症例・治療例紹介
Cases
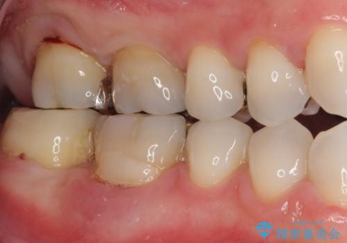
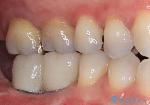
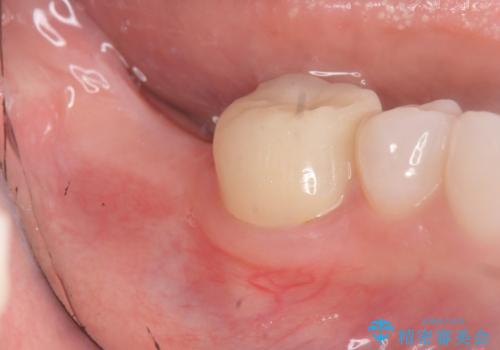
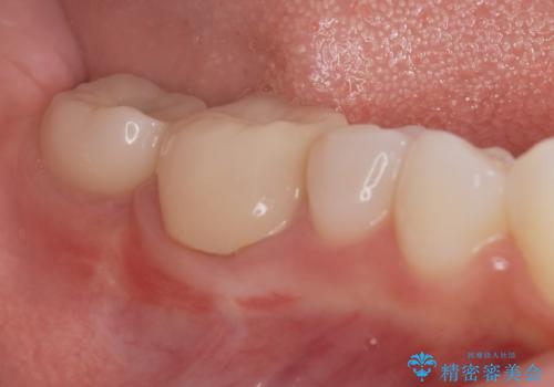
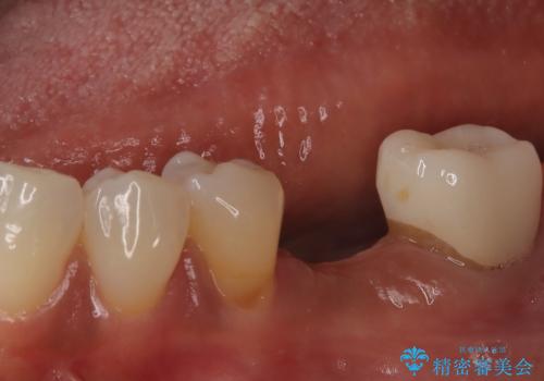
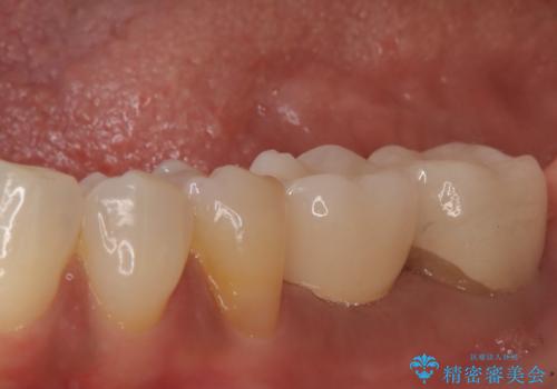
インプラント治療 → 奥歯インプラント
8ページ目 / 36
奥歯で食事をしたい インプラントとノンクラスプデンチャーによる治療


歯が折れている(1DAY インプラント)


【抜歯即時埋入即時過重】1DAYインプラント


入れ歯を使いたくない 細い骨にインプラントを埋入した補綴治療


奥歯で咬むと痛い


大きなむし歯と欠損をセラミックに 部分矯正を併用した総合歯科治療


欠損と治療途中の奥歯 インプラント治療と補綴治療


不正咬合で抜歯となった奥歯 インプラントによる咬合回復


伸びてしまった奥歯、咬合平面を揃えたインプラント治療


毎食後物がつまる! インプラント治療


歯の破折 食べる喜びが蘇るインプラント治療


奥歯の欠損部 インプラント補綴治療


インプラント治療の注意事項(リスク・副作用など)
- 外科手術のため、術後に痛みや腫れ、違和感を伴います
- メンテナンスを怠ったり喫煙により、お口の中に大きな悪影響を及ぼすインプラント周囲炎等にかかる可能性があります
- 糖尿病、肝硬変、心臓病等の場合、インプラント治療ができない可能性があります
- 高血圧、貧血・不整脈等の場合、インプラント治療後に治癒不全を招く可能性があります
- 自費診療(保険適用外治療)となります



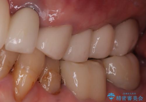
![[ インプラント体・カスタムアバットメント・ジルコニアクラウン ] インプラントの構造の症例 治療前](https://seimitsushinbi.jp/wp/wp-content/uploads/2024/02/d7b3d7509c0cc77833268d7096e1730b-500x350.jpg?v=1708928260)
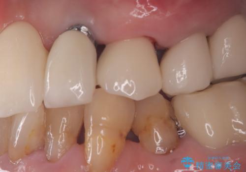
![[ インプラント体・カスタムアバットメント・ジルコニアクラウン ] インプラントの構造の症例 治療後](https://seimitsushinbi.jp/wp/wp-content/uploads/2024/02/4f5d249988cfa0d7689dd16755d46820-500x350.jpg?v=1708928265)

