症例・治療例紹介
Cases
矯正歯科治療 → 叢生(でこぼこ・八重歯)
22ページ目 / 91
深い咬み合わせで顎が疲れる ワイヤー矯正でディープバイトを解消
担当医 藤巻太一朗


【モニター】上下の八重歯を治したい ワイヤー装置による矯正治療


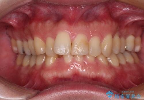
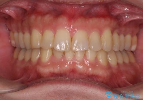
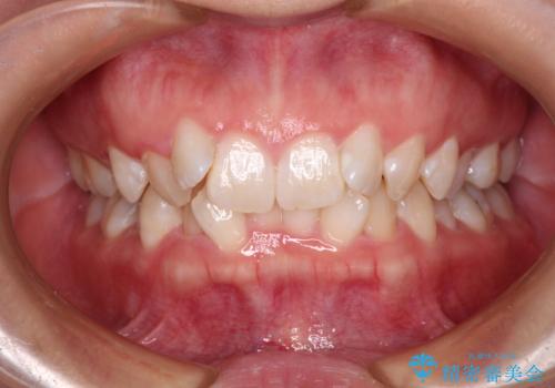
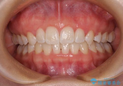
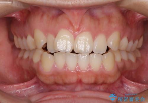
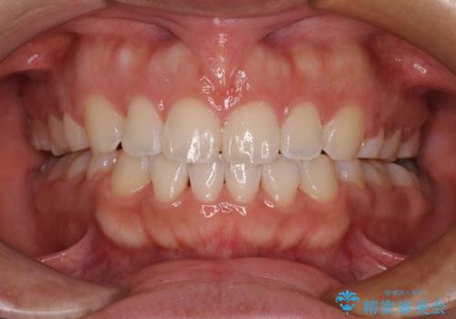
[ インビザライン ] 前歯のがたつきを綺麗に並べたい
担当医 大元洋佑
![[ インビザライン ] 前歯のがたつきを綺麗に並べたいの症例 治療前](https://seimitsushinbi.jp/wp/wp-content/uploads/2023/12/IMG_5222-500x350.jpg?v=1703061285)
![[ インビザライン ] 前歯のがたつきを綺麗に並べたいの症例 治療後](https://seimitsushinbi.jp/wp/wp-content/uploads/2023/12/803d7c4d50ba3593f394cf0ba767444e-500x350.jpg?v=1703061250)
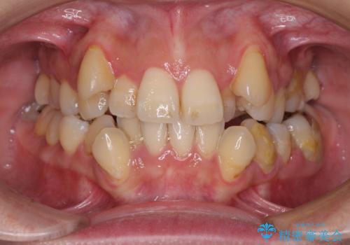
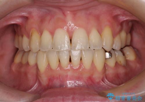
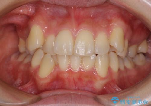
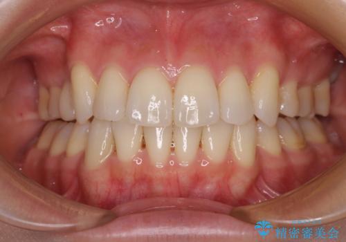
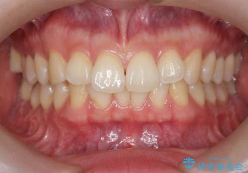
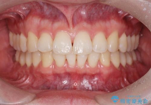
[ 歯並びと虫歯治療 ] 矯正治療とセラミック治療の包括治療
![[ 歯並びと虫歯治療 ] 矯正治療とセラミック治療の包括治療の症例 治療前](https://seimitsushinbi.jp/wp/wp-content/uploads/2023/12/IMG_1093-500x350.jpg?v=1703058764)
![[ 歯並びと虫歯治療 ] 矯正治療とセラミック治療の包括治療の症例 治療後](https://seimitsushinbi.jp/wp/wp-content/uploads/2023/12/d2649953cbde2ed7237dd47483ac69db-1-500x350.jpg?v=1703058723)
[ 前歯のねじれ改善 ] 中学生に行う早期マウスピース矯正治療
担当医 大元洋佑
![[ 前歯のねじれ改善 ] 中学生に行う早期マウスピース矯正治療の症例 治療前](https://seimitsushinbi.jp/wp/wp-content/uploads/2023/12/9a0cc629a357b9cff4cd22d0eeeae9ee-500x350.jpg?v=1703040792)
![[ 前歯のねじれ改善 ] 中学生に行う早期マウスピース矯正治療の症例 治療後](https://seimitsushinbi.jp/wp/wp-content/uploads/2023/12/IMG_3953-500x350.jpg?v=1703040866)
口が閉じられない ワイヤー装置による矯正治療


前歯のガタガタを整えたい ワイヤー装置による抜歯矯正治療
担当医 藤巻太一朗


デコボコで磨きにくい歯列 ワイヤー装置での抜歯矯正で歯磨きをしやすく


気がつくと唇が開く 口元を下げる抜歯矯正


八重歯と開咬 ワイヤー装置での抜歯矯正


【インビザライン】前歯の凸凹を綺麗にしたい
担当医 河口智英


歯のがたつき インビザラインで矯正


前歯のがたつきをしっかり治すマウスピース矯正
担当医 大元洋佑


ワイヤー矯正がしたい


奥歯のかみ合わせも妥協しない インビザライン治療


ワイヤー矯正歯科治療の注意事項(リスク・副作用など)
- 治療中は違和感や痛みが起こることがあります
- 症状により、抜歯が必要な場合があります
- 治療中は歯磨きがしにくくなるため、虫歯や歯周病になりやすくなります
- 矯正治療後の保定が不十分だと後戻り(元の位置に戻ろうとする動き)をします
- 自費診療(保険適用外)となります
マウスピース矯正の注意事項(リスク・副作用など)
- 口腔内・歯並びの状態によっては対応できない場合があります
- マウスピース型矯正装置の長時間装着が必須です
- 治療計画通りに進めるためには、患者様の意志が重要になります
- 矯正治療後の保定が不十分だと後戻り(元の位置に戻ろうとする動き)をします
- 自費診療(保険適用外)となります
