症例・治療例紹介
Cases
矯正歯科治療 → 交叉咬合(クロスバイト)
6ページ目 / 19
受け口傾向のマウスピース矯正 (ワイヤー治療を併用して)


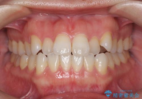
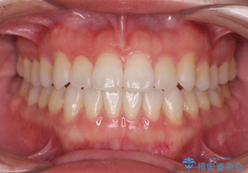
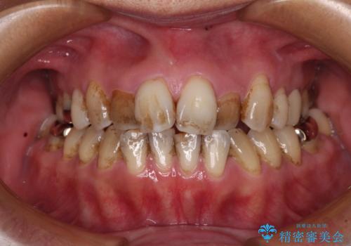
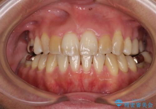
[ インビザライン ] 前歯のガタつきをマウスピース矯正で改善
![[ インビザライン ] 前歯のガタつきをマウスピース矯正で改善の症例 治療前](https://seimitsushinbi.jp/wp/wp-content/uploads/2023/06/C14-500x350.jpg?v=1686815742)
![[ インビザライン ] 前歯のガタつきをマウスピース矯正で改善の症例 治療後](https://seimitsushinbi.jp/wp/wp-content/uploads/2023/06/8f8a8c7e4fc215c9167147f340f29eaf-500x350.jpg?v=1686815671)
【モニター】前歯のデコボコをインビザラインで改善


【モニター】カリエール・ディスタライザーを併用した八重歯のインビザライン矯正


割れてしまった奥歯とデコボコの前歯 矯正治療とインプラント治療


出っ歯と咬み合わせを改善 ワイヤー装置の抜歯矯正


左右の八重歯が気になる ワイヤー装置での咬み合わせ改善


後戻りでデコボコの前歯 インビザライン矯正治療


デコボコと口元の突出感 ハーフリンガルでの抜歯矯正


前歯のクロスバイト 目立たないワイヤー装置で矯正治療


全顎的なクロスバイト 補助装置を用いてワイヤー矯正


[ マウスピース矯正 ] 長期海外出張中に矯正治療を行いたい
![[ マウスピース矯正 ] 長期海外出張中に矯正治療を行いたいの症例 治療前](https://seimitsushinbi.jp/wp/wp-content/uploads/2023/04/IMG_9839-1-500x350.jpg?v=1682416148)
![[ マウスピース矯正 ] 長期海外出張中に矯正治療を行いたいの症例 治療後](https://seimitsushinbi.jp/wp/wp-content/uploads/2023/04/IMG_0020-500x350.jpg?v=1682416167)
八重歯 歯並びのがたつき


前歯の後戻り インビザラインでの再矯正治療


かみ合わせが悪いところを ワイヤー矯正でしっかり治療 マウスピース矯正は難しい症例


ワイヤー矯正歯科治療の注意事項(リスク・副作用など)
- 治療中は違和感や痛みが起こることがあります
- 症状により、抜歯が必要な場合があります
- 治療中は歯磨きがしにくくなるため、虫歯や歯周病になりやすくなります
- 矯正治療後の保定が不十分だと後戻り(元の位置に戻ろうとする動き)をします
- 自費診療(保険適用外)となります
マウスピース矯正の注意事項(リスク・副作用など)
- 口腔内・歯並びの状態によっては対応できない場合があります
- マウスピース型矯正装置の長時間装着が必須です
- 治療計画通りに進めるためには、患者様の意志が重要になります
- 矯正治療後の保定が不十分だと後戻り(元の位置に戻ろうとする動き)をします
- 自費診療(保険適用外)となります
