症例・治療例紹介
Cases
インプラント治療 → 前歯インプラント
2ページ目 / 5
アライナー矯正+インプラント治療で前歯を綺麗に並べました


虫歯で失われた前歯 インプラントによる補綴治療


全顎的 虫歯治療 インプラント補綴


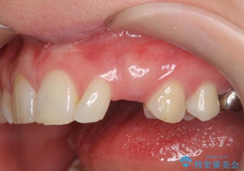
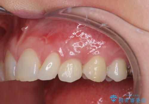
[ 先天性の前歯欠損 ] 矯正とインプラントの包括治療
![[ 先天性の前歯欠損 ] 矯正とインプラントの包括治療の症例 治療前](https://seimitsushinbi.jp/wp/wp-content/uploads/2022/12/3fbbdf32ff659566fa6c202e2fa05e30-500x350.jpg?v=1671606172)
![[ 先天性の前歯欠損 ] 矯正とインプラントの包括治療の症例 治療後](https://seimitsushinbi.jp/wp/wp-content/uploads/2022/12/e325c4369c68ab4ded73824110858d06-500x350.jpg?v=1671606193)
転倒で折れてしまった前歯 インプラントによるオールセラミックブリッジ治療


[ 先天性の前歯欠損 ] マウスピース矯正とインプラント治療
![[ 先天性の前歯欠損 ] マウスピース矯正とインプラント治療の症例 治療前](https://seimitsushinbi.jp/wp/wp-content/uploads/2022/09/IMG_0054-500x350.jpg?v=1662000340)
![[ 先天性の前歯欠損 ] マウスピース矯正とインプラント治療の症例 治療後](https://seimitsushinbi.jp/wp/wp-content/uploads/2022/09/49780474803f3a80bac6edca97f86949-500x350.jpg?v=1662000222)
前歯のインプラント治療 折角なので矯正治療できれいな歯並びに


怪我をして不格好な前歯 矯正治療とインプラント補綴治療


受け口で開咬を急速拡大装置とインビザラインで改善 欠損部分はインプラントにて補綴治療


喫煙を再開してインプラント周囲炎に リカバリー治療 50代男性


出血が止まらない インプラント補綴を用いた歯周病治療


インプラント治療の注意事項(リスク・副作用など)
- 外科手術のため、術後に痛みや腫れ、違和感を伴います
- メンテナンスを怠ったり喫煙により、お口の中に大きな悪影響を及ぼすインプラント周囲炎等にかかる可能性があります
- 糖尿病、肝硬変、心臓病等の場合、インプラント治療ができない可能性があります
- 高血圧、貧血・不整脈等の場合、インプラント治療後に治癒不全を招く可能性があります
- 自費診療(保険適用外治療)となります








