症例・治療例紹介
Cases
セラミック治療 → 前歯クラウン(オールセラミック)
30ページ目 / 73
出っ歯に仕上がってしまった前歯 セラミッククラウンの作り替え


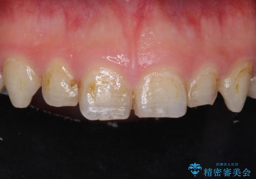
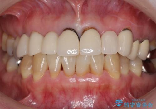
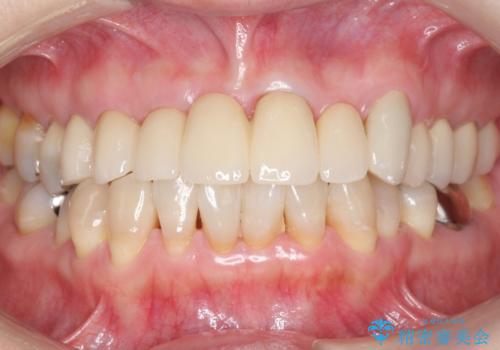
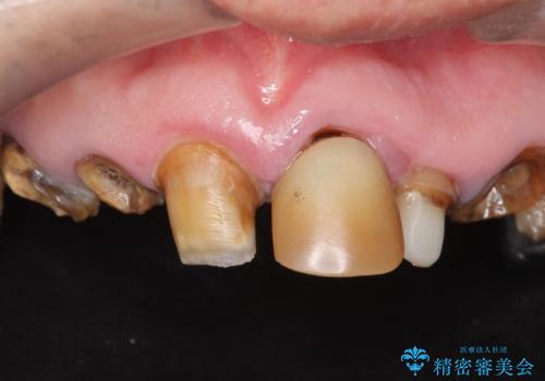
保険診療の変色したクラウン 前歯の審美歯科治療


被せ物がかけた 綺麗で丈夫なセラミックのブリッジへ 60代女性


Kポップアイドルのような歯にしたい! 20代男性


転んで前歯が2本ぬけた 自然なブリッジへ 60代男性


歯の動揺が気になる 低予算ではやく治したい 50代女性


歯の位置異常 はやく治したい 矯正は嫌 20代女性


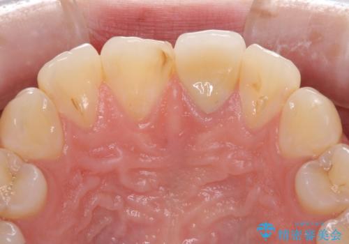
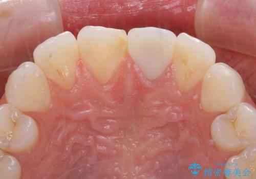
[ジルコニアクラウン] 前歯の見た目を良くしたい
![[ジルコニアクラウン] 前歯の見た目を良くしたいの症例 治療前](https://seimitsushinbi.jp/wp/wp-content/uploads/2021/06/d90ecf81857c5e4b2eee1b8150ea7826-500x350.jpg?v=1623380189)
![[ジルコニアクラウン] 前歯の見た目を良くしたいの症例 治療後](https://seimitsushinbi.jp/wp/wp-content/uploads/2021/06/65789acde6152d35c473703d5d39acaf-500x350.jpg?v=1623380236)
反対咬合で痛む前歯を改善 インビザラインによる矯正治療


前歯のブリッジの下が虫歯 ブリッジのやりかえ


被せ物がとれたまま放置していた セラミックで綺麗に 50代男性


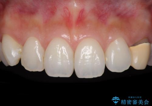
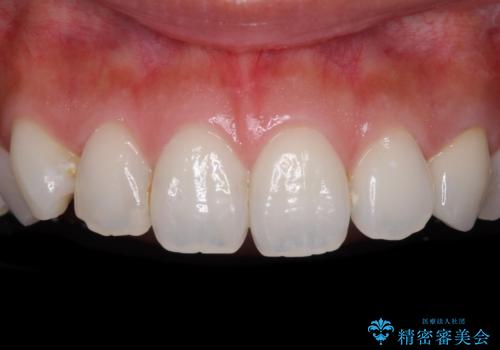
[セラミック治療] 前歯の見た目をきれいにしたい
担当医 大元洋佑
![[セラミック治療] 前歯の見た目をきれいにしたいの症例 治療前](https://seimitsushinbi.jp/wp/wp-content/uploads/2021/06/968e750651facb819c8d4d824a831cd9-500x350.jpg?v=1622871753)
![[セラミック治療] 前歯の見た目をきれいにしたいの症例 治療後](https://seimitsushinbi.jp/wp/wp-content/uploads/2021/06/06be0471d173ef54e4277b1c3034407c-500x350.jpg?v=1622871768)
歯列不正と歯周病 総合歯科治療による全顎治療
担当医 藤巻太一朗


[前歯の変色] 前歯の見た目を改善したい
![[前歯の変色] 前歯の見た目を改善したいの症例 治療前](https://seimitsushinbi.jp/wp/wp-content/uploads/2021/05/510b0093313ff75fbcb626419a0f3045-500x350.jpg?v=1622180184)
![[前歯の変色] 前歯の見た目を改善したいの症例 治療後](https://seimitsushinbi.jp/wp/wp-content/uploads/2021/05/1f01d9f0751d14a2f5d20ed7475c6e38-500x350.jpg?v=1622180216)
前歯がかけた、ぐらぐらする 60代女性


セラミック治療の注意事項(リスク・副作用など)
- 天然歯を削ります
- 硬い素材は天然歯を傷つけてしまう場合があります
- かみ合わせや歯ぎしりが強すぎる方はセラミックが割れてしまう可能性があります
- 自費診療(保険適用外治療)となります
