症例・治療例紹介
Cases
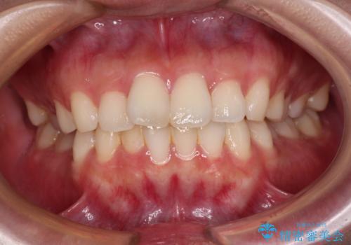
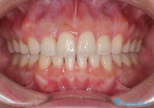
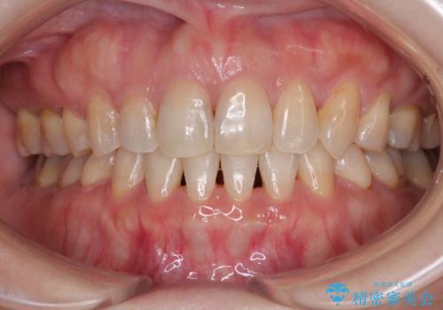
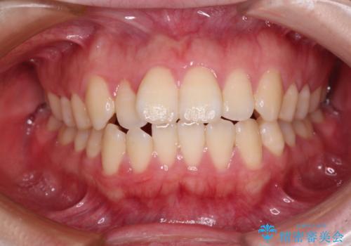
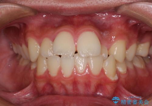
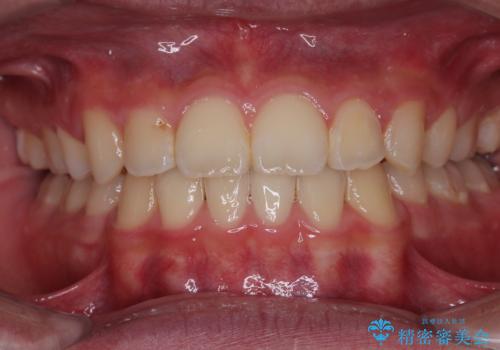
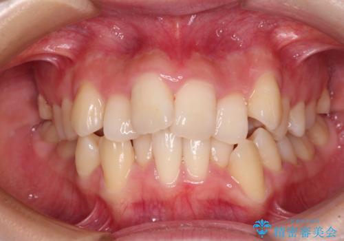
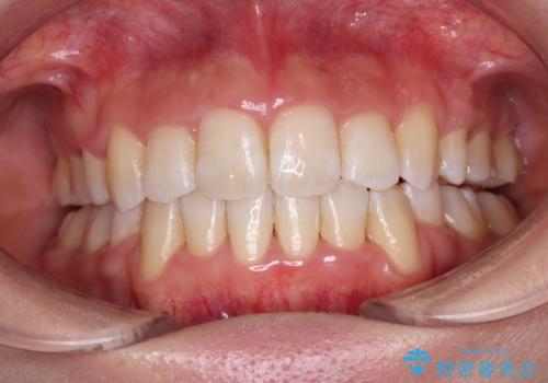
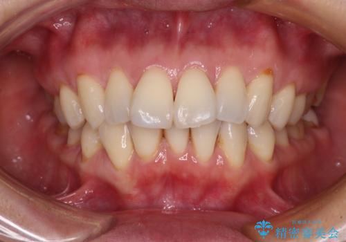
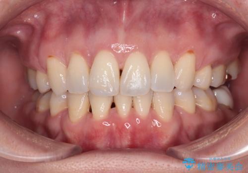
矯正歯科治療 → 上下顎前突(口ゴボ)
2ページ目 / 13
- 出っ歯の治療 インビザラインで抜歯矯正 親知らずを使用した矯正  
- 口元の突出感を改善したい。審美装置による抜歯矯正- 担当医 齋藤佑磨   
- 抜歯矯正 ワイヤー装置で横顔の印象を改善- 担当医 藤巻太一朗   
- 口元が出ているのを改善したい。 クリアブラケットによる抜歯矯正  
- デコボコと口元の突出感を改善 抜歯矯正治療  
- 重度のがたつき 矯正治療+セラミック治療で綺麗な歯並びに 矯正専門では難しい治療- 担当医 井上季実子   
- 裏側装置で目立たず矯正!  
- 飛び出した上顎前歯 抜歯矯正で横顔の印象を改善- 担当医 藤巻太一朗   
- 突出した口元 ワイヤー装置で横顔の印象を改善- 担当医 藤巻太一朗   
- 口元が出ているのが気になる。審美装置による抜歯矯正  
- くちばしのように突出した前歯 口元を下げる抜歯矯正  
- 【非抜歯】前歯を引っ込めたい!マウスピースの限界に挑戦  
- 閉じにくい口元をワイヤー抜歯矯正でスッキリ改善- 担当医 藤巻太一朗   
- デコボコと出っ歯 抜歯矯正でスッキリとした口元に  
- 前方に飛び出した前歯 ワイヤー装置での抜歯矯正  
ワイヤー矯正歯科治療の注意事項(リスク・副作用など)
- 治療中は違和感や痛みが起こることがあります
- 症状により、抜歯が必要な場合があります
- 治療中は歯磨きがしにくくなるため、虫歯や歯周病になりやすくなります
- 矯正治療後の保定が不十分だと後戻り(元の位置に戻ろうとする動き)をします
- 自費診療(保険適用外)となります
マウスピース矯正の注意事項(リスク・副作用など)
- 口腔内・歯並びの状態によっては対応できない場合があります
- マウスピース型矯正装置の長時間装着が必須です
- 治療計画通りに進めるためには、患者様の意志が重要になります
- 矯正治療後の保定が不十分だと後戻り(元の位置に戻ろうとする動き)をします
- 自費診療(保険適用外)となります








