症例・治療例紹介
Cases
最新の症例
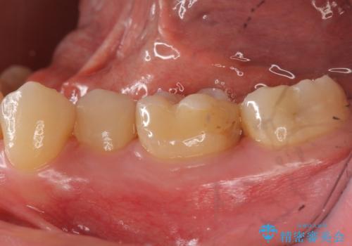
銀の詰め物をオールセラミックで白くしたい
担当医 岡田康成


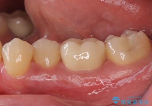
奥歯の詰め物の変色 セラミッククラウンでのやり替え
担当医 岡田康成


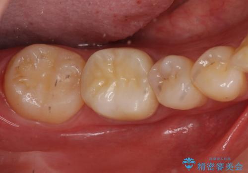
銀歯を白くしたい セラミッククラウンでのやり替え
担当医 岡田康成


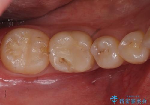
欠けた詰め物 セラミッククラウンでの修復
担当医 岡田康成


上唇小帯の切除
担当医 岡田康成


年々下がる歯茎を何とかしたい 歯肉移植術による根面被覆
担当医 藤巻太一朗


目立つ八重歯を治したい インビザラインによる矯正治療


前歯の反対咬合 急速拡大装置とワイヤー装置であっという間の矯正治療


抜歯と言われた奥歯を残したい 奥歯を保存するセラミック治療


ロードバイク運転中に転倒 欠けてしまった前歯のオールセラミック治療


上下前歯の前歯と腫れやすい歯肉 インビザライン矯正で改善


ディープバイトとデコボコを解消 インビザライン矯正


閉じにくい口元と八重歯 ワイヤー装置での抜歯矯正


隙間の空いた前歯を閉じたい インビザライン矯正




