症例・治療例紹介
Cases
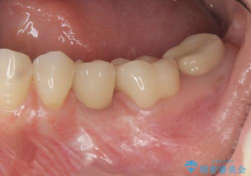
インプラント治療 → 奥歯インプラント
12ページ目 / 36
[ 無歯顎の治療 ] 前歯部義歯と臼歯部インプラント補綴
![[ 無歯顎の治療 ] 前歯部義歯と臼歯部インプラント補綴の症例 治療前](https://seimitsushinbi.jp/wp/wp-content/uploads/2023/01/df8037cde902b1f854b419e10a7553ba-500x350.jpg?v=1673054348)
![[ 無歯顎の治療 ] 前歯部義歯と臼歯部インプラント補綴の症例 治療後](https://seimitsushinbi.jp/wp/wp-content/uploads/2023/01/964966d14f9a29d4be64de2323b493a3-500x350.jpg?v=1673054364)
インプラントや歯周外科処置を用いた奥歯の補綴治療


歯が全く咬みあわない 矯正と補綴の全顎治療


以前治療した歯がボロボロに 全顎補綴治療


放置した奥歯の虫歯 インプラントによる欠損補綴治療


インプラントを用いた咬合機能回復治療


短期間で歯並びをきれいにしたい セラミックでかぶせる治療でも良い
担当医 井上季実子


受け口 なんと部分矯正で治るんです!! インプラントを含めた総合歯科治療
担当医 井上季実子


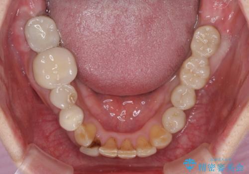
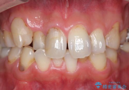
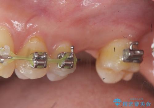
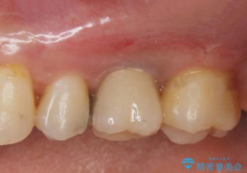
[ 歯周病治療 ] 小矯正を含むインプラント補綴・歯周補綴
担当医 大元洋佑
![[ 歯周病治療 ] 小矯正を含むインプラント補綴・歯周補綴の症例 治療前](https://seimitsushinbi.jp/wp/wp-content/uploads/2022/11/8b1f9fe311dd325d238de0a6219bf1cf-500x350.jpg?v=1669340971)
![[ 歯周病治療 ] 小矯正を含むインプラント補綴・歯周補綴の症例 治療後](https://seimitsushinbi.jp/wp/wp-content/uploads/2022/11/5979bc0ba91770cb715b363eb4304206-500x350.jpg?v=1669340986)
虫歯と抜いたままの奥歯とデコボコの前歯 総合歯科治療


奥歯で噛みたい インプラントによる欠損補綴治療


インプラント治療を併用した全顎歯周病治療


インプラント治療の注意事項(リスク・副作用など)
- 外科手術のため、術後に痛みや腫れ、違和感を伴います
- メンテナンスを怠ったり喫煙により、お口の中に大きな悪影響を及ぼすインプラント周囲炎等にかかる可能性があります
- 糖尿病、肝硬変、心臓病等の場合、インプラント治療ができない可能性があります
- 高血圧、貧血・不整脈等の場合、インプラント治療後に治癒不全を招く可能性があります
- 自費診療(保険適用外治療)となります






