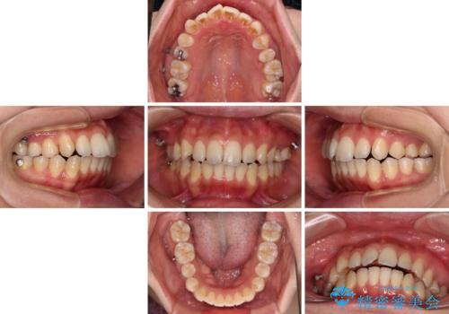
- 前歯のデコボコと咬み合わせを気にして来院された患者様です。
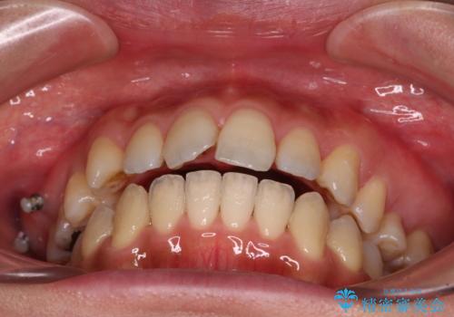
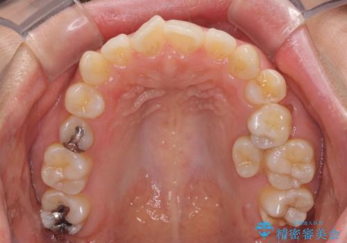
左上奥歯には乳歯が残存しており、後続永久歯は舌側に転位していました。
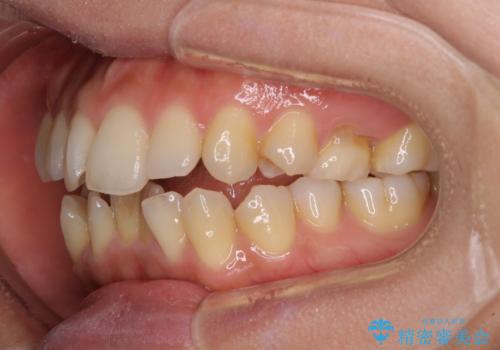
また、舌の突出癖の影響で上下前歯が接触していないオープンバイトとなっており、奥歯に負担のかかる咬み合わせとなっていました。
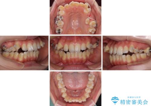
乳歯を抜歯し、舌側の永久歯を引っ張り出すこととしましたが、希望のインビザラインでは移動量が大きすぎて対応できない可能性があったため、ワイヤー装置にて改善することとしました。
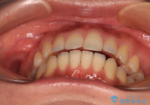
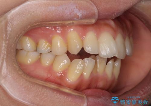
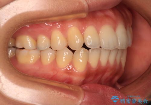
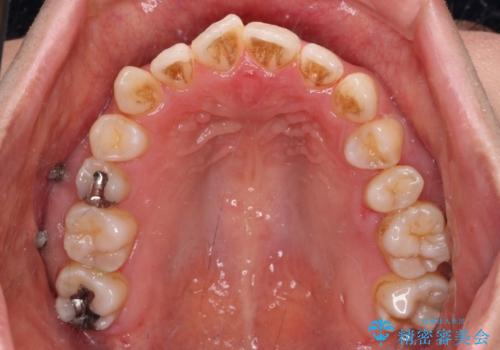
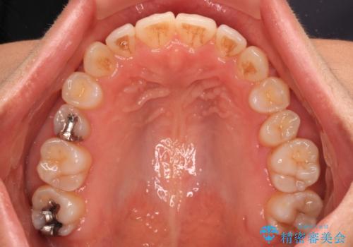
ワイヤー装置にてある程度歯列が改善されたところで、上下をインビザラインにて矯正治療を行うこととしました。
- 費用(概算)
- 治療費の目安: 105万円(税込)費用は治療当時の料金となります
治療について
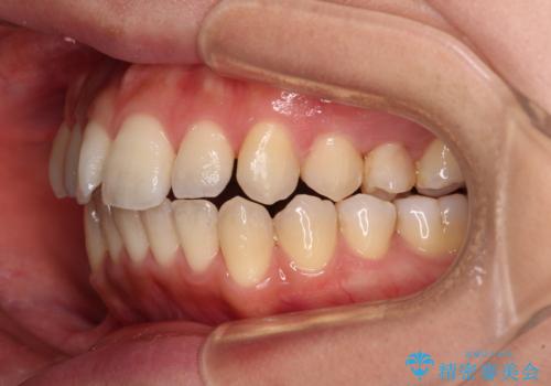
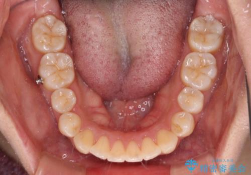
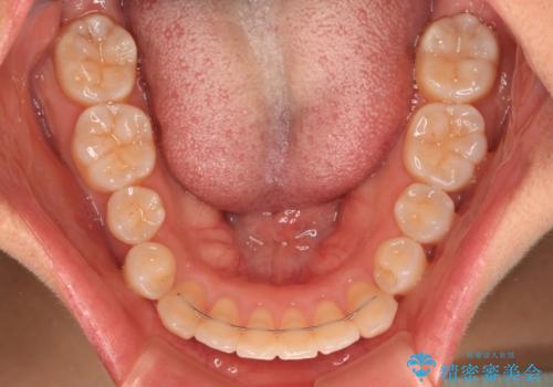
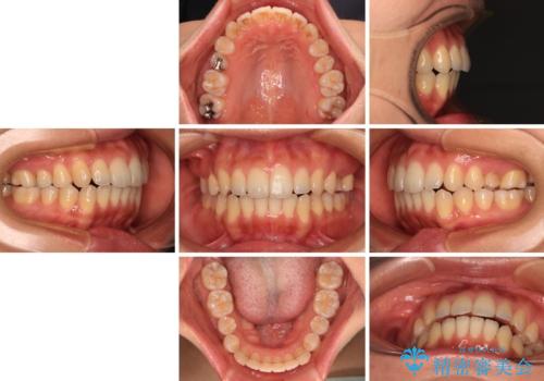
舌のトレーニングをしっかりと行ってくださり、前歯部のオープンバイトは大幅に改善されました。
もう少しでよりタイトに前歯が接触できそうでしたが、患者様がもう十分とのことで治療を終了しました。
マウスピース矯正の注意事項(リスク・副作用など)
- 口腔内・歯並びの状態によっては対応できない場合があります
- マウスピース型矯正装置の長時間装着(1日20時間以上)が必須です
- 治療計画通りに進めるためには、患者様の意志が重要になります
- 矯正治療後の保定が不十分だと後戻り(元の位置に戻ろうとする動き)をします
- 薬機法対象外の矯正歯科装置のため医薬品副作用被害救済制度の対象外となる場合があります
- 自費診療(保険適用外)となります
当サイトの内容、テキスト、画像等の無断転載、複製、複写、盗用を固く禁じます。




























