【審美ワイヤー】口元を下げたいの症例写真

症例詳細

Case detail

【審美ワイヤー】口元を下げたい

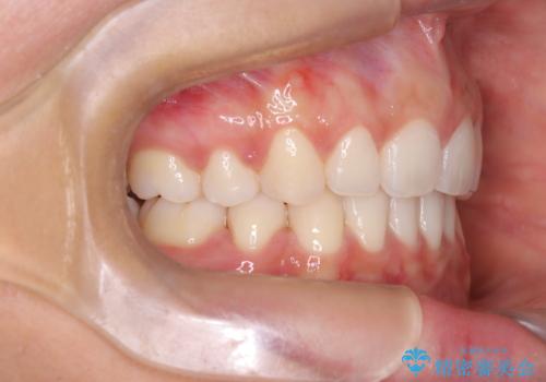
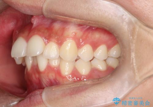
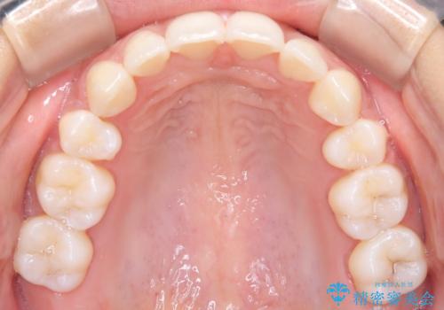
  1. 開始前
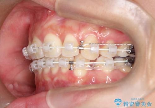
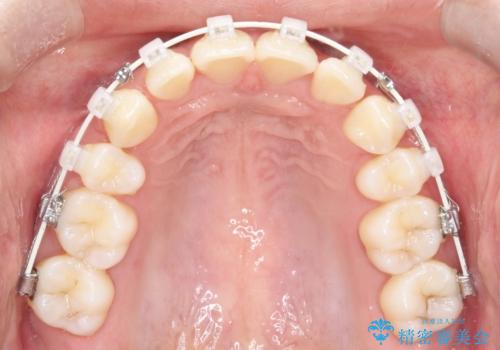
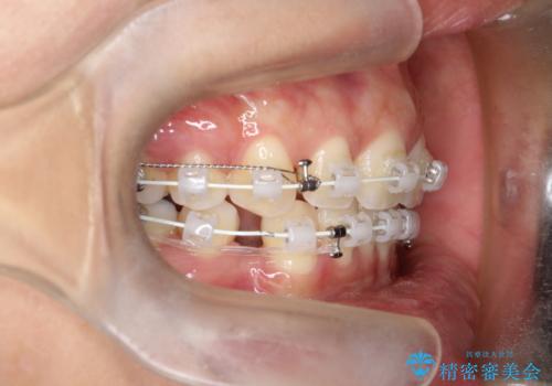
  2. 治療途中
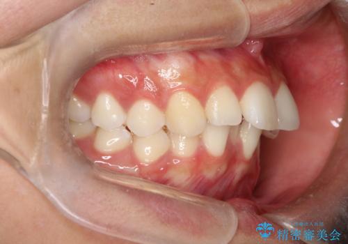
  3. 終了時
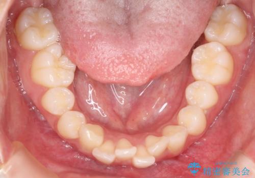
  1. 【審美ワイヤー】口元を下げたいの治療前
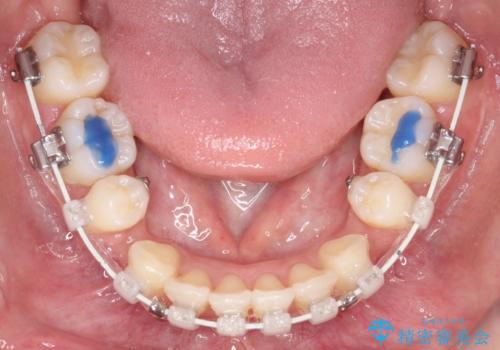
  2. 【審美ワイヤー】口元を下げたいの治療中
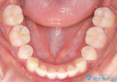
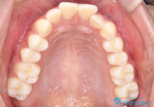
  3. 【審美ワイヤー】口元を下げたいの治療後
  1. 【審美ワイヤー】口元を下げたいの治療前
  2. 【審美ワイヤー】口元を下げたいの治療中
  3. 【審美ワイヤー】口元を下げたいの治療後
  1. 【審美ワイヤー】口元を下げたいの治療前
  2. 【審美ワイヤー】口元を下げたいの治療中
  3. 【審美ワイヤー】口元を下げたいの治療後
  1. 【審美ワイヤー】口元を下げたいの治療前
  2. 【審美ワイヤー】口元を下げたいの治療中
  3. 【審美ワイヤー】口元を下げたいの治療後
  1. 【審美ワイヤー】口元を下げたいの治療前
  2. 【審美ワイヤー】口元を下げたいの治療中
  3. 【審美ワイヤー】口元を下げたいの治療後

治療前後の比較 ~顔貌~

  1. 開始前
  2. 終了時
  1. 【審美ワイヤー】口元を下げたいの治療前(顔貌)
  2. 【審美ワイヤー】口元を下げたいの治療後(顔貌)

この治療をした歯科医師の関連症例

24時間受付
無料相談予約

お電話での無料相談のご予約

平日 11:00-20:00 / 土日 10:00-18:00
閉じる