症例詳細
Case detail
出っ歯と咬み合わせを改善 ワイヤー装置の抜歯矯正
治療症例の内容
- 患者様
- 30代女性
- 矯正装置
- 審美装置
- 治療期間
- 2年7ヶ月
- 治療回数
- 10-30回
- 治療計画
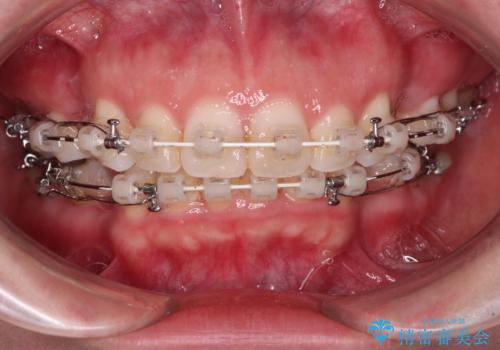
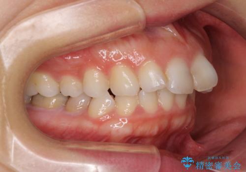
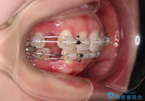
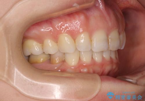
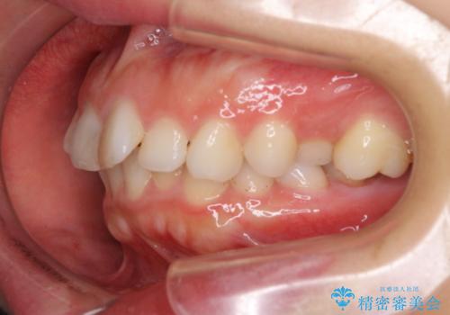
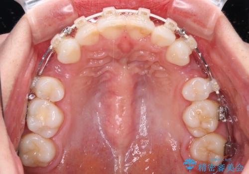
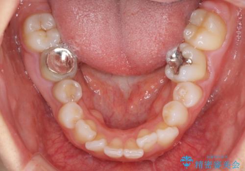
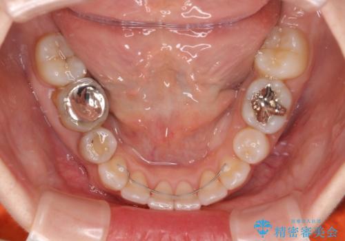
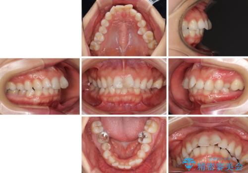
- 口元の閉じにくさと、奥歯の咬み合わせを気にして来院された患者様です。
左下の大臼歯2本が顕著に舌側に傾斜しているため、まずは奥歯の咬み合わせを改善をし、その後上下左右の第1小臼歯4本を抜歯することで口元を引っ込めながら整えることとしました。
- 費用(概算)
- 治療費の目安: 95万円(税込)費用は治療当時の料金となります
※顔写真掲載にあたり、患者様の了解を得ております
治療について
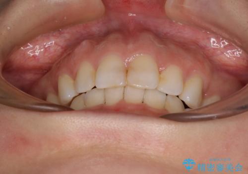
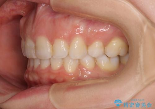
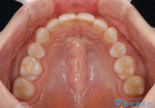
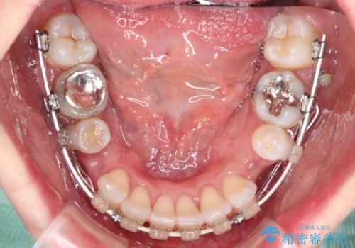
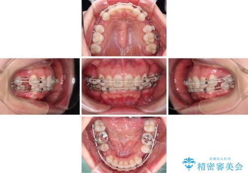
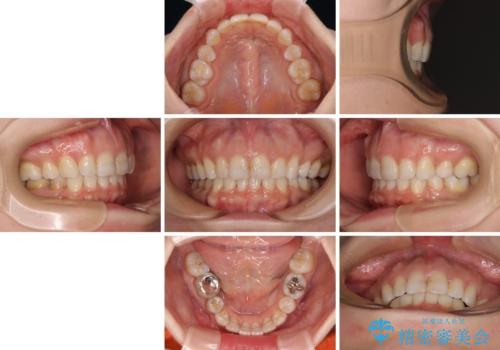
奥歯の咬み合わせ改善には1年ほどの期間と処置中の噛みにくさを強いることとなりましたが、抜歯後はスムーズに治療を完了させることができました。
歯ぎしりの際に奥歯が干渉していた咬み合わせも理想的な状態に改善できました。
ワイヤー矯正の注意事項(リスク・副作用など)
- 治療中は違和感や痛みが起こることがあります
- 症状により、抜歯が必要な場合があります
- 治療中は歯磨きがしにくくなるため、虫歯や歯周病になりやすくなります
- 矯正治療後の保定が不十分だと後戻り(元の位置に戻ろうとする動き)をします
- 自費診療(保険適用外)となります
当サイトの内容、テキスト、画像等の無断転載、複製、複写、盗用を固く禁じます。


























