症例・治療例紹介
Cases
最新の症例
驚くほどの変化! マウスピース矯正で前歯のすきっ歯を効果的に改善しました


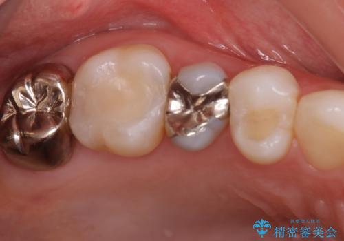
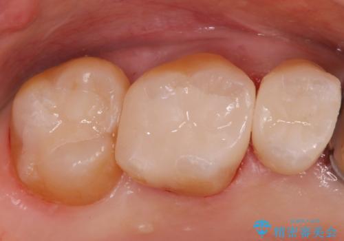
[ 歯肉縁下齲蝕 ] 歯周外科を行った虫歯治療
![[ 歯肉縁下齲蝕 ] 歯周外科を行った虫歯治療の症例 治療前](https://seimitsushinbi.jp/wp/wp-content/uploads/2023/05/a64b0434e936f69092c4868d7fec9b97-500x350.jpg?v=1684994566)
![[ 歯肉縁下齲蝕 ] 歯周外科を行った虫歯治療の症例 治療後](https://seimitsushinbi.jp/wp/wp-content/uploads/2023/05/fa1958073cf4724216bea0bd1890c46a-500x350.jpg?v=1684994581)
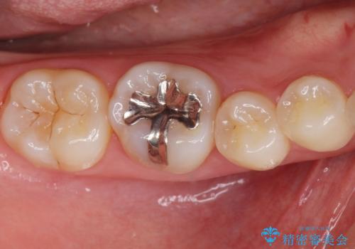
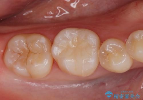
黒くなった奥歯をジルコニアクラウンに
担当医 青山卓弘


虫歯治療ついでに歯並びの後戻りを改善 インビザラインによる矯正治療


前歯でものを噛みきりたい 目立たない装置でのワイヤー矯正


インビザラインは使える自信がない ワイヤー装置にて矯正治療
担当医 藤巻太一朗


治療をしても違和感の続く奥歯 神経を極力残した虫歯治療


ナイトガードで歯の負担の予防


目立つ銀歯をセラミックに変えたい セラミックインレー
担当医 菊地俊介


空いている時間を利用して通院 奥歯のインプラント治療


デコボコと深い咬み合わせ ワイヤー装置での抜歯矯正
担当医 藤巻太一朗


海外赴任前に治したい 割れてしまった奥歯のオールセラミッククラウン








