症例・治療例紹介
Cases
最新の症例
インビザライン単独での抜歯矯正治療


ナイトガードによる歯の予防


欠損と虫歯だらけの口の中 真っ白なセラミック治療


装着感の良い入れ歯を作りたい 金属床を使用した適合の良い部分床義歯


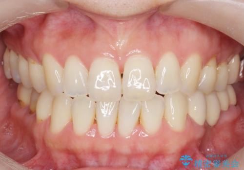
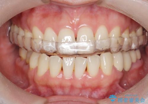
【モニター】前歯のデコボコを治したい インビザライン矯正治療
担当医 藤巻太一朗


前歯の後戻り インビザラインでの再矯正治療


つぎはぎだらけの前歯 オールセラミッククラウンで自然な歯に


デコボコと膨らんだ口元 ハーフリンガルによる抜歯矯正とインプラント補綴治療


重度叢生と埋もれた奥歯 8本を抜歯したワイヤー矯正


捻れて飛び出した前歯 インビザラインで整った前歯に
担当医 藤巻太一朗


【モニター】前歯のデコボコを治したい インビザラインを用いた矯正治療
担当医 藤巻太一朗


【モニター】口が閉じにくい 膨らんだ口元を抜歯矯正ですっきりと








