症例詳細
Case detail
神経を残す治療|VPT|生活歯髄療法|オールセラミッククラウン|神経を残しながらクロスバイトの改善!
治療症例の内容
- 診療科目
- 治療カテゴリ
- 担当医
- 河野豊嘉(ドクタープロフィール)
- 患者様
- 30代女性
- 治療期間
- 1ヶ月
- 治療回数
- 2-5回
- 治療計画
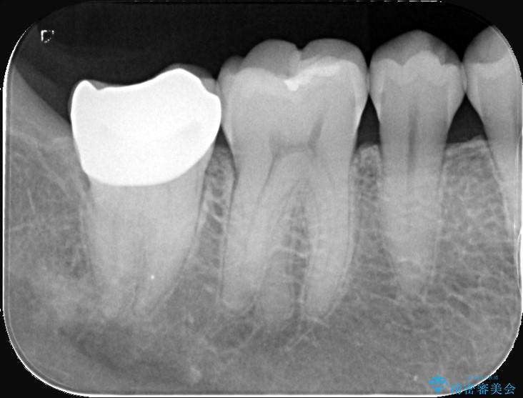
- 頬側に大きな虫歯があり、神経に達している可能性が高かったため、虫歯除去時に神経が出た場合はVPTを提案しました。
- 費用(概算)
- 税込176,000円(オールセラミッククラウン121,000円+仮歯11,000円+VPT44,000円)費用は治療当時の料金となります
治療について
虫歯が神経まで達していましたが、術前の検査でVPTの適応と診断をしていたので、ラバーダムシートを装着しVPTを行いました。
経過も良好で、痛みも無く神経を残すことが出来ました。
セラミック治療の注意事項(リスク・副作用など)
- 天然歯を削ります
- 硬い素材は天然歯を傷つけてしまう場合があります
- かみ合わせや歯ぎしりが強すぎる方はセラミックが割れてしまう可能性があります
- 自費診療(保険適用外治療)となります
根管治療の注意事項(リスク・副作用など)
- 根管治療により類似の全ての症例の問題が解決するわけではなく、症例はあくまでも一例です
- 根管治療により痛みや腫れがひかない事や、術後に痛みや腫れが生じる事、治療によるファイル破折やパーフォレーションなどの偶発症、術後の歯根破折を生じる可能性もあります
- 自費診療(保険適用外)となります
当サイトの内容、テキスト、画像等の無断転載、複製、複写、盗用を固く禁じます。









