症例・治療例紹介
Cases
Dr. 河野豊嘉の症例写真
2ページ目 / 6
前歯の見た目が気になる!|矮小歯をオールセラミッククラウンで綺麗な形に!|審美回復
担当医 河野豊嘉


前歯の根のところに違和感がある|根尖性歯周炎|精密根管治療|オールセラミッククラウン|見た目も改善


歯のデコボコを治したい|インビザラインで綺麗な歯並びに!|矯正期間は6ヵ月!
担当医 河野豊嘉


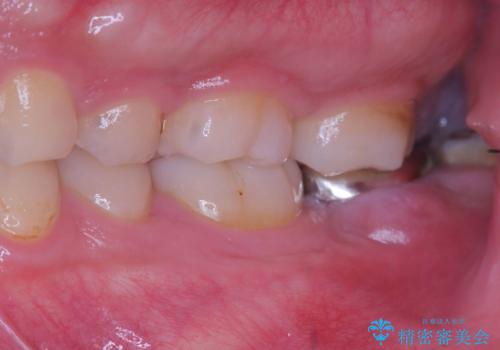
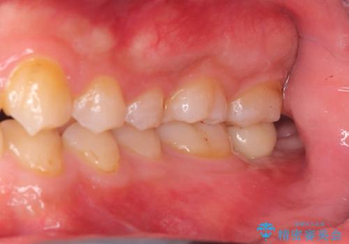
20年前にいれたインプラント|インプラント周囲炎|古いインプラントを除去しインプラント再埋入|痛く無いインプラント治療


前歯の色が気になる!|オールセラミッククラウン
担当医 河野豊嘉


痛く無いインプラント治療!|残根状態の治療


神経を残す治療|VPT|生活歯髄療法|オールセラミッククラウン|神経を残しながらクロスバイトの改善!


痛くないインプラント治療|1回の手術で終了!|エンドペリオ病変|オールセラミッククラウン


低侵襲なインプラント|痛くないインプラント|エンドペリオ病変|虫歯治療|セラッミクインレー


銀歯を白くしたい|オールセラミッククラウン
担当医 河野豊嘉


セラッミクインレー|オールセラミッククラウン|銀歯による二次カリエス|ラバーダムシート使用


銀歯の下の虫歯|オールセラミッククラウン|歯を長持ちさせるための治療|歯の神経を守る
担当医 河野豊嘉


CRの劣化による虫歯|虫歯治療|セラミッククラウン|審美回復|神経を残す治療
担当医 河野豊嘉


虫歯治療|歯を長持ちさせるための治療|セラミッククラウン|審美回復|精密根管治療




