症例・治療例紹介
Cases
最新の症例
奥歯の高さがない 20代で入れ歯もインプラントも難しい ブリッジで歯を残す治療


舌が動かしにくいから舌小帯を切りたい
担当医 青山卓弘


前歯の変色 神経のない歯の再治療


歯の破折 食べる喜びが蘇るインプラント治療


奥歯の高さがない 歯周外科で解決


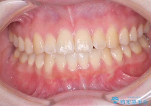
インビザライン矯正 前歯のガタツキが治り、綺麗なスマイルに!


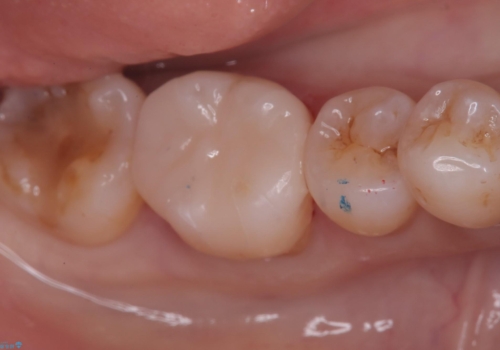
全体的な虫歯治療 他院で入れたインプラントの続きも


前歯のかぶせもののやり直し、根の治療も


ワイヤー矯正 抜歯本数を最小限にし、八重歯のない歯並びに


インビザライン矯正 前歯のすきっ歯を治したい


インビザライン矯正で前歯のデコボコを改善
担当医 藤巻太一朗


銀歯の周りから進行したむし歯 欠けてしまった歯をオールセラミッククラウンに








