症例・治療例紹介
Cases
矯正歯科治療 → 審美装置
14ページ目 / 39
前に出てきた歯列を改善 ワイヤー装置での再矯正治療
担当医 藤巻太一朗


大きなむし歯の奥歯を抜歯してスペースを活用 ワイヤー装置による抜歯矯正


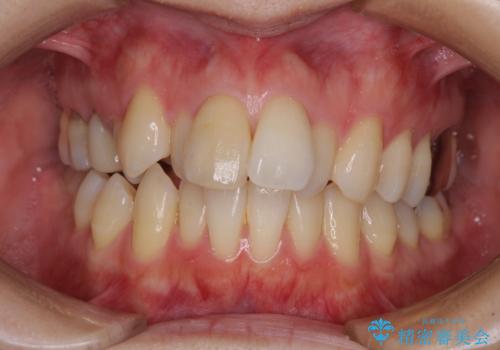
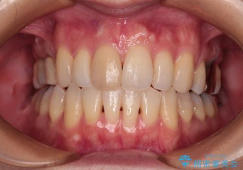
中途半端な矯正治療と前歯の欠損 再矯正とオールセラミッククラウンによる補綴治療


すっきり感アップ! ワイヤー矯正で口元を下げて魅力的な印象に!


前歯でものを噛みきりたい 目立たない装置でのワイヤー矯正


デコボコと深い咬み合わせ ワイヤー装置での抜歯矯正
担当医 藤巻太一朗


【モニター】口が閉じにくい 抜歯矯正で口元を引っ込める


【モニター】飛び出た前歯を整えたい ワイヤー矯正治療


【モニター】短期間で終わりたい ワイヤー装置での非抜歯矯正
担当医 藤巻太一朗


【総合歯科治療】インプラント+インビザライン


割れてしまった奥歯とデコボコの前歯 矯正治療とインプラント治療


出っ歯と咬み合わせを改善 ワイヤー装置の抜歯矯正


ワイヤー矯正歯科治療の注意事項(リスク・副作用など)
- 治療中は違和感や痛みが起こることがあります
- 症状により、抜歯が必要な場合があります
- 治療中は歯磨きがしにくくなるため、虫歯や歯周病になりやすくなります
- 矯正治療後の保定が不十分だと後戻り(元の位置に戻ろうとする動き)をします
- 自費診療(保険適用外)となります






