症例・治療例紹介
Cases
Dr. 大元洋佑の症例写真
8ページ目 / 67
前歯のフチが黒いのが気になる 前歯のセラミック治療
担当医 大元洋佑


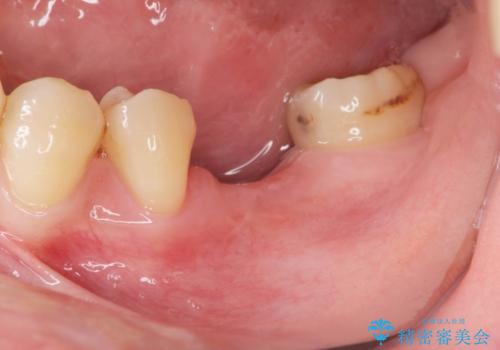
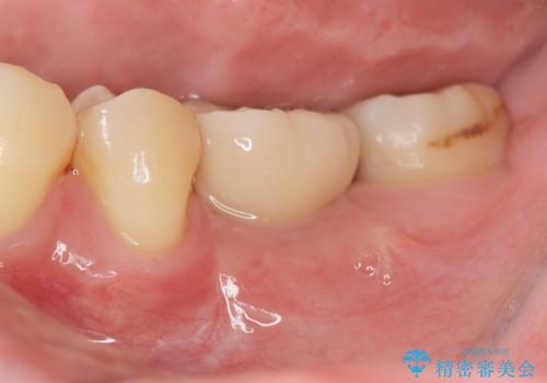
歯槽堤保存を併用し清掃性を高めたブリッジ治療
担当医 大元洋佑


破折歯のインプラント治療、奥歯の根管・セラミック治療


[ セラミック治療 ] 前歯の変色をきれいにしたい
担当医 大元洋佑
![[ セラミック治療 ] 前歯の変色をきれいにしたいの症例 治療前](https://seimitsushinbi.jp/wp/wp-content/uploads/2025/01/a82a45fb000c728cce512ad8e1d703e1-500x350.jpg?v=1736476816)
![[ セラミック治療 ] 前歯の変色をきれいにしたいの症例 治療後](https://seimitsushinbi.jp/wp/wp-content/uploads/2025/01/f987dd8fccdf9db8ef0f42aa8e98e712-500x350.jpg?v=1736476871)
「サ行」が発音しづらい 舌小帯形成術で改善
担当医 大元洋佑


複数箇所コンポジット充填された前歯をセラミック治療
担当医 大元洋佑


治療途中の歯 セラミック治療を希望され来院


サクソフォン(アルト)の演奏で崩れてしまった歯並び、マウスピース矯正治療


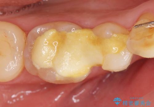
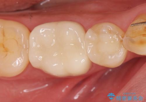
[ 歯ぐきから出血をする ] 歯周外科を伴うセラミックやりかえ治療
![[ 歯ぐきから出血をする ] 歯周外科を伴うセラミックやりかえ治療の症例 治療前](https://seimitsushinbi.jp/wp/wp-content/uploads/2024/12/dad9bd6fd8fdc9454170eb3e86a080a9-500x350.jpg?v=1733474741)
![[ 歯ぐきから出血をする ] 歯周外科を伴うセラミックやりかえ治療の症例 治療後](https://seimitsushinbi.jp/wp/wp-content/uploads/2024/12/39b2ace77ddc630ec8fbb92d0a9c107d-500x350.jpg?v=1733474802)
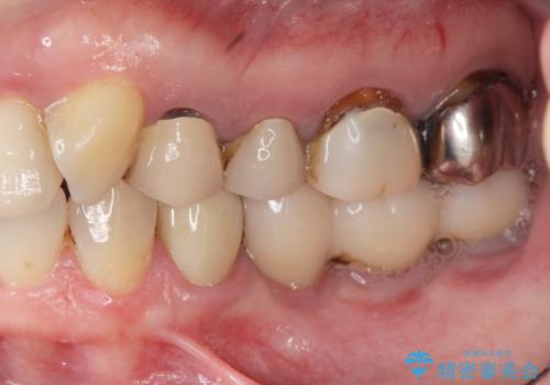
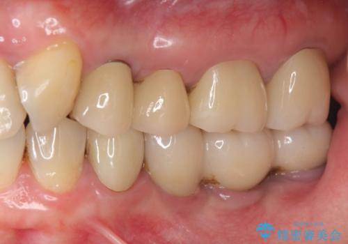
目立つゴールドをセラミックで白くしたい
担当医 大元洋佑


ディープバイトのマウスピース矯正
担当医 大元洋佑










