症例・治療例紹介
Cases
矯正歯科治療 → インビザライン
11ページ目 / 76
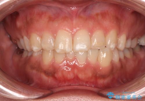
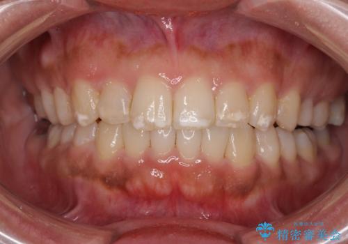
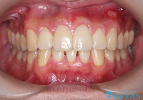
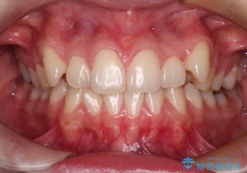
【非抜歯】インビザラインで正しい噛み合わせを


90度捻じれてしまい、完全にはみ出している歯を抜かずにインビザラインで治す。一般治療もできる精密審美会だからこその治療


インビザライン・モデレートを用いて気になる前歯を短期間で矯正治療
担当医 藤巻太一朗


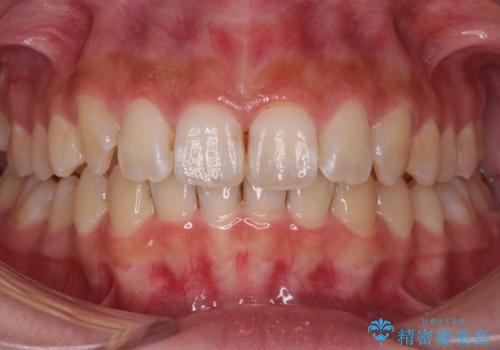
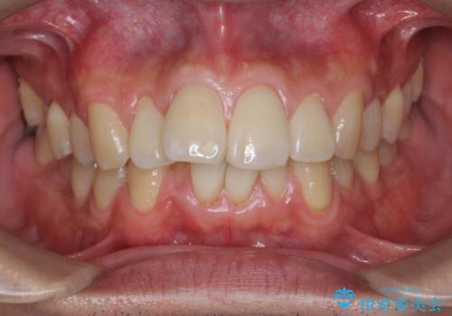
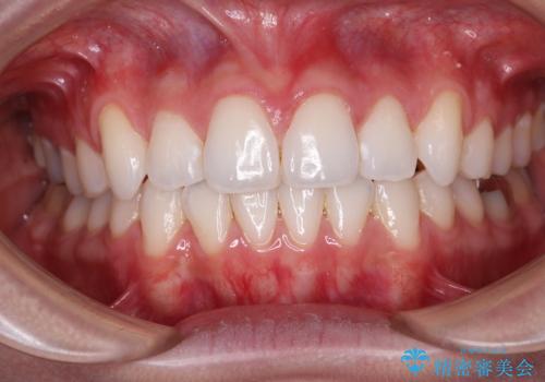
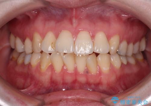
前歯の並び インビザライン 非抜歯で 深いかみ合わせの治療


マウスピース矯正で前歯の角度、ガタガタをきれいに
担当医 大元洋佑


八重歯を確実に改善 補助装置を併用したインビザライン矯正治療
担当医 藤巻太一朗


開咬と前方に飛び出した前歯 インビザラインによる矯正治療
担当医 藤巻太一朗


前歯のデコボコを解消 インビザラインの矯正治療
担当医 藤巻太一朗


前歯の重なりをインビザライン・モデレートで矯正治療
担当医 藤巻太一朗


マウスピース矯正の注意事項(リスク・副作用など)
- 口腔内・歯並びの状態によっては対応できない場合があります
- マウスピース型矯正装置の長時間装着が必須です
- 治療計画通りに進めるためには、患者様の意志が重要になります
- 矯正治療後の保定が不十分だと後戻り(元の位置に戻ろうとする動き)をします
- 自費診療(保険適用外)となります

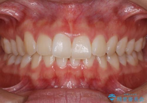
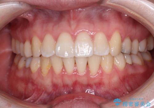
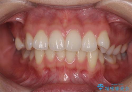
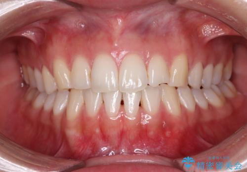
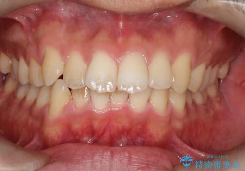
![[ インビザラインライト ] 3.5ヶ月で行う前歯だけのマウスピース矯正の症例 治療前](https://seimitsushinbi.jp/wp/wp-content/uploads/2024/07/IMG_4426-500x350.jpg?v=1721875977)
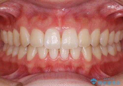
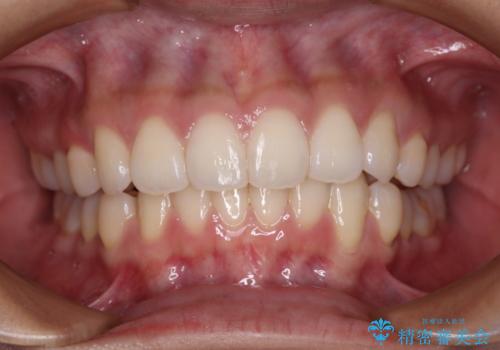
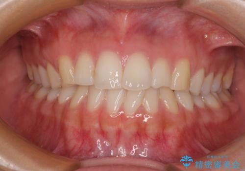
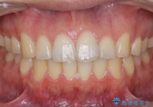
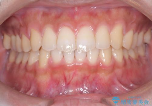
![[ インビザラインライト ] 3.5ヶ月で行う前歯だけのマウスピース矯正の症例 治療後](https://seimitsushinbi.jp/wp/wp-content/uploads/2024/07/719615210455939f786b351684acb5f2-1-500x350.jpg?v=1721876321)









