症例詳細
Case detail
目立つ八重歯を治したい インビザラインによる矯正治療
治療症例の内容
- 担当医
- 藤巻太一朗(ドクタープロフィール)
- 患者様
- 10代女性(高校生)
- 矯正装置
- インビザライン・クリアブラケット
- 治療期間
- 3年
- 治療回数
- 10-30回
- 治療計画
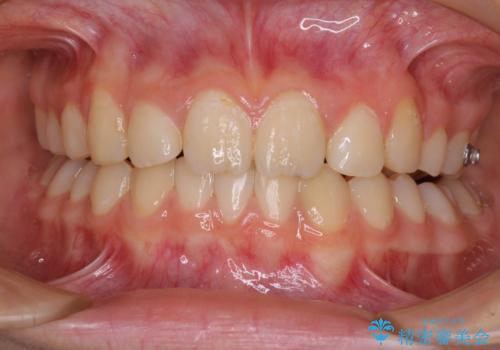
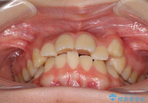
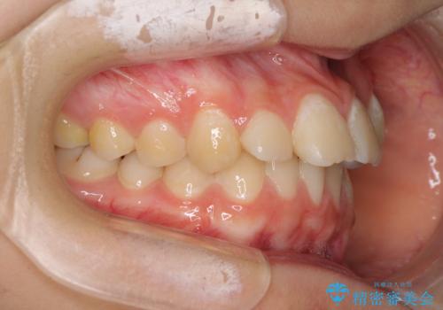
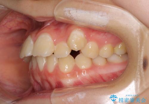
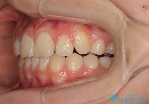
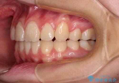
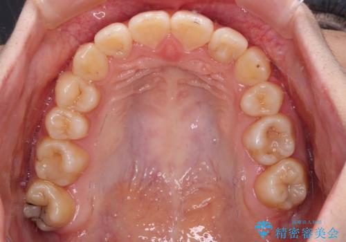
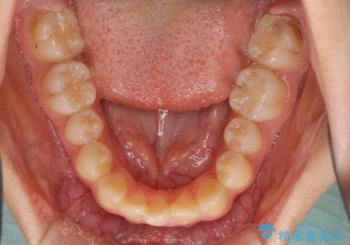
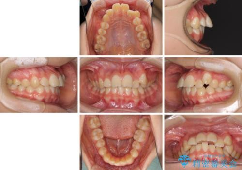
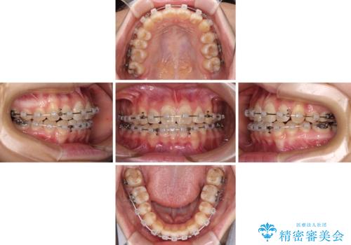
- 目立つ八重歯を改善したいとのことで来院された患者様です。
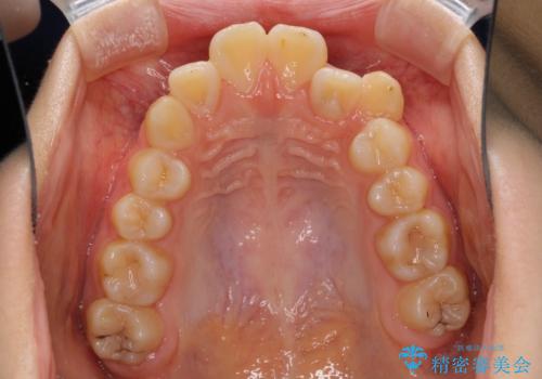
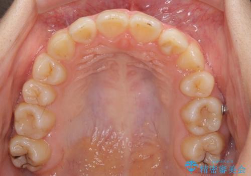
奥歯の咬み合わせは左右とも理想的なものでしたが、下顎前歯が1本欠損しているため、上下のバランスを保つことが難しい歯列でした。
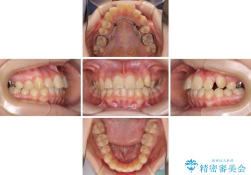
唇を閉じたときに上顎前歯が下顎の唇に乗っかる印象があったため、八重歯の後方にある小臼歯を1本抜歯することとしました。
変則的な抜歯となるため、臼歯の咬合が理想的でなくなることが懸念されますが、インビザラインにて矯正治療を行うこととしました。
- 費用(概算)
