症例・治療例紹介
Cases
矯正歯科治療 → インビザライン
8ページ目 / 76
【インビザライン】上前歯1本飛び出ているのを治したい


【インビザライン】短期間で出っ歯を治したい


【インビザライン】前歯をきれいな歯並びにしたい


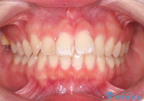
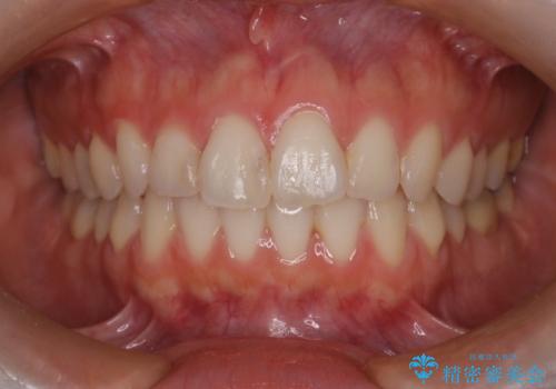
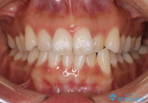
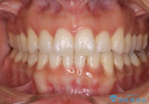
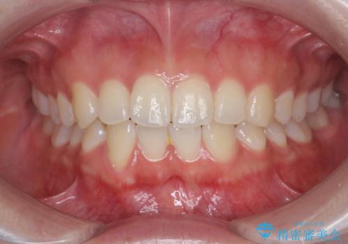
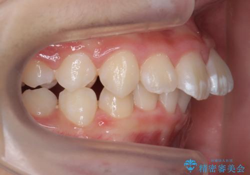
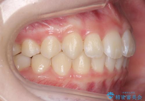
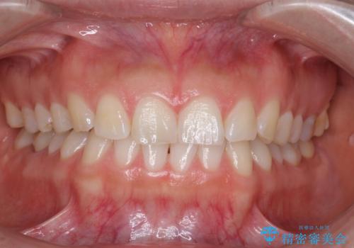
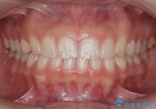
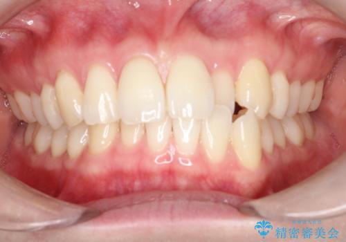
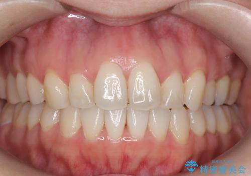
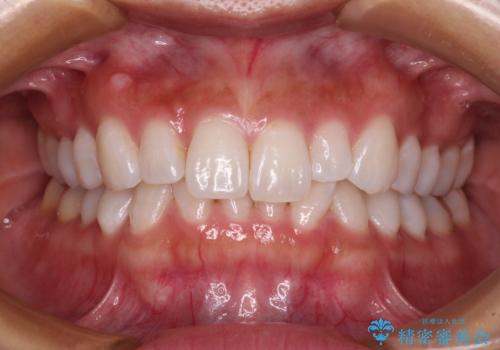
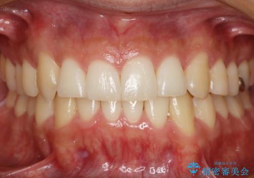
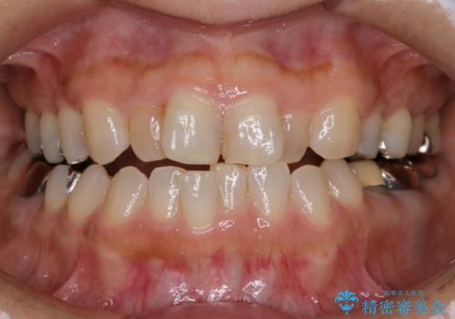
[ 正中過剰埋伏歯 ] 正中離開・過蓋咬合のマウスピース矯正
担当医 大元洋佑
![[ 正中過剰埋伏歯 ] 正中離開・過蓋咬合のマウスピース矯正の症例 治療前](https://seimitsushinbi.jp/wp/wp-content/uploads/2024/11/C1-1-500x350.jpg?v=1731900434)
![[ 正中過剰埋伏歯 ] 正中離開・過蓋咬合のマウスピース矯正の症例 治療後](https://seimitsushinbi.jp/wp/wp-content/uploads/2024/11/IMG_9978-500x350.jpg?v=1731900241)
前歯を綺麗にしたい。


先天性の2歯欠損 個性を活かしたマウスピース矯正
担当医 大元洋佑


子供の出っ歯 生え代わりと成長期を利用して非抜歯で矯正


下の前歯のちょっとしたがたつきを治したい
担当医 井上季実子


反対咬合解消!インビザラインによる治療法
担当医 河口智英


インビザラインによる前歯のガタガタ改善治療


【モニター】前歯のデコボコと小さい前歯 インビザライン矯正とオールセラミッククラウン補綴治療


マウスピース矯正の注意事項(リスク・副作用など)
- 口腔内・歯並びの状態によっては対応できない場合があります
- マウスピース型矯正装置の長時間装着が必須です
- 治療計画通りに進めるためには、患者様の意志が重要になります
- 矯正治療後の保定が不十分だと後戻り(元の位置に戻ろうとする動き)をします
- 自費診療(保険適用外)となります








