症例詳細
Case detail
欠けた詰め物 セラミッククラウンでの修復
治療症例の内容
- 診療科目
- 治療カテゴリ
- 担当医
- 岡田康成(ドクタープロフィール)
- 患者様
- 20代女性
- 治療期間
- 1ヶ月
- 治療回数
- 2-5回
- 治療計画
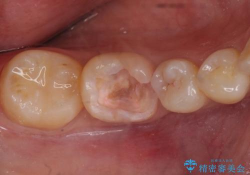
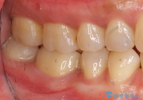
- 右下の奥歯が欠けたとのことで来院されました。
診てみると奥歯の詰め物が欠けていることが分かりました。
噛みしめが強く、元の詰め物の大きさが大きかったため今回は被せ物での治療をすることとなりました。
- 費用(概算)
- 右下6 仮歯+セラミッククラウン 11000円+110000円 費用は治療当時の料金となります
治療について
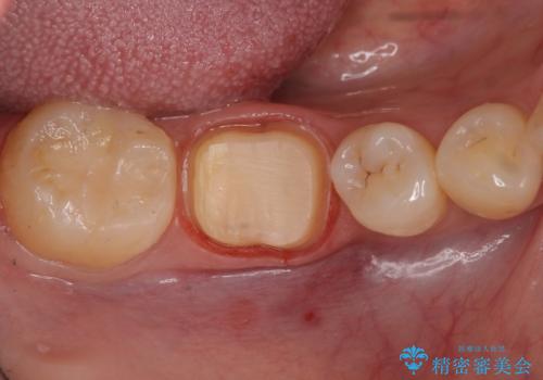
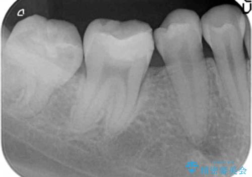
欠けた詰め物をすべて取り除くと深いところに取り残された虫歯を発見しました。
虫歯の除去後は残った歯の厚みが薄くなっていたため、今後の破折リスクを考慮してクラウンでの修復処置となりました。
虫歯が深く歯の神経の炎症が予想される箇所には鎮静作用のあるセメントを敷き、経過をみた後に被せ物をセットしました。
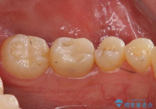
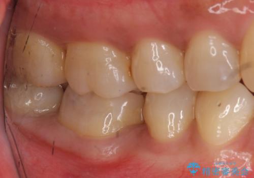
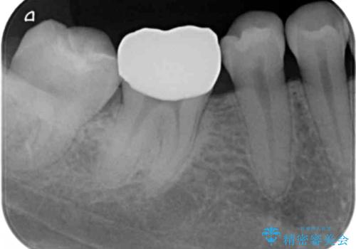
写真・レントゲン画像からもわかる通り、適合の良いクラウンを入れることができました。
セラミック治療の注意事項(リスク・副作用など)
- 天然歯を削ります
- 硬い素材は天然歯を傷つけてしまう場合があります
- かみ合わせや歯ぎしりが強すぎる方はセラミックが割れてしまう可能性があります
- 自費診療(保険適用外治療)となります
当サイトの内容、テキスト、画像等の無断転載、複製、複写、盗用を固く禁じます。