- 治療費の目安: 135万円(税込) (当初予定では90万円)費用は治療当時の料金となります
治療について
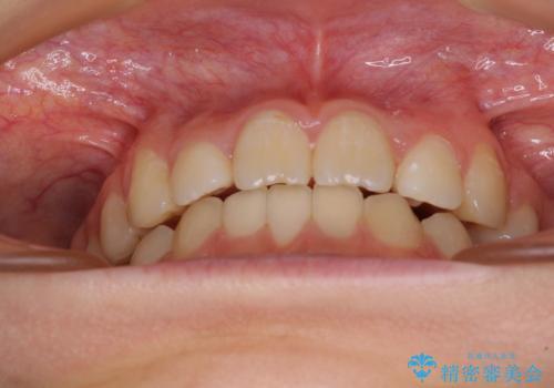
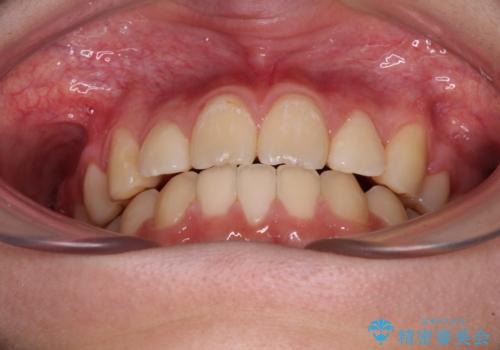
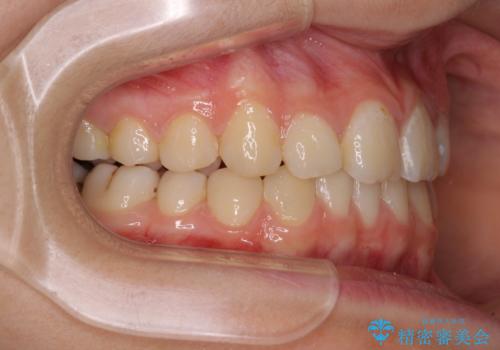
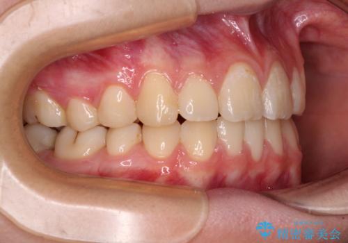
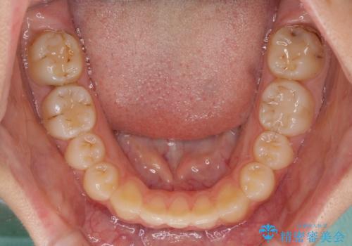
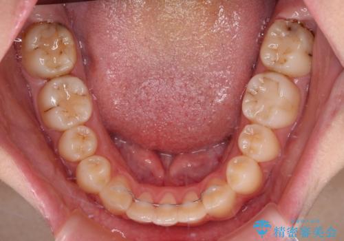
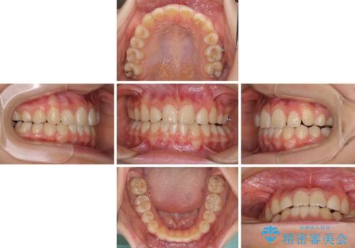
まずは補助装置を用いて八重歯を改善し、インビザラインにて歯列を整えましたが、当初の懸念が的中し、臼歯部の咬合を安定させることができませんでした。
海外留学の予定もあったため、後半は上下ワイヤー装置にて矯正治療を継続し、違和感なく咬合させることとなりました。
マウスピース矯正の注意事項(リスク・副作用など)
- 口腔内・歯並びの状態によっては対応できない場合があります
- マウスピース型矯正装置の長時間装着(1日20時間以上)が必須です
- 治療計画通りに進めるためには、患者様の意志が重要になります
- 矯正治療後の保定が不十分だと後戻り(元の位置に戻ろうとする動き)をします
- 薬機法対象外の矯正歯科装置のため医薬品副作用被害救済制度の対象外となる場合があります
- 自費診療(保険適用外)となります
ワイヤー矯正の注意事項(リスク・副作用など)
- 治療中は違和感や痛みが起こることがあります
- 症状により、抜歯が必要な場合があります
- 治療中は歯磨きがしにくくなるため、虫歯や歯周病になりやすくなります
- 矯正治療後の保定が不十分だと後戻り(元の位置に戻ろうとする動き)をします
- 自費診療(保険適用外)となります
当サイトの内容、テキスト、画像等の無断転載、複製、複写、盗用を固く禁じます。





























