症例・治療例紹介
Cases
矯正歯科治療 → 叢生(でこぼこ・八重歯)
3ページ目 / 91
ハーフリンガル矯正による前歯部の叢生改善と口元の後退|上顎左右4番・下顎1番抜歯症例


白い装置で八重歯を改善|抜歯矯正で見た目と噛み合わせ向上


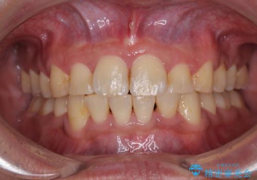
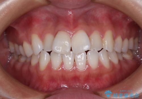
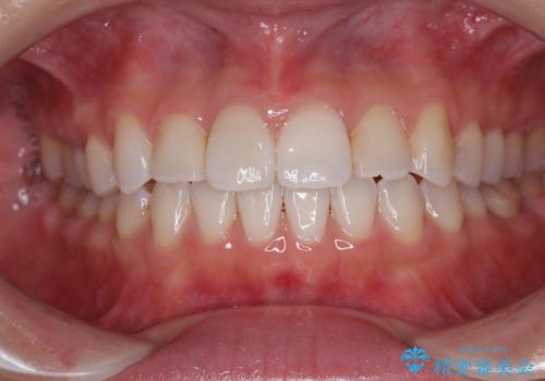
歯周病 、インプラント、 矯正 全顎治療
担当医 大元洋佑


【ワイヤー矯正】前歯の凸凹を治したい


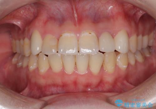
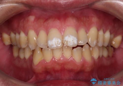
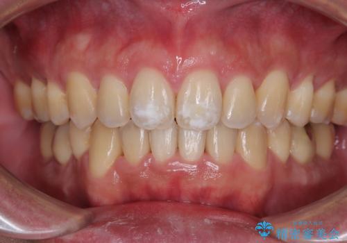
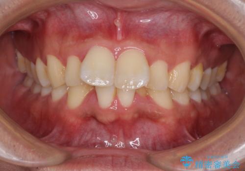
[ 60代から行う矯正治療 ] すれ違った前歯を矯正したい
担当医 大元洋佑
![[ 60代から行う矯正治療 ] すれ違った前歯を矯正したいの症例 治療前](https://seimitsushinbi.jp/wp/wp-content/uploads/2025/05/7d4b62117175bc39b278a3e94528a306-500x350.jpg?v=1747795175)
![[ 60代から行う矯正治療 ] すれ違った前歯を矯正したいの症例 治療後](https://seimitsushinbi.jp/wp/wp-content/uploads/2025/05/ff42471f523f4680b73be1f88aadfafc-500x350.jpg?v=1747795319)
【クリア装置】前歯の捻れが気になる


前歯のねじれをマウスピース矯正で治したい
担当医 大元洋佑


上下すれ違った前歯の矯正治療


[抜歯] ワイヤー装置で出っ歯の改善
![[抜歯] ワイヤー装置で出っ歯の改善の症例 治療前](https://seimitsushinbi.jp/wp/wp-content/uploads/2025/05/IMG_1672-500x350.jpg?v=1746632084)
![[抜歯] ワイヤー装置で出っ歯の改善の症例 治療後](https://seimitsushinbi.jp/wp/wp-content/uploads/2025/05/IMG_8070-500x350.jpg?v=1746632252)
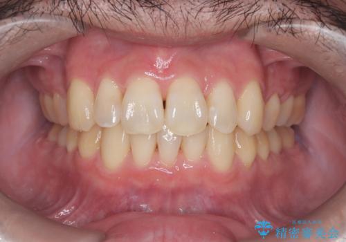
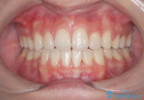
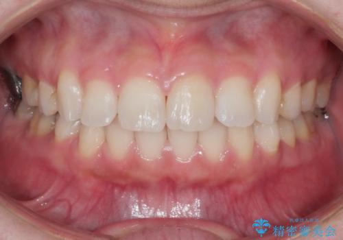
前歯のガタつきを改善 抜歯矯正後の後戻り
担当医 草深敏毅


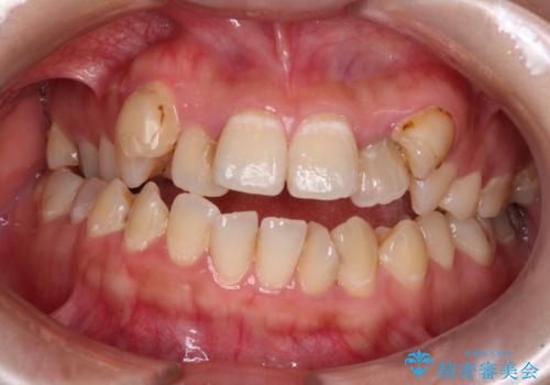
前歯のデコボコとむし歯治療の跡 インビザライン矯正とオールセラミッククラウン治療


むし歯と八重歯を治したい 総合歯科治療


口が閉じられない 抜歯矯正で前歯の突出感を改善


飛び出した前歯を治したい ワイヤー装置での抜歯矯正


捻れた前歯を楽して改善 ワイヤー装置での非抜歯矯正


ワイヤー矯正歯科治療の注意事項(リスク・副作用など)
- 治療中は違和感や痛みが起こることがあります
- 症状により、抜歯が必要な場合があります
- 治療中は歯磨きがしにくくなるため、虫歯や歯周病になりやすくなります
- 矯正治療後の保定が不十分だと後戻り(元の位置に戻ろうとする動き)をします
- 自費診療(保険適用外)となります
マウスピース矯正の注意事項(リスク・副作用など)
- 口腔内・歯並びの状態によっては対応できない場合があります
- マウスピース型矯正装置の長時間装着が必須です
- 治療計画通りに進めるためには、患者様の意志が重要になります
- 矯正治療後の保定が不十分だと後戻り(元の位置に戻ろうとする動き)をします
- 自費診療(保険適用外)となります
