症例詳細
Case detail
中途半端な矯正治療と前歯の欠損 再矯正とオールセラミッククラウンによる補綴治療
治療症例の内容
- 患者様
- 40代女性
- 矯正装置
- 審美装置
- 治療期間
- 1年2ヶ月
- 治療回数
- 10-30回
- 治療計画
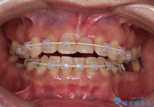
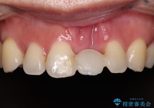
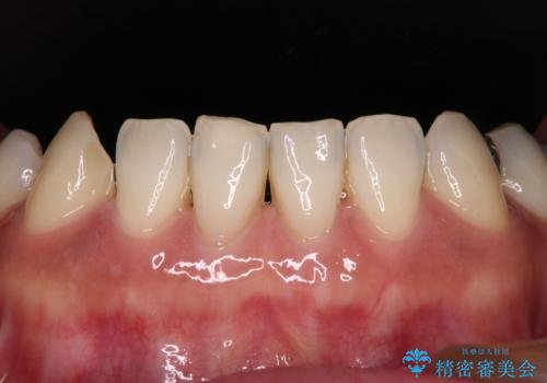
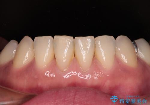
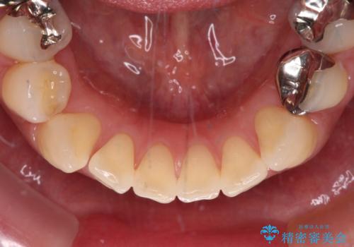
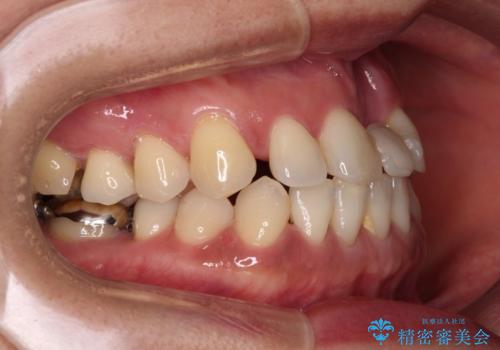
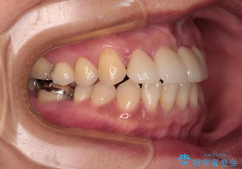
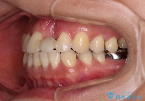
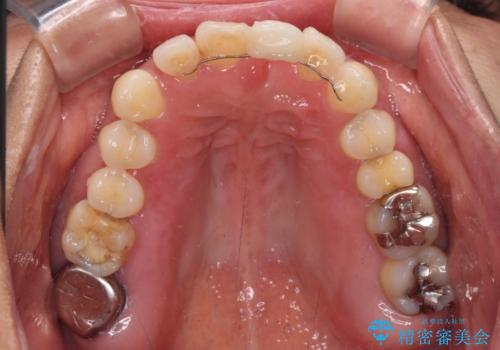
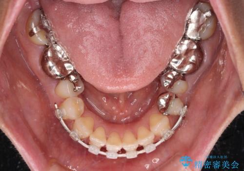
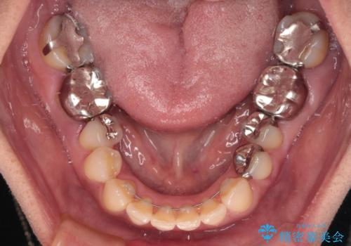
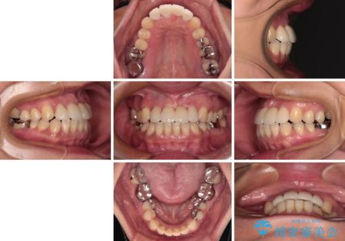
- 矯正治療を行ったものの、隙間やデコボコが多く、欠損している前歯も気になるとのことで来院された患者様です。
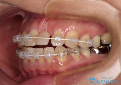
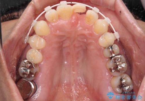
当初はセラミック治療だけを希望されていましたが、上下前歯のデコボコが顕著であったため、セラミッククラウンにて治療する前に再度矯正治療を行った方が仕上がりがきれいになると説明し、再矯正を行うこととしました。
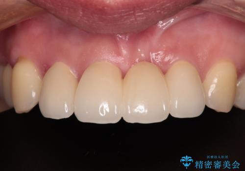
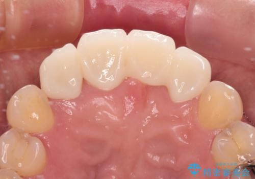
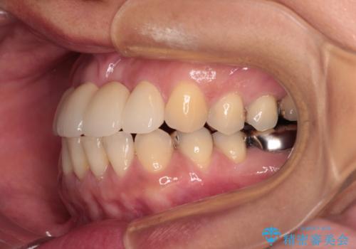
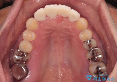
矯正治療により前歯横幅のバランスを整えた後に、上顎前歯をオールセラミックブリッジにて補綴治療を行うこととしました。
- 費用(概算)
- 治療費の目安: 95万円(税込)費用は治療当時の料金となります
治療について
舌突出癖により、上下前歯が突出して離開してしまったため、舌のトレーニングを徹底的に行いました。
ワイヤー矯正の注意事項(リスク・副作用など)
- 治療中は違和感や痛みが起こることがあります
- 症状により、抜歯が必要な場合があります
- 治療中は歯磨きがしにくくなるため、虫歯や歯周病になりやすくなります
- 矯正治療後の保定が不十分だと後戻り(元の位置に戻ろうとする動き)をします
- 自費診療(保険適用外)となります
セラミック治療の注意事項(リスク・副作用など)
- 天然歯を削ります
- 硬い素材は天然歯を傷つけてしまう場合があります
- かみ合わせや歯ぎしりが強すぎる方はセラミックが割れてしまう可能性があります
- 自費診療(保険適用外治療)となります
当サイトの内容、テキスト、画像等の無断転載、複製、複写、盗用を固く禁じます。




























