症例・治療例紹介
Cases
矯正歯科治療 → 審美装置
12ページ目 / 39
デコボコと変色した前歯 抜歯矯正と審美歯科治療


出っ歯をしっかり引っ込めたい


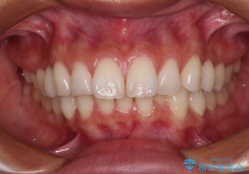
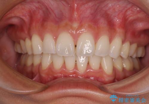
深い咬み合わせで顎が疲れる ワイヤー矯正でディープバイトを解消
担当医 藤巻太一朗


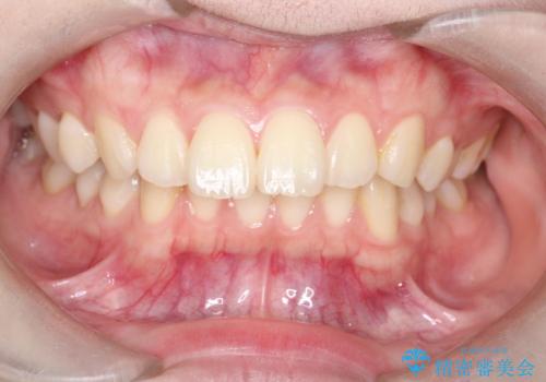
尖った前歯を引っ込めたい 目立たないワイヤー装置での抜歯矯正
担当医 藤巻太一朗


前歯のガタガタを整えたい ワイヤー装置による抜歯矯正治療
担当医 藤巻太一朗


くちばしのような前歯が気になる ワイヤー装置による抜歯矯正治療
担当医 藤巻太一朗


出っ歯と奥歯の欠損 ワイヤー矯正とインプラント治療


デコボコで磨きにくい歯列 ワイヤー装置での抜歯矯正で歯磨きをしやすく


八重歯と開咬 ワイヤー装置での抜歯矯正


抜歯矯正へ切り替え 表側のワイヤー矯正
担当医 藤巻太一朗


【モニター】横顔のシルエットをスッキリと ワイヤー装置による抜歯矯正治療


前歯のクロスバイトを治したい ワイヤー装置による矯正治療


インビザラインが続けられない 装置変更して抜歯矯正


ワイヤー矯正歯科治療の注意事項(リスク・副作用など)
- 治療中は違和感や痛みが起こることがあります
- 症状により、抜歯が必要な場合があります
- 治療中は歯磨きがしにくくなるため、虫歯や歯周病になりやすくなります
- 矯正治療後の保定が不十分だと後戻り(元の位置に戻ろうとする動き)をします
- 自費診療(保険適用外)となります




