症例・治療例紹介
Cases
矯正歯科治療 → 審美装置
8ページ目 / 39
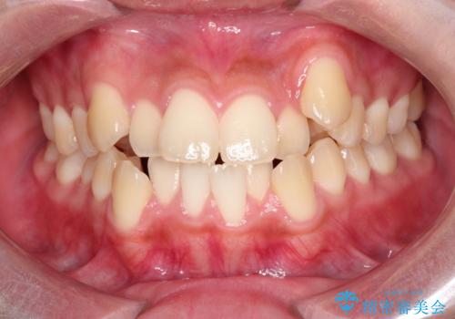
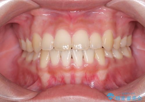
閉じにくい口元をワイヤー抜歯矯正でスッキリ改善
担当医 藤巻太一朗


骨格的な問題を側方拡大で解決 ワイヤー矯正治療


飛び出した上顎前歯と上下のデコボコ 片顎の抜歯によるワイヤー矯正
担当医 藤巻太一朗


デコボコと出っ歯 抜歯矯正でスッキリとした口元に


【ワイヤー矯正!】歯のでこぼこと捻じれを治したい!


閉じにくい口元をワイヤー抜歯矯正でスッキリした口元に


【モニター】口が閉じにくい 抜歯矯正でスッキリした口元に


凸凹を綺麗にしたい。表側ワイヤー矯正
担当医 河口智英


欠損した歯と前に飛び出した前歯 インプラント治療を併用したワイヤー矯正治療


骨格性の受け口の矯正 部分ワイヤーで上の前歯を前に、 マウスピースで下の前歯を後ろに。


【抜歯矯正】クリア装置で1年半
担当医 河口智英


突出した前歯を引っ込める ワイヤー装置での抜歯矯正
担当医 藤巻太一朗


犬歯が歯ぐきにうまっている 真ん中のずれ、出っ歯を治したい


ワイヤー矯正歯科治療の注意事項(リスク・副作用など)
- 治療中は違和感や痛みが起こることがあります
- 症状により、抜歯が必要な場合があります
- 治療中は歯磨きがしにくくなるため、虫歯や歯周病になりやすくなります
- 矯正治療後の保定が不十分だと後戻り(元の位置に戻ろうとする動き)をします
- 自費診療(保険適用外)となります




