症例詳細
Case detail
虫歯治療
治療症例の内容
- 診療科目
- 治療カテゴリ
- 担当医
- 青山卓弘(ドクタープロフィール)
- 患者様
- 20代男性
- 治療期間
- 1ヶ月
- 治療回数
- 2-5回
- 治療計画
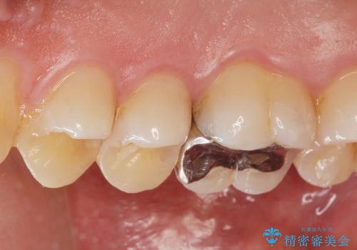
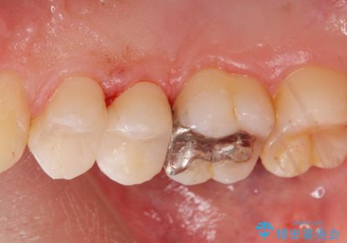
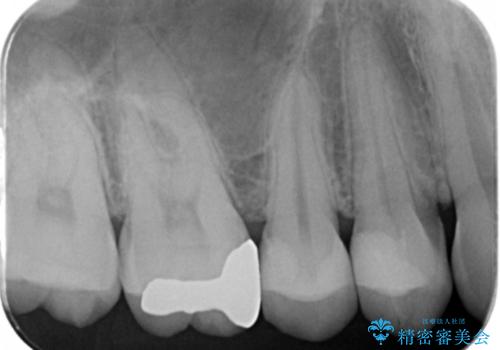
- 定期検診でレントゲンを撮影したところ虫歯があったので拡大鏡下で虫歯を取り除き、白い詰め物にて治療しました。
- 費用(概算)
- e-maxインレー 7.7万円 ×2本費用は治療当時の料金となります
治療について
無事歯の神経を取らずに白い詰め物で治療する事ができました。
歯がズキズキ痛くなるという現象は歯の神経にまで虫歯が進行し歯髄炎になっている可能性が高く、神経を取らなければならなくなってしまいます。
歯が痛くなる前に定期的に歯科医院で検診を受けることをお勧めします。
その他の注意事項(リスク・副作用など)
- 担当歯科医師、歯科衛生士又は医院スタッフから受けた説明・注意事項をよくご確認ください
- 医療を提供するに当たり、適切な説明を行い、患者様の十分な理解を得るよう努めております
セラミック治療の注意事項(リスク・副作用など)
- 天然歯を削ります
- 硬い素材は天然歯を傷つけてしまう場合があります
- かみ合わせや歯ぎしりが強すぎる方はセラミックが割れてしまう可能性があります
- 自費診療(保険適用外治療)となります
当サイトの内容、テキスト、画像等の無断転載、複製、複写、盗用を固く禁じます。






