症例・治療例紹介
Cases
その他 → 虫歯治療
2ページ目 / 6
根管治療・歯周外科を行い歯を残した、複合的虫歯治療


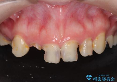
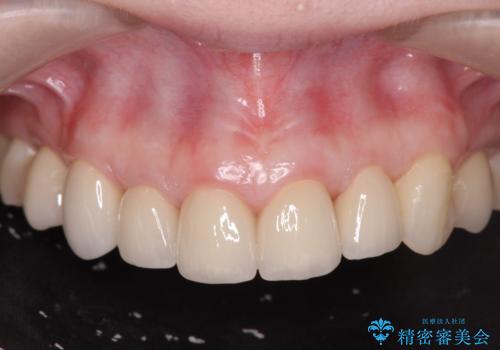
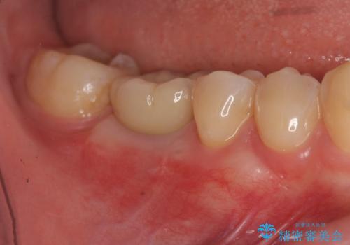
[ 歯肉縁下カリエス ] 歯周外科を行い、歯を残す
![[ 歯肉縁下カリエス ] 歯周外科を行い、歯を残すの症例 治療前](https://seimitsushinbi.jp/wp/wp-content/uploads/2023/01/9c47fe75d13e5b920ea2ccdb0dc8ed3b-500x350.jpg?v=1673602326)
![[ 歯肉縁下カリエス ] 歯周外科を行い、歯を残すの症例 治療後](https://seimitsushinbi.jp/wp/wp-content/uploads/2023/01/fc11ac5ecfd3722f9c91e063fe42c4f3-500x350.jpg?v=1673602360)
多発した前歯の重度虫歯治療


保険治療では抜歯適応になる歯 抜歯せずに保存(エクストリュージョン)


[ 深い虫歯・根管治療・セラミッククラウン ]複合した問題を持った虫歯治療
![[ 深い虫歯・根管治療・セラミッククラウン ]複合した問題を持った虫歯治療の症例 治療前](https://seimitsushinbi.jp/wp/wp-content/uploads/2022/09/b464b4c5c3053a5fc84212fb664a039f-500x350.jpg?v=1663667230)
![[ 深い虫歯・根管治療・セラミッククラウン ]複合した問題を持った虫歯治療の症例 治療後](https://seimitsushinbi.jp/wp/wp-content/uploads/2022/09/bd017e5dbd742f9bb33f09d39c8f1b52-500x350.jpg?v=1663667487)
【MTAを用いた生活歯髄療法】神経に到達する深い虫歯


全体的な虫歯治療


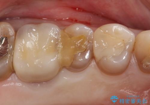
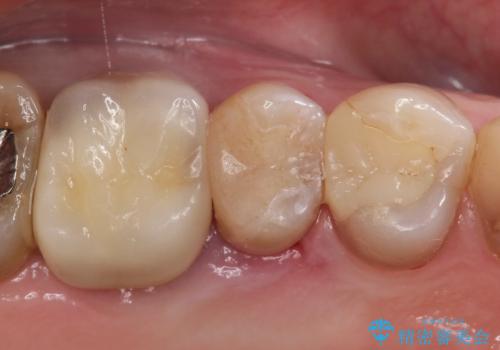
[ 歯周外科 ] 縁下マージン・縁下カリエスの治療
![[ 歯周外科 ] 縁下マージン・縁下カリエスの治療の症例 治療前](https://seimitsushinbi.jp/wp/wp-content/uploads/2022/04/b464b4c5c3053a5fc84212fb664a039f-500x350.jpg?v=1648866777)
![[ 歯周外科 ] 縁下マージン・縁下カリエスの治療の症例 治療後](https://seimitsushinbi.jp/wp/wp-content/uploads/2022/04/bd017e5dbd742f9bb33f09d39c8f1b52-500x350.jpg?v=1648866850)
以前治療した歯が続々とむし歯に 全顎むし歯治療


[ セラミック・インプラント全顎治療 ] 長年悩まされている歯の治療にケリをつけたい
![[ セラミック・インプラント全顎治療 ] 長年悩まされている歯の治療にケリをつけたいの症例 治療前](https://seimitsushinbi.jp/wp/wp-content/uploads/2022/01/699ba08b6e311b07f9d2ea9a5b757aea-500x350.jpg?v=1642042101)
![[ セラミック・インプラント全顎治療 ] 長年悩まされている歯の治療にケリをつけたいの症例 治療後](https://seimitsushinbi.jp/wp/wp-content/uploads/2022/01/f4f9ee9ff7018c558de74748d97a4667-500x350.jpg?v=1642042445)
放置された虫歯 小矯正+歯周外科による保存処置


インプラント治療・セラミック治療を含む 全顎的虫歯治療
担当医 大元洋佑


大人になってからの乳歯脱落 セラミックブリッジによる補綴
担当医 大元洋佑






