症例詳細
Case detail
隙間の空いた前歯を閉じたい インビザライン矯正
治療症例の内容
- 担当医
- 藤巻太一朗(ドクタープロフィール)
- 患者様
- 30代女性
- 矯正装置
- インビザライン
- 治療期間
- 4年10ヶ月
- 治療回数
- 10-30回
- 治療計画
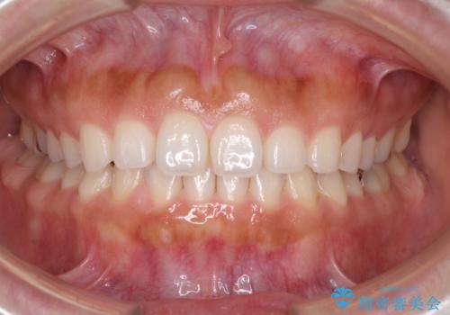
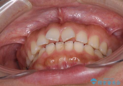
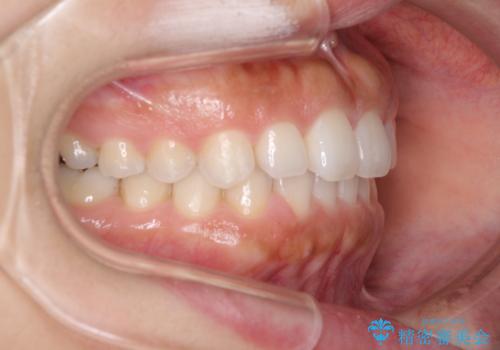
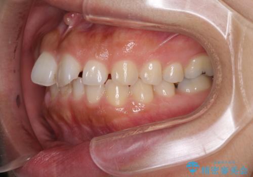
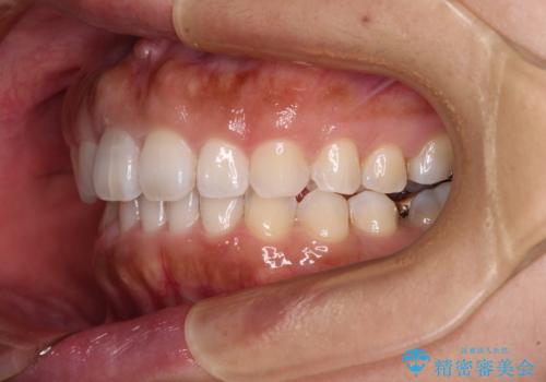
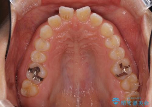
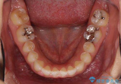
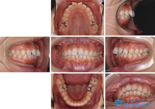
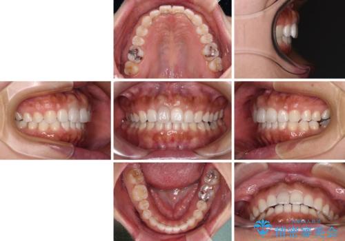
- 前歯の隙間を気にして来院された患者様です。
隙間、捻転ともに軽微でありましたが、下顎前歯の突き上げにより隙間ができていたため、インビザラインを用いて咬み合わせを改善しながら前歯の歯列を整えていくこととしました。
- 費用(概算)
- 治療費の目安: 85万円(税込)費用は治療当時の料金となります
治療について
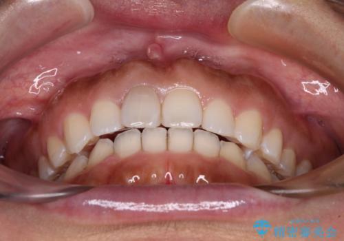
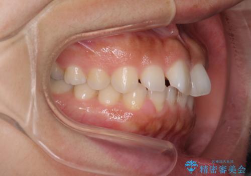
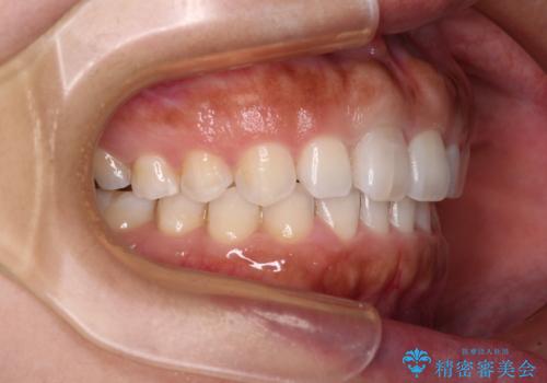
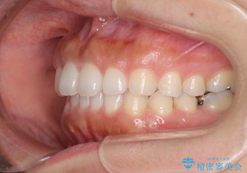
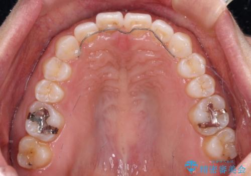
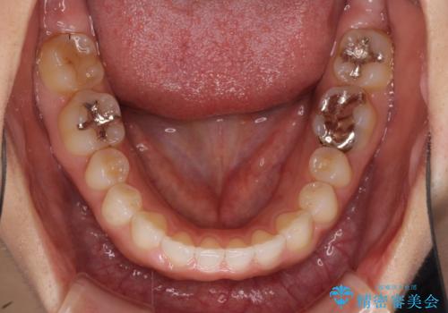
当初は1年程度で終えられると思いましたが、治療途中から装着時間が短くなったり、来院間隔が長期になったりとし、結果として4年半以上の治療期間となりました。
治療途中に上顎前歯は失活してしまいましたが、変色が顕著ではないため、経過を見ていくこととなりました。
マウスピース矯正の注意事項(リスク・副作用など)
- 口腔内・歯並びの状態によっては対応できない場合があります
- マウスピース型矯正装置の長時間装着(1日20時間以上)が必須です
- 治療計画通りに進めるためには、患者様の意志が重要になります
- 矯正治療後の保定が不十分だと後戻り(元の位置に戻ろうとする動き)をします
- 薬機法対象外の矯正歯科装置のため医薬品副作用被害救済制度の対象外となる場合があります
- 自費診療(保険適用外)となります
当サイトの内容、テキスト、画像等の無断転載、複製、複写、盗用を固く禁じます。


























