症例詳細
Case detail
V字型に飛び出した前歯 ワイヤー装置での抜歯矯正
治療症例の内容
- 診療科目
- 治療カテゴリ
- 担当医
- 藤巻太一朗(ドクタープロフィール)
- 患者様
- 30代女性
- 矯正装置
- 審美装置
- 治療期間
- 3年7ヶ月
- 治療回数
- 10-30回
- 治療計画
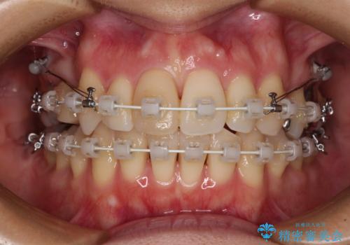
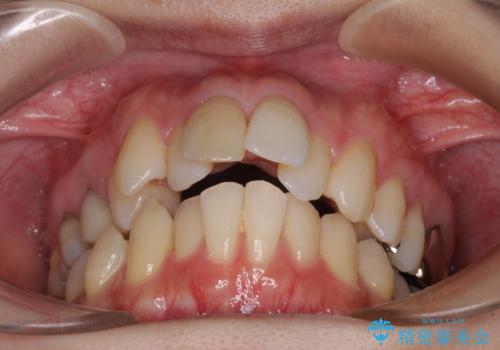
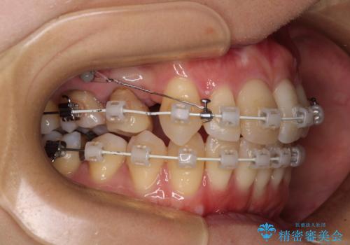
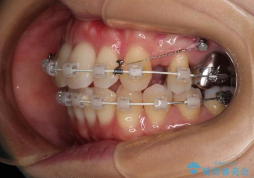
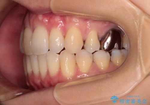
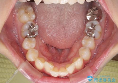
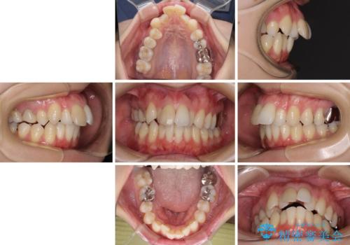
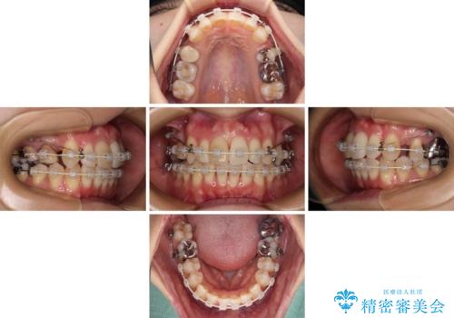
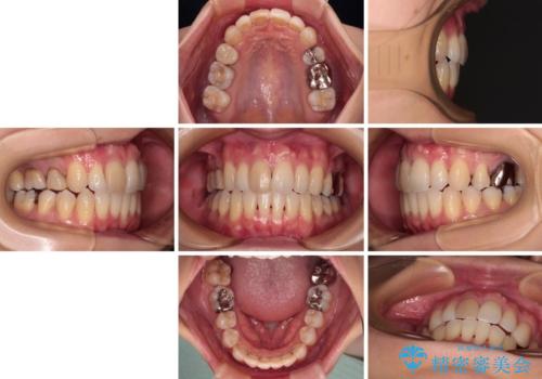
- 口を閉じたときに飛び出してしまう上顎前歯を気にして来院された患者様です。
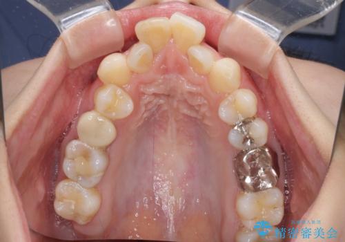
上下の咬み合わせは上顎歯列全体が歯1本分前にずれている状態であり、さらに上顎歯列はV字型に尖っていたため、上下前歯は全く接触していない状態でした。
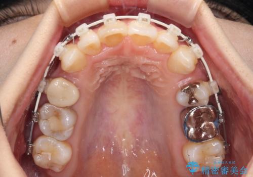
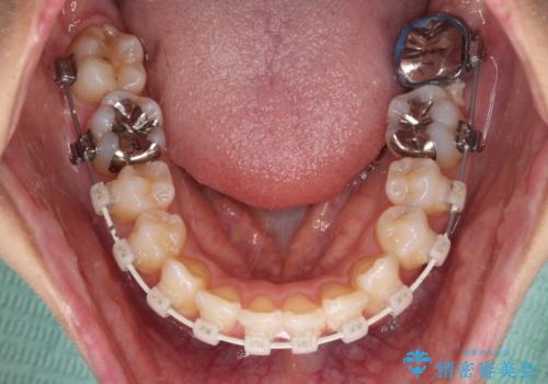
上顎左右第一小臼歯を抜去して、ワイヤー装置にて口元の突出感を改善するよう矯正治療を行うこととしました。
- 費用(概算)
- 治療費の目安: 110万円(税込)費用は治療当時の料金となります
治療について
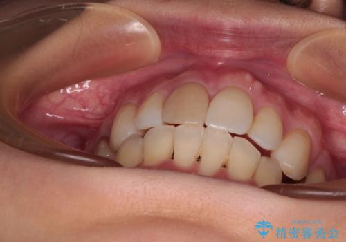
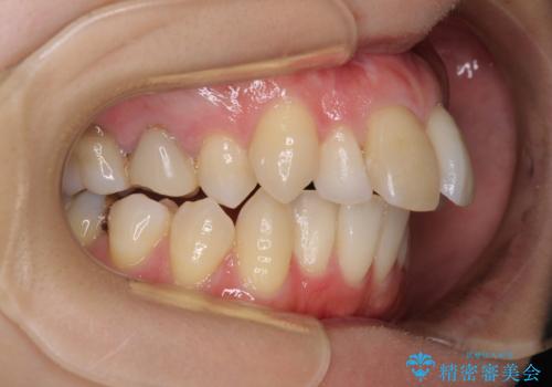
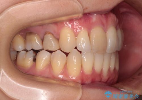
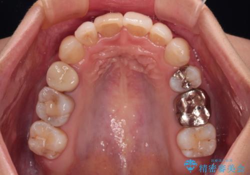
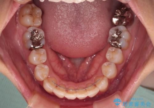
上顎前歯の歯軸が顕著に改善され、非常に口の閉じやすい歯列に仕上げることができました。
ワイヤー矯正の注意事項(リスク・副作用など)
- 治療中は違和感や痛みが起こることがあります
- 症状により、抜歯が必要な場合があります
- 治療中は歯磨きがしにくくなるため、虫歯や歯周病になりやすくなります
- 矯正治療後の保定が不十分だと後戻り(元の位置に戻ろうとする動き)をします
- 自費診療(保険適用外)となります
当サイトの内容、テキスト、画像等の無断転載、複製、複写、盗用を固く禁じます。
























